36岁女性体检发现右肾肿物 如何诊治及鉴别?
36岁女性,体检时B超发现右肾上极囊性肿物,曾在外院诊为“多发肾囊肿”。患者为进一步治疗来笔者医院,门诊以“右肾上极肿物”收住院。如何诊治?
【病例资料】
患者女性,36岁。
主诉:体检发现右肾肿物2周。
现病史:患者2周前体检时B超发现右肾上极囊性肿物。无发热,无腰腹部不适及疼痛,无血尿,无尿频、尿急、尿痛,曾在外院诊为“多发肾囊肿”,患者为进一步治疗来我院,门诊以“右肾上极肿物”收住院。患者自发病以来,无乏力,无食欲减退及消瘦,大小便正常。
【体格检查】
体温:36.5℃,心率:71次/分,血压:120/85mmHg,呼吸:17次/分,神志清、一般情况好,心、肺未见异常,于右肋下可触及一直径约5cm大小的包块。双肾区无压痛、叩击痛。双侧输尿管走行区无压痛。耻骨上区无压痛。外生殖器未见异常。
【辅助检查】
血常规、尿常规、血生化、血沉、心电图、胸片等常规检查未见异常。
影像学检查:
超声:右肾区可见一直径9cm的肿物,其内回声不均,可见多个囊实性改变,囊壁欠光滑,有钙化。
KUB+IVP:右肾盂肾盏受压变形,左侧双肾盂双输尿管。
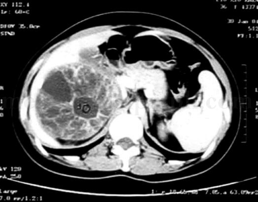
CT:右肾上极囊实性肿物,9cm×10cm×10cm,内部密度不均匀,似由多个囊性成分组成,增强显示肿瘤实性部分及分隔强化,囊性成分未见明显强化。盆腔和后腹膜未见肿大淋巴结,余未见异常(图1)。

图1 CT
MRI:右肾上极类圆形囊实性占位,呈T1低,T2高,内部信号不均匀,可见散在T2低信号的分隔,肾下极受压成新月形,肝脏受压上移。腹膜后未见肿大淋巴结(图2)。

图2 MRI
左重复肾畸形
【术前诊断】
右肾复杂囊肿?
右肾多房囊性肾细胞癌?
右肾成人型多囊肾病变?
右肾肾透明细胞癌伴囊性变?
【治疗方案】
右肾根治性切除术。
术中所见:右肾上极可见直径约9cm的肿物。
【术后诊断】
1.大体所见及印象
右肾上极可见一直径9cm的肿物,剖面可见多房囊性组织,部分囊壁增厚,可见黄色髓样物。
2.病理检查结果
右肾多房囊性肾细胞癌,肿瘤细胞为透明细胞G1。
【术后诊疗】
1.随访情况及患者预后。随访4年,未见复发转移。
2.无需化疗、放疗、免疫治疗、内分泌治疗等辅助治疗。
【讨论内容】
文献综述:囊性肾癌是肾细胞癌中一种非常少见的囊性肿瘤,约占肾癌的2%。2004年WHO最新肾癌分类中将囊性肾癌列为肾癌的一个独立类型。1986年Hartaman根据囊性肾癌的形成情况将其分为四类——肾癌囊性坏死、单房囊肿性肾癌、多房囊肿性肾癌和单纯性囊肿癌变型。多房囊性肾细胞癌(multilocular cystic renal cell carcinoma,MCRCC)是囊性肾癌中的一种类型,发病率占肾癌的2.3%~3.1%,具有低分期低分级、预后良好的特点。随着医学影像学技术的发展,肾囊性病变的检出率不断升高。但是,良、恶性肾囊性肿物的鉴别仍非常困难。囊性肾癌的定义从不同专业角度有不同的解释。从病理学角度囊性肾癌是囊壁和囊间隔覆盖肿瘤细胞或囊壁上的癌变,又称囊腺癌。
目前术前诊断主要依靠影像学检查,但诊断和鉴别诊断仍较困难。最常用的方法是B超和CT。B超检查多能发现囊性病变,囊壁较厚或厚薄不均,囊内可见分隔,囊壁和囊间隔见丰富血流信号。但B超多不能明确性质,有时与肾囊肿和肾良性肿瘤鉴别有困难,新型超声造影技术可能会对鉴别诊断提供帮助。多囊性肾细胞癌在CT上多表现为境界清晰的多囊性肿物,含有浆液性、血性和或)混合性液体。平扫CT显示囊性部分为低密度影,也有发现在一些囊腔里有混杂的高密度区域,肿物实性部分、囊壁或分隔在CT增强扫描后不均匀强化,囊壁上可有钙化。
预后:MCRCC预后良好,可能与下述原因有关:
1.患者多数为体检发现的肾偶发癌。
2.病理分期与分级低。
3.细胞核倍体型多是双倍体。
发病机制:有关囊性肾癌的发病机制尚不清楚,可能与以下因素有关:
1.肿瘤呈囊性生长,肾细胞癌起源于近曲小管的上皮细胞,其中一些以囊肿形式生长,逐渐形成大小不等的互不相通的多房囊性肿物,囊内含有不等量的血液,肿瘤常有假包膜。
2.肾癌中心供血不足,出血和坏死形成假性囊肿,其壁厚且不规则,常为单房。
3.肾癌起源于囊肿壁上的上皮细胞,结节常位于囊肿的基底部。
4.肾癌引起肾小管或肾小动脉阻塞导致囊肿形成,当肿瘤增大时,肿瘤嵌入囊肿内,此型少见。
【专家点评】
诊断问题:本病属于少见病例,在临床中容易误诊。近年来随着大家的认识逐步提高,误诊发生率逐渐减少。术前正确的诊断较为困难,患者先前就诊于多家医院,均未获得正确的诊断,就在于对此病的不认识。CT、MRI可以帮助诊断,必要时穿刺活检,有助于作出明确的诊断。
鉴别诊断:本病应与肾脓肿、肾囊肿、其他类型肾癌、多囊肾等囊性病变相鉴别。
1.肾脓肿的低密度病灶,增强后为均匀环形强化,脓肿壁厚薄均匀,内壁光滑无壁结节,囊内容物均一无悬浮物,病灶周边可见低密度水肿带,肾周多伴感染,肾轮廓模糊,结合临床鉴别亦较容易。
2.典型囊肿壁薄光滑无强化,其内为水样密度与囊性肾癌鉴别不难,部分复杂囊肿可缓慢演变,故肾囊肿的定期随访十分必要。当囊肿壁增厚或不规则,囊壁出现实性成分,并有强化,囊肿周围出现软组织影时应仔细观察囊肿内分隔形态,有无悬浮物,钙化灶位置也有助于进行定性诊断,应警惕恶性可能。
3.普通型肾透明细胞癌伴囊性变由于两者预后具有明显差异,鉴别诊断尤为重要。
4.多房性囊性肾瘤是由间胚叶组织发展而来的错构瘤,切面也可见大小不等的囊腔,囊液性质与多房性囊性肾细胞癌相近,但其被覆上皮为高柱状或扁平上皮,囊腔间有纤维细胞、平滑肌及幼稚间胚叶组织。
5.成人型多囊肾病变常为双侧,肾脏体积明显增大,被覆单层扁平或立方上皮,囊肿间有压迫萎缩的肾实质,常伴有继发感染。
当良、恶性肾囊性肿物鉴别困难,MCRCC不能确诊时,可以依据以下步骤进行:
1.行MRI。如果在T1加权像囊肿液呈高信号,不论囊壁是否增厚或囊内有无分隔,均考虑为良性囊肿可能性大。
2.肾囊肿穿刺。可获得囊液做细胞学检查,还可注入造影剂,观察囊壁是否光滑,囊内有无结节。如囊肿穿刺检查发现囊液血性或暗褐色,其中蛋白、乳酸脱氢酶及脂肪成分异常增高时,则提示恶性可能性大。
3.经皮肾镜检查。可直接观察囊腔内结构,还可取囊液及囊壁组织进行检查,据报道效果较佳。
4.在应用各种检查后,仍不能确诊,Bosniak分类在三级或以上时,可行腹腔镜或开放手术于术中行冰冻检查。
附:
1.Bosniak分级系统
一级:单纯性良性肾囊肿,不需手术及随诊。
二级:小、复杂性、高密度肾囊肿,囊壁光滑、薄,可有小的钙化,通常不需手术,但需严密随诊。
三级:较复杂肾囊肿并伴一些恶性特点,需要对不同的个体应用不同的方法,可能需要手术。
四级:明确的恶性囊性肿物,边界不规则,有实性成分,必须行外科手术治疗。
诊断仍然困难时,对适宜病例可以采用保留肾脏的外科手术(小于4cm并位于肾脏边缘时)。
2.治疗问题
(1)手术方式:肾癌根治术。
(2)该病例肿瘤较大,行开放性根治术,对于肿瘤大小和条件均允许的情况下,腹腔镜无疑是较好的选择。
(3)治疗难点心得体会及建议:此病诊疗的难点是明确诊断。
3.术后注意事项、并发症及处理
(1)术后护理注意事项:常规术后护理,注意生命体征检测,引流管的护理,健康教育。
(2)术后并发症及处理:同肾癌根治术。
参考文献
1. Lopez Beltran A,Scarpelli M,Montironi R,et al. 2004 WHO classification of renal tumors of the adults. Eur Urol,2006,49(5):798-805
2. 孙小林,钱立新,叶新华,等. Sonovue 超声造影对肾脏占位诊断的价值. 江苏医药,2007,33(7):731-732
3. Kim JC,Kim KH,Lee JW. CT and US findings of multilocular cystic renal cell carcinoma. Korean J Radiol,2000,1(2):104-109
(环球医学编辑:余霞霞)
来源:《泌尿外科疑难病例讨论精选》
作者:那彦群 陈山
页码:48-51
出版:人民卫生出版社
- 评价此内容
- 我要打分
近期推荐
热门关键词
最新会议
- 2013循证医学和实效研究方法学研讨会
- 欧洲心脏病学会年会
- 世界帕金森病和相关疾病2013年会议
- 英国介入放射学学会2013年第25届年会
- 美国血液学会2013年年会
- 美国癫痫学会2013年第67届年会
- 肥胖学会 2013年年会
- 2013年第9届欧洲抗体会议
- 国际精神病学协会 2013年会议
- 妇科肿瘤2013年第18届大会
- 国际创伤压力研究学会2013年第29届…
- 2013年第4届亚太地区骨质疏松症会议
- 皮肤病协会国际2013年会议
- 世界糖尿病2013年大会
- 2013年国际成瘾性药年会
- 彭晓霞---诊断试验的Meta分析
- 武姗姗---累积Meta分析和TSA分析
- 孙凤---Network Meta分析
- 杨智荣---Cochrane综述实战经验分享
- 杨祖耀---疾病频率资料的Meta分析
合作伙伴
Copyright g-medon.com All Rights Reserved 环球医学资讯 未经授权请勿转载!
网络实名:环球医学:京ICP备08004413号-2
关于我们|
我们的服务|版权及责任声明|联系我们
互联网药品信息服务资格证书(京)-经营性-2017-0027
互联网医疗保健信息服务复核同意书 京卫计网审[2015]第0344号




会员登录

