23岁女子咳嗽、咳痰、发热伴活动后气短 检查提示胸腔积液
23岁女性,无明显诱因出现咳嗽、咳痰、发热。在当地医院给予“头孢”类药物治疗(具体不详)2天,此后呈间断不规则低热,可自行缓解。不久后,患者出现活动后气短,未进一步诊治,外院门诊行胸片,提示“右侧肋膈角消失”,胸腔超声示:“右侧胸腔可见片状液性暗区”。为进一步诊治,患者到笔者医院就诊,门诊以“右侧胸腔积液”收入院。该患者怎么了?
【病情介绍】
患者,女,23岁。2011年8月31日因“发热、咳嗽、咳痰2个月,活动后呼吸困难2周”入院。2个月前无明显诱因出现咳嗽、咳痰、发热。咳嗽不影响工作和休息、咳白痰或黄痰、量少。体温波动在37.2~38.5℃之间,在当地医院给予“头孢”类药物治疗(具体不详)2天,此后呈间断不规则低热,体温多在37.5℃以下,每次持续1~2天,可自行缓解。患者无胸痛、咯血、盗汗,无恶心、呕吐,无皮疹、关节痛。2周前,患者出现活动后气短,安静休息时无气短,左侧卧位较右侧卧位气短加重,患者未进一步诊治,1天前在外院门诊行胸片,提示“右侧肋膈角消失”,胸腔超声示:“右侧胸腔可见片状液性暗区,前后径7.3cm,胸壁厚1.4cm”,患者来我院就诊,门诊以“右侧胸腔积液”收入院。自发病以来,患者精神尚可,睡眠欠佳,大便、小便无明显异常,体重无下降。平时身体健康,曾因皮肤瘙痒行过敏原检测,示“鱼类、粉尘、食品添加剂”过敏,否认烟酒嗜好。未婚,家族史无特殊。
【诊治经过】
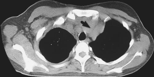
入院体检:生命体征平稳,全身浅表淋巴结无肿大,气管居中,右胸语音震颤减弱、右侧中下肺叩诊实音、听诊呼吸音减弱。心界无扩大、肝脾肋缘下未触及、移动性浊音阴性、双下肢无水肿。初步诊断“右侧胸腔积液性质待查 结核性胸膜炎?”。入院当天即行胸腔积液穿刺,抽出淡黄色胸腔积液600ml,胸腔积液常规示:李凡他试验阳性,比重1.030,有核细胞2250×106/L,单个核细胞95%,多个核细胞5%,间皮细胞可见;胸腔积液生化:葡萄糖4.59mmol/L、蛋白48g/L、乳酸脱氢酶(LDH)2184U/L;胸腔积液腺苷脱氨酶(ADA)122U/L;胸腔积液浓缩找抗酸杆菌阴性;胸腔积液CEA 0.99ng/ml;胸腔积液细胞学:大量淋巴细胞,异型淋巴细胞较多见,可见少量中性粒细胞,未发现肿瘤细胞;红细胞沉降率58mm/h。综上考虑结核性胸膜炎可能性大。治疗上,继续抽取胸腔积液、并于9月2日试行进行四联抗结核治疗:异烟肼300mg,1次/日,利福平450mg,1次/日,乙胺丁醇750mg,1次/日,吡嗪酰胺250mg,3次/日。患者体温无下降,胸腔积液经多次穿刺后仍生长迅速。2011年9月5日、7日患者复查胸腔积液LDH分别为2263U/L、2259U/L;胸腔积液ADA分别为125U/L、133U/L。9月9日第3次胸腔积液细胞学结果显示:“大量淋巴细胞,可见少量异常核淋巴细胞,考虑为恶性细胞,建议除外淋巴瘤”。9月9日行胸部CT(图1)示:上纵隔占位病变。经前纵隔肿物活检形态学及免疫组化考虑为硬化性大细胞性淋巴瘤,B细胞型,免疫组化CD20(+),CD79a(部分+),Ki-67(50%+),MUM-1(+)。综上,诊断为:纵隔原发性大B细胞淋巴瘤(弥漫大B细胞性非霍奇金淋巴瘤)。

图1 纵隔原发性大B细胞淋巴瘤并发胸腔积液
【最后诊断】
1. 纵隔原发性大B细胞淋巴瘤(弥漫大B细胞性非霍奇金淋巴瘤)。
2. 右侧恶性胸腔积液。
【治疗和转归】
患者转血液科,经CHOP方案治疗,胸腔积液消失,上纵隔占位缩小。此后患者经5次化疗和1次放疗,上纵隔肿块消失。
【重要提示】
1. 年轻女性,咳嗽、咳痰、呼吸困难、发热等呼吸系统非特异症状。
2. 胸腔积液ADA和LDH明显增高。
3. 抗结核治疗效果不佳。
【讨论】
ADA存在于各种细胞和体液中,是前T淋巴细胞分化为淋巴细胞过程中不可缺少的酶,ADA活性与淋巴细胞的激活和分化有关。结核性胸膜炎时机体的抗结核免疫主要通过T淋巴细胞介导,ADA也相应增高,结核性胸膜炎常以胸腔积液ADA超过45U/L作为诊断依据。
恶性胸腔积液也以淋巴细胞为主,但由于机体免疫功能受到抑制,其ADA增高不明显,但血液系统疾病所致恶性胸腔积液也可出现ADA增高。有人总结46例非霍奇金淋巴瘤所致的恶性胸腔积液,其中29例为B细胞淋巴瘤,31%例胸腔积液ADA超过40U/L,且与结核性胸腔积液的症状如咳嗽、咯血、呼吸困难、发热、胸痛、盗汗、体重下降等均没有统计学差异。
纵隔原发性大B细胞淋巴瘤通常发生在年轻的女性,发现时大多处于Ⅰ期或Ⅱ期,主要侵犯前纵隔,可导致咳嗽、胸痛、呼吸困难和上腔静脉咳嗽综合征、发热和体重下降,1/3患者并发胸腔积液,该病胸腔积液除ADA增高外,70%~80%病例LDH增高。
【评述】
纵隔原发性大B细胞淋巴瘤是少见疾病,主要累及年轻女性,临床表现不特异,如合并胸腔积液、加之胸腔积液ADA增高,容易误诊为结核性胸膜炎。该患者病史特点:①青年女性,亚急性病程;②间断低热或中等程度发热、咳嗽、咳痰,进行性呼吸困难;③胸腔积液ADA超过45U/L。但患者同时伴有LDH显著增高,结合胸部CT提示前纵隔占位,应及时引起重视。
此病例有几点值得注意:①患者为不规则热;②胸腔积液ADA、LDH同时增高;③患者发病2个月,胸腔超声显示胸腔积液并没有明显的分割或包裹,这些都不符合典型结核性胸膜炎的特点;如果在入院后能及时行胸部CT检查、等待多次胸腔积液细胞学报告、完善胸膜活检或胸腔镜等检查,或许能避免误诊。
参考文献
1. Yao CW,Wu BR,Huang KY,et al. Adenosine deaminase activity in pleural effusions of lymphoma patients. QJM,2014,107:887-893.
2. Antonangelo L,Vargas FS,Genofre EH,et al. Differentiating between tuberculosis-related and lymphoma-related lymphocytic pleural effusions by measuring clinical and laboratory variables:Is it possible?J Bras Pneumol,2012,38:181-187.
3. Martelli M,Ferreri AJ,Johnson P. Primary mediastinal large B-cell lymphoma. Crit Rev Oncol Hematol,2008,68:256-263.
(李一鸣 林江涛)
(环球医学编辑:余霞霞)
来源:《呼吸疑难少见病例解析》
作者:林江涛
页码:114-116
出版:人民卫生出版社
- 评价此内容
- 我要打分
近期推荐
热门关键词
最新会议
- 2013循证医学和实效研究方法学研讨会
- 欧洲心脏病学会年会
- 世界帕金森病和相关疾病2013年会议
- 英国介入放射学学会2013年第25届年会
- 美国血液学会2013年年会
- 美国癫痫学会2013年第67届年会
- 肥胖学会 2013年年会
- 2013年第9届欧洲抗体会议
- 国际精神病学协会 2013年会议
- 妇科肿瘤2013年第18届大会
- 国际创伤压力研究学会2013年第29届…
- 2013年第4届亚太地区骨质疏松症会议
- 皮肤病协会国际2013年会议
- 世界糖尿病2013年大会
- 2013年国际成瘾性药年会
- 彭晓霞---诊断试验的Meta分析
- 武姗姗---累积Meta分析和TSA分析
- 孙凤---Network Meta分析
- 杨智荣---Cochrane综述实战经验分享
- 杨祖耀---疾病频率资料的Meta分析
合作伙伴
Copyright g-medon.com All Rights Reserved 环球医学资讯 未经授权请勿转载!
网络实名:环球医学:京ICP备08004413号-2
关于我们|
我们的服务|版权及责任声明|联系我们
互联网药品信息服务资格证书(京)-经营性-2017-0027
互联网医疗保健信息服务复核同意书 京卫计网审[2015]第0344号




会员登录

