一例复发转移性头颈部鳞癌诊疗经验分享
57岁男性,发现左颈部包块,约3cm×4cm,质硬,活动度差,诊断为“左侧梨状窝低分化鳞癌”,经多次化疗和手术后去世。此病例带来哪些启示?
【病例介绍】
病史资料
患者,男性,57岁。
2014-01患者发现左颈部包块,约3cm×4cm,质硬,活动度差。
外院查口咽MRI示左侧会厌披皱襞略有增厚,左侧颈上深组可见多发肿大淋巴结,短径约2.4cm。鼻咽喉镜示左侧梨状窝上方与左侧咽会厌皱襞交界处可见黏膜增厚、隆起,累及到邻近喉部,左侧梨状窝下方未见侵及,活检病理示(下咽)低分化鳞状细胞癌。诊断为“左侧梨状窝低分化鳞癌(cT2N2bM0,ⅣA 期)”。
2014-03-25至5月外院予同步放化疗,化疗方案:顺铂100mg/m2 q.3w.×2,累积剂量360mg,耐受可。治疗后复查鼻咽MRI:下咽可见治疗后改变,左侧颈上深组可见肿大淋巴结,短径约1.1cm。
2015-05发现颈部淋巴结增大,于当地医院行左颈部肿物穿刺活检,病理:鳞状细胞癌(低分化)伴大量坏死;免疫组化:P40+,P63+,TTF-1-,CD56-。
2015-06-02行颈部增强CT示左侧颈根部及颈动脉鞘旁有多发肿大淋巴结影,最大者约为3.8cm×2.2cm。喉镜示下咽及喉未见明显异常。
2015-06-08行左侧颈淋巴结转移癌切除术,病理诊断(左颈部转移癌)淋巴结转移性低分化癌,结合免疫组化结果考虑为低分化鳞癌,免疫组化:P63+,AE1/AE3+。术后未行治疗。
2015-10-15复查超声示颈部多发淋巴结。完善PET-CT示左颈(Ⅱ组)、双颈(Ⅲ组)、颏下(Ⅰ组)、左锁骨上(Ⅳ组)可见数个放射性摄取异常增高结节,大小0.5~1.5cm,SUV 1.3~10.9,双肺多发类圆形小结节,大小0.3~0.5cm,部分代谢增高,SUV 0.8~1.0,转移不除外,右锁骨下(1R)、纵隔(2R、4R、5区)及双肺门代谢增高淋巴结,大小0.7~1.2cm,SUV 2.3~5.3,炎性病变可能(图1)。

图1 PET-CT(治疗前)
注:提示双侧颈部多发代谢增高淋巴结,双肺多发小结节,部分代谢增高。
2015-11-02收住协和医院肿瘤内科。
诊断及分期
下咽低分化鳞癌(cT2N2bM0,ⅣA期 AJCC 7.0);
1疗程同步放化疗后(顺铂);
左侧颈部多发淋巴结转移;
左侧颈淋巴结转移癌切除术后;
双侧颈部淋巴结、双肺转移(rcTxN2cM1,ⅣC期AJCC 7.0)。
治疗原则
患者存在远处转移,不适宜行手术治疗或放疗,应选择全身治疗。根据2015年NCCN指南,复发转移性头颈部鳞癌的治疗需根据体力状态选择联合治疗或单药治疗,该患者体力状态良好,拟应用PF方案联合西妥昔单抗治疗。
治疗过程
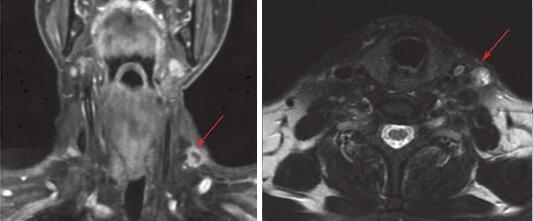
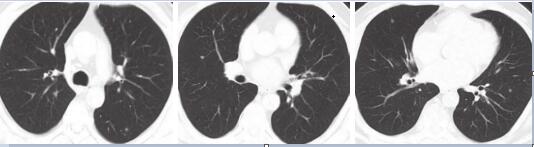
入院后完善基线检查,2015-11-04完善颈部增强CT及MRI检查:下咽部治疗后改变,双侧颈部、左锁骨上淋巴结肿大(图2)。胸腹盆增强CT示双肺多发小结节(图3)。

图2 颈部增强MRI(基线)
注:提示左锁骨上、颈部多发淋巴结(箭头指示为靶病灶)。

图3 胸腹盆增强CT可见双肺小结节
一线治疗
2015-11-10至2016-02-17予1~6疗程PF+西妥昔单抗治疗,具体为:西妥昔单抗250mg/m2 q.w.(首次400mg/m2)、顺铂 75mg/m2 d1,5-Fu 750mg/m2 civ 120h。
不良反应:血液学毒性——G2白细胞减低、G3中性粒细胞减低、G1贫血、G1血小板减低;非血液学毒性——G2皮疹、G3口腔黏膜炎、G1肾功能损伤、G2消化道反应。
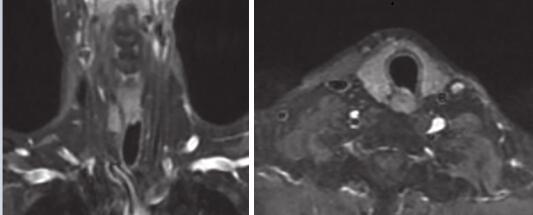
疗效评估:2疗程后靶病灶短径15.3mm→8mm,缩小 48%,评效 PR(图4)。4疗程及6疗程(图5)后评效维持PR。

图4 颈部增强MRI:2疗程后达PR

图5 颈部增强MRI:6疗程后靶病灶缩小为不可测量病灶,维持PR
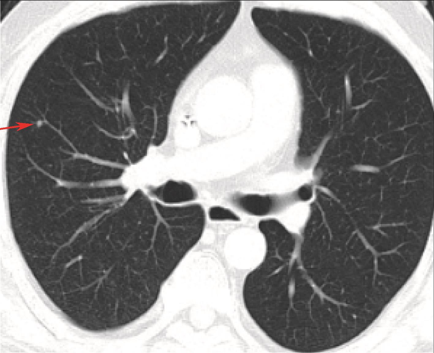
2016-03-17起进入西妥昔单抗维持治疗,2016-06右肺出现新发可疑小结节(图6),不除外PD,予停用西妥昔单抗,与患者及家属沟通后,定期复查。

图6 2016-06胸腹盆增强CT,右肺新发小结节
2016-09 CT示右肺小结节缩小、密度减低,2016-12、2017-03、2017-07复查胸腹盆CT及颈部MRI无明显变化。
2017-08发现颈部肿物,逐渐增大,2017-10出现左侧腋下肿物。
2017-11复查颈胸腹盆增强CT:新见左侧胸锁乳突肌下方、双侧腋窝多发淋巴结(图7)。考虑PD。

图7 胸腹盆增强CT:提示双侧腋窝多发淋巴结
二线治疗
参加临床试验,2017-11-09予口服阿法替尼1片 q.d.治疗。
疗效评估:2017-12-11复查胸腹盆增强CT:左侧腋窝皮下新见小结节(图8),考虑PD。

图8 胸腹盆增强CT:左侧腋窝皮下新发小结节
三线治疗
2017-12-15、2018-01-08行第1~2疗程TPF方案治疗,具体为:多西他赛100mg d1,顺铂 20mg d1~5,5-Fu 4g civ 120h。
疗效评估:2018-02复查颈胸增强CT示左侧腋窝淋巴结较前增大(图9),评估PD。

图9 胸腹盆增强CT:提示左腋窝淋巴结增大
四线治疗
2018-02-03、02-24予1~2疗程长春瑞滨+5-Fu方案,具体为:长春瑞滨 40mg d1、8,5-Fu 3.5g civ 120h。
疗效评估:2018-03-27行颈胸部增强CT示双侧颈部、腋窝淋巴结较前增多,部分增大,左肺尖新见小结节(图10),评估病情为PD。

图10 颈胸增强CT可见左肺尖新发结节
五线治疗
2018-03-27、04-20予第1~2疗程GP方案化疗,具体为:吉西他滨 1.6g d1、8,顺铂40mg d1~3。
2疗程后复查颈胸部CT:双侧腋窝多发淋巴结,部分肿大并融合,部分较前缩小,评效SD。后再行4疗程GP化疗,C4、C6后评效 SD。
2018-08-18查Cr 120μmol/L,暂停顺铂,此后继续行2疗程吉西他滨化疗,剂量同前。
后因一般状况恶化,患者于2018-11-07去世。
【讨论和思考】
头颈部肿瘤是全球第六大常见肿瘤,其中90%为鳞状细胞癌,60%~70%的患者确诊时已属晚期。未经治疗的患者1年生存率约20%,接受初始治疗后超过50%的患者会出现局部或远处转移。复发转移性头颈部鳞癌(R/M SCCHN)大多需要全身治疗,具体方案选择受多种因素影响,包括体能状态、既往治疗方案、PD-L1表达状态、基础疾病等,多数研究显示,中位生存期为6~15个月。
表皮生长因子受体(EGFR)是一种受体酪氨酸激酶,EGFR信号通路与肿瘤的发生发展密切相关,超过90%的患者存在EGFR过表达,抗EGFR靶向治疗成为R/M SCCHN的重要治疗手段。
EXTREME研究纳入了442例R/M SCCHN患者,随机分组给予顺铂或卡铂+氟尿嘧啶±西妥昔单抗治疗,其中顺铂为 100mg/m2 d1,氟尿嘧啶为 1 000mg/(m2•d)civ 96h,西妥昔单抗首剂400mg/m2,随后每周250mg/m2,化疗最多6周期,西妥昔单抗维持治疗使用至疾病进展或出现毒副作用。结果显示,化疗联合西妥昔单抗治疗组总生存(OS)及无进展生存(PFS)显著长于单纯化疗组,mOS 10.1m vs 7.4m(HR=0.80),mPFS 5.6m vs 3.3m,ORR 分别为36%、20%。两组 ≥ 3级不良反应分别为82%、76%。
另一项CHANGE-2研究是评估改良剂量的EXTREME方案对比以顺铂为基础化疗一线治疗中国R/M SCCHN患者的Ⅲ期临床研究,治疗组中顺铂从100mg/m2下调至75mg/m2,氟尿嘧啶从第1天到第4天1 000mg/m2下调到第5天750mg/m2。结果显示,改良剂量的EXTREME方案在中国人群中同样可显著改善患者获益(治疗组 vs 对照组 mPFS:5.5m vs 4.2m,HR=0.57,p=0.001),ORR 同样改善显著(50.0% vs 26.6%,p < 0.001)。改良剂量的EXTREME方案在1L R/M SCCHN中国患者中安全耐受。
两项研究表明,相比单纯双药化疗,在含铂类双药方案中加入西妥昔单抗可改善总体生存。西妥昔单抗目前获批在一线治疗中与以铂类为基础的化疗方案联用。该患者按照CHANGE-2模式一线选择了PF联合西妥昔单抗治疗,维持治疗中出现可疑新发肺结节。在后续监测过程中,该结节缩小、密度减低,2017-08逐渐出现颈部、腋下淋巴结,转移明确,PFS1时间21个月。
除针对EGFR的单克隆抗体即西妥昔单抗外,另一种针对跨膜EGFR酪氨酸激酶的小分子抑制剂阿法替尼在复发转移性头颈部鳞癌中也进行了探索。LUX-Head and Neck 1研究比较了二线应用阿法替尼对比甲氨蝶呤的疗效,结果表明,阿法替尼组的主要终点较甲氨蝶呤组PFS显著改善(2.6m vs 1.7m,p=0.03),DCR也更高(49.1%vs 38.5%,p=0.035)。LUX-Head and Neck 3是评估阿法替尼在亚洲人群的有效性及安全性,该患者二线治疗参加了此项研究,但PFS时间仅为1个月。
后线治疗中该患者应用了既往未应用过的药物,但整体治疗效果不佳,PFS时间多为2~3个月,最终因一般状况恶化去世,OS 36个月。R/M SCCHN后线的治疗选择有限,传统细胞毒类药物有效性欠佳,急需创新治疗方案,KeyNote048、Checkmate141等研究确立了免疫治疗在一线及后线治疗的地位,为R/M SCCHN带来了更多治疗选择。
【专家点评】
本病例为下咽癌同步放化疗后出现颈部淋巴结转移挽救术后4个月;出现颈部淋巴结转移及肺部转移。此后采用一线治疗方案FP化疗联合西妥昔单抗(CHANGE-2研究)治疗7个月后怀疑肿瘤进展而停用,但是停用后患者维持近14个月后才明确为肿瘤进展。此后患者二线单药阿法替尼及后续多线化疗均未取得明确疗效而快速进展直至死亡。
从中得出以下几点启示:首先,一线化疗联合西妥昔单抗治疗对于复发转移头颈部鳞癌疗效明确,而且安全性可控,患者能完成6周期联合治疗后进入单用靶向治疗维持。其次,该患者挽救术后4个月就出现颈部淋巴结转移和肺部多发转移瘤,势必需要寻求挽救术后的辅助治疗以期提高挽救手术后的无复发生存期,另外,挽救术后辅助的治疗方案值得进一步探索;今年ASCO会议报道了挽救术后采用免疫治疗或免疫联合口服化疗等辅助模式可以延长挽救术后患者的无复发生存期。最后,患者化疗联合靶向停用后仍旧有14个月的疾病稳定期,预示着靶向治疗在某些复发转移头颈部鳞癌患者疗效持久,同时也提醒临床研究判断肿瘤进展并出组时需要综合评估,对于未经病理确诊小于1cm的新病灶的判断尤其要慎重。
知识来源
人卫知识数字服务体系
- 评价此内容
- 我要打分
近期推荐
热门关键词
最新会议
- 2013循证医学和实效研究方法学研讨会
- 欧洲心脏病学会年会
- 世界帕金森病和相关疾病2013年会议
- 英国介入放射学学会2013年第25届年会
- 美国血液学会2013年年会
- 美国癫痫学会2013年第67届年会
- 肥胖学会 2013年年会
- 2013年第9届欧洲抗体会议
- 国际精神病学协会 2013年会议
- 妇科肿瘤2013年第18届大会
- 国际创伤压力研究学会2013年第29届…
- 2013年第4届亚太地区骨质疏松症会议
- 皮肤病协会国际2013年会议
- 世界糖尿病2013年大会
- 2013年国际成瘾性药年会
- 彭晓霞---诊断试验的Meta分析
- 武姗姗---累积Meta分析和TSA分析
- 孙凤---Network Meta分析
- 杨智荣---Cochrane综述实战经验分享
- 杨祖耀---疾病频率资料的Meta分析
合作伙伴
Copyright g-medon.com All Rights Reserved 环球医学资讯 未经授权请勿转载!
网络实名:环球医学:京ICP备08004413号-2
关于我们|
我们的服务|版权及责任声明|联系我们
互联网药品信息服务资格证书(京)-经营性-2017-0027
互联网医疗保健信息服务复核同意书 京卫计网审[2015]第0344号




会员登录

