老爷爷出现血尿2个月余伴腰痛 结果查出肿瘤
74岁男性,间歇性全程肉眼血尿2个月余。曾在当地医院B超引导下行左肾肿物穿刺,病理诊断为:肾髓质内可见散在腺样结构及实性巢索状肿瘤细胞。随后患者出现左腰部疼痛,并逐渐加重,影响睡眠。遂到笔者医院就诊,病理切片在笔者医院复阅为纤维组织中有腺癌浸润,为进一步诊治收入院。该患者怎么了?
【病例资料】
患者男性,74岁。
主诉:间歇性全程肉眼血尿2个月余。
现病史:患者2个多月前无诱因出现全程肉眼血尿,呈鲜红色、内无血块,不伴尿频、尿急和尿痛,无发热及腰痛,血尿持续2~3天后自行消失。近2个月来类似血尿间歇出现3~4次,2周前在当地市医院就诊,行B超、CT发现左肾约3cm实性占位,在B超引导下行左肾肿物穿刺,病理诊断为:肾髓质内可见散在腺样结构及实性巢索状肿瘤细胞,部分胞浆呈透明状,符合肾脏恶性肿瘤,透明细胞癌可能性大。1个月前患者出现左腰部疼痛,并逐渐加重,影响睡眠。1周前来我院就诊,病理切片在我院复阅为纤维组织中有腺癌浸润,为进一步诊治收入院。患者患病以来无咳嗽、咯血,无骨骼疼痛及其他不适,饮食、大小便无异常。体重无明显变化。
【体格检查】
一般情况:体温:36.5℃,心率:72次/分,血压:125/75mmHg,呼吸:17次/分。全身查体未见明显异常。
专科情况:左肾区有叩击痛,双输尿管区无压痛。膀胱区未见异常。外生殖器未见异常。
【辅助检查】
实验室检查:血常规正常。尿常规:RBC:52μl,尿沉渣镜检红细胞(RBC/ HPF):7.23HPF,WBC:10μl,尿沉渣镜检白细胞(WBC/HPF):2.65HPF,嗜酸性粒细胞(EC):30μl,EC/HPF:6.41HPF。尿细菌定量(BACT):2231.1μl,BACT /HPF:970.0HPF。肝肾功能正常、电解质正常、空腹血糖正常。尿细胞学:未见癌细胞。
影像学检查:
B超检查:左肾盂内有一低回声实性肿物,大小约3cm,集合管系统轻度分离,内可探及少许血流信号。
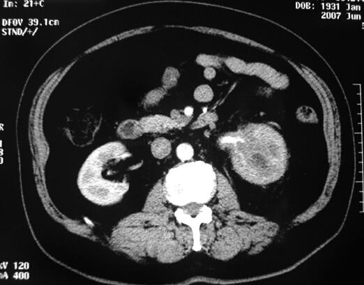
CT(图1):平扫左肾中上极病变,肾皮髓质分解不清、包膜不锐利,肾周脂肪囊增厚,左肾门肾盂结构不清,左输尿管上段实变。增强扫描病变无明显强化,病变边界不清。

图1 CT平扫
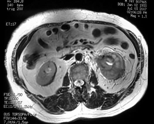
MR(图2):左肾盂、肾盏及肾周间隙病变,范围约4.5cm×3.5cm,形态不规则,边界不清,病变T1为等信号,T2低-等信号。动脉期有强化,实质期及延迟期增强更明显,肾周脂肪间隙见条索状强化。

图2 MR
IVP:左肾盂肾盏未显影。右侧肾盂、输尿管未见明显异常。
【术前诊断】
左肾肿瘤
【治疗经过】
患者完成各项术前检查,于2008年5月在全麻下行根治性左肾切除+腹膜后淋巴结切除术,术中见肿瘤位于左肾脏中部,大小约5cm×5cm×4cm,呈分叶状,切面灰白色、边界不清,质地均匀,侵及肾盂。肾门处见2cm×2cm肿大淋巴结。术后患者恢复好。病理符合集合管癌,肿瘤累及肾盂皮髓质及肾周脂肪,肾门淋巴结转移(1/4)。
【术后诊疗】
术后诊断:左肾集合管癌(T1bN1M0)。
【讨论内容】
文献综述:
肾集合管癌(collecting duct carcinoma,CDC),是一种罕见的肾脏上皮性肿瘤,起源于肾髓质的集合管(bellini管)。1986年Fleming等通过对6例特殊肾肿瘤的临床特点和形态学特征的分析后,首次提出肾集合管癌是一种独立类型的肾癌。由于肾集合管癌具有独特病理学特征和生物学行为,2004年WHO肾细胞癌病理分类将肾集合管癌列为一个独立的病理亚型。
肾集合管癌占肾癌的比例小于1%,男性多于女性(2∶1),可发生于各年龄段,平均发病年龄为55岁。常见症状为血尿、腰痛、肾区肿物。肾集合管癌恶性程度高、病程短、进展快,就诊时30%~50%患者已经发生转移。常见的肾细胞癌骨转移以溶骨性转移多见,而肾集合管癌多为成骨性转移。
肾集合管癌的病理学特点:大体标本上肿瘤通常位于肾脏中心部位,切面呈灰白色质韧的实性肿物,呈浸润性生长,与周围组织界限不清,可有囊性变、出血和坏死。常侵犯肾盂、肾皮质和肾窦乃至肾门的脂肪组织。镜下癌细胞胞浆嗜酸、嗜碱或嫌色,胞核大,核仁异型性明显,恶性程度高,常为Fuhrman 3或4级,癌细胞呈不规则腺管状或乳头状排列,分化差时呈条索状、肉瘤样结构,纤维性或胶原性间质较多,伴大量粒细胞浸润。免疫表型肿瘤细胞高分子量角蛋白(CK34βE12、CK19)阳性并与Vimentin共表达。
肾集合管癌的影像学特点为:B超显示肾髓质内低回声信号肿物。由于集合管癌为少血供肿瘤,起源于肾髓质而常累及肾皮质、肾盂和肾盏,CT的主要特点为平扫可见累及肾髓质及肾窦的软组织肿块,病变呈浸润式生长,密度多均匀,形态不规则,边缘不清,动态增强为中度局限性延迟强化。MR的特点为肿瘤呈浸润式生长、边缘不清,T1为低-中等信号,T2为低信号,动脉期有强化,实质期及延迟期增强更明显。
局限性肾集合管癌的治疗以外科手术为主,但疗效明显差于肾癌其他亚型。Tokuda等报道大多数肾集合管癌患者行根治术后数月内即发生转移、死亡,患者的1年、3年、5年生存率分别为69.0%、45.3%、34.3%。目前肾集合管癌患者缺乏有效的术后辅助治疗。转移性肾集合管癌对放疗及免疫治疗均不敏感,最新一项多中心随机的前瞻性临床研究显示,吉西他滨和顺铂(或卡铂)联合应用治疗转移性肾集合管癌具有一定的疗效。该研究有23例患者入组,其中20例行姑息肾切除术,转移部位为肺、淋巴结、肝、骨、胸膜、软组织,患者接受了吉西他滨1250mg/m2,第1天和第8天应用;顺铂(或卡铂)70mg/m2,第1天应用;21天为一周期,应用6周期,治疗结果完全反应1例、部分反应5例、稳定10例,客观反应率为26%,总有效率为70%,患者的总生存时间为10.5个月。
【专家点评】
诊断与鉴别诊断:由于与肾癌其他亚型相比肾集合管癌有独特的病理学特点,决定了其临床和影像学也具有一定特征。肾肿瘤患者出现以下情况时应考虑有肾集合管癌的可能:病程短但症状进展较快,伴有成骨性骨转移,CT或MR显示肾软组织肿块累及肾髓质、呈浸润式生长、边缘不清。本例患者在病程中左腰疼痛加重较为明显,进展较快。
肾集合管癌的确诊仍是病理学检查。本例患者曾在外院行左肾肿物穿刺活检。但由于肾癌瘤体发生坏死的比例也较高,容易造成取材不合适而使病理诊断错误,同时肾肿瘤包含了透明细胞癌、嫌色细胞癌、乳头状癌、集合管癌和嗜酸细胞腺瘤等亚型,上述各型细胞的胞浆内均可见嗜酸性颗粒,由于穿刺获得的组织数量较少,区别各种亚型也有困难。文献报道肾穿刺活检诊断肾癌的准确率平均为88%,由于影像学诊断肾肿瘤的准确率较高,而肾穿刺活检的误诊率较高,因此国内外多个专业学会包括中华医学会泌尿外科分会、美国国家综合癌症网络(NCCN)等制定的肾癌诊治指南,均不推荐将肾肿瘤穿刺活检作为常规检查项目。需要行肾肿物穿刺活检的患者包括:①伴有严重合并症、外科手术风险较大,需要决定是行手术还是随诊观察;②拟行肾癌物理消融(如冷冻或射频消)、化疗、靶向治疗在治疗前为明确诊断;③怀疑淋巴瘤或白血病侵犯肾脏的患者,可行活检为化疗提供依据。因此本例患者行左肾肿物穿刺活检并无显著的临床意义。
肾集合管癌需同以下肾原发性肿瘤鉴别:①尿路上皮癌:有学者认为与肾细胞癌相比,肾集合管癌与移行细胞癌更相似。集合管癌与低级别尿路上皮癌鉴别并不困难,肾盂癌静脉肾盂造影可见肾盂内充盈缺损,CT多可见典型肾盂内乳头状突起,大体标本常见肾盂内菜花状或乳头状肿瘤。但集合管癌与高级别尿路上皮癌在临床鉴别较困难,病理学上两者组织结构和免疫表型非常相似,但镜下尿路上皮癌很少见到间变的肾小管上皮,这一点有助于鉴别诊断。②肾髓质癌:可能来源于肾盏或肾乳头的黏膜上皮,容易和集合管癌相混淆。集合管癌患者年龄多超过50岁,而肾髓质癌患者以青年人为主,常发生于黑人,伴镰状细胞贫血病,进展快、预后差,患者平均存活15周。镜下肾髓质癌有独特的形态特征,癌细胞弥漫性分布,核仁异型明显,常有水肿和黏液变,伴大量中性粒细胞及淋巴细胞浸润,形成微脓肿是其特征。③乳头状肾细胞癌:乳头状肾细胞癌起源于近端肾小管,大体上肿瘤多位于肾皮质,边界清,常有假包膜,切面多有出血、坏死、囊性变及钙化,预后较好。镜下肿瘤细胞呈立方或柱状,形态较一致,以乳头状结构为主,中心常见泡沫细胞,肿瘤间质内极少发生胶原纤维增生及炎性细胞反应。
治疗问题:根治性肾切除是延长肾集合管癌患者生存期最好的方法。本例患者手术时发现肾门肿大淋巴结,只行淋巴结切除,未进行清扫,术后病理证实为淋巴结转移。对有淋巴结转移的肾透明细胞癌患者,由于多数患者伴其他部位转移的几率较高,只有少部分患者可从区域或扩大淋巴结清扫术中获益。因此中国泌尿外科疾病诊断治疗指南不推荐行区域或扩大淋巴结清扫术。肾集合管癌恶性度高、易发生远处转移,行区域或扩大淋巴结清扫对延长患者生存期可能并无意义,因此本例患者未行淋巴结切除清扫术。
参考文献
1. Fleming S,Lewi HJ.Collecting duct carcinoma of the kidney.Histopathology,1986,10(11):1131-1141. Antonelli A,Portesi E,Cozzoli A,et al.The collecting duct carcinoma of the kidney:a 2.cytogenetical study.Eur Urol,2003,43(6):680-685. Lopez-Beltran A,Scarpelli M,Montironi R,et al.2004 WHO classification of the renal tumors of the adults.Eur Urol,2006,49(5):798-805
2. Matz LR,Latham BI,Fabian VA,et al.Collecting duct carcinoma of the kidney:a report of three cases and review of the literature. Pathology,1997,29(4):354-359
3. Srigley JR,Eble JN. Collecting duct carcinoma of kidney. Semin Diagn Pathol,1998,15(1):54-67
4. 庞涛,刘群,马祥兴,等.肾脏集合管癌的CT诊断.中华放射学杂志,2004,38(10):1094-1097
5. Tokuda N,Naito S,Matsuzaki O,et al.Collecting duct(Bellini duct)renal cell carcinoma:a nationwide survey in Japan.Japanese Society of Renal Cancer J Urol,2006,176(1):40-43
6. Oudard S,Banu E,Vieillefond A,et al. Prospective multicenter phase Ⅱ study of gemcitabine plus platinum salt for metastatic collecting duct carcinoma:results of a GETUG study. J Urol,2007,177(5):1698-1702
7. Lane BR,Samplaski MK,Herts BR,et al. Renal mass biopsy——a renaissance? J Urol. 2008,179(1):20-27
8. Milowsky M I,Rosmarin A,Tickoo SK,et al.Active chemotherapy for collecting duct carcinoma of the kidney:a case report and review of the literature.Cancer,2002,94(1):111-116
9. Blom JH,van Poppel H,Mar é chal JM,et al. Radical nephrectomy with and without lymph-node dissection:final results of European Organization for Research and Treatment of Cancer(EORTC)randomized phase 3 trial 30881. Eur Urol,2009,55(1):28-34
10. 那彦群,孙光. 中国泌尿外科疾病诊断治疗指南/2009版. 北京:人民卫生出版社,2009
(环球医学编辑:余霞霞)
来源:《泌尿外科疑难病例讨论精选》
作者:那彦群 陈山
页码:61-64
出版:人民卫生出版社
- 评价此内容
- 我要打分
近期推荐
热门关键词
最新会议
- 2013循证医学和实效研究方法学研讨会
- 欧洲心脏病学会年会
- 世界帕金森病和相关疾病2013年会议
- 英国介入放射学学会2013年第25届年会
- 美国血液学会2013年年会
- 美国癫痫学会2013年第67届年会
- 肥胖学会 2013年年会
- 2013年第9届欧洲抗体会议
- 国际精神病学协会 2013年会议
- 妇科肿瘤2013年第18届大会
- 国际创伤压力研究学会2013年第29届…
- 2013年第4届亚太地区骨质疏松症会议
- 皮肤病协会国际2013年会议
- 世界糖尿病2013年大会
- 2013年国际成瘾性药年会
- 彭晓霞---诊断试验的Meta分析
- 武姗姗---累积Meta分析和TSA分析
- 孙凤---Network Meta分析
- 杨智荣---Cochrane综述实战经验分享
- 杨祖耀---疾病频率资料的Meta分析
合作伙伴
Copyright g-medon.com All Rights Reserved 环球医学资讯 未经授权请勿转载!
网络实名:环球医学:京ICP备08004413号-2
关于我们|
我们的服务|版权及责任声明|联系我们
互联网药品信息服务资格证书(京)-经营性-2017-0027
互联网医疗保健信息服务复核同意书 京卫计网审[2015]第0344号




会员登录

