口腔鳞癌术后放化疗后转移患者,经多线治疗获得长期生存
52岁男性,确诊口腔鳞癌,经过多程治疗后失败,出现局限于头颈部的寡转移灶。采用何种方案可获得长期生存?
一、病例介绍
患者,男性,52岁。
2016-05-24患者因左颊部疼痛1年余,院外就诊,查体见:左颊,D6~8牙龈,左下颌前庭沟,左翼下颌皱襞扪及3cm×3cm大小溃疡性肿块,左颌下1cm×1cm大小淋巴结。遂于该院在全麻下行“左颊、左下颌牙龈鳞癌扩大切除术”,术中发现不详,术后病理:(左颊部)鳞状细胞癌(Ⅰ~Ⅱ级,颌下淋巴结3/4,颈深上淋巴结1/6),查见鳞癌转移。颌下、颈深中、颈深下淋巴结未见癌转移。浸润深度和淋巴结包膜外侵(ENE)不详。
2016-06-15 PET-CT检查:左侧下颌、颊部及左侧颈区软组织肿胀伴代谢稍增高,多系反应性改变。超声检查:双颈部锁骨上未见长大淋巴结。
2016-06-18、2016-07-22给予2周期PF方案辅助化疗,具体用药:顺铂50mg d1,顺铂40mg d2~3和5-Fu 1 000mg d1~5,每3周重复。
2016-09-02序贯放疗结束,放疗技术:IMRT,照射范围为瘤床区+左颈部淋巴引流区(Ⅰ、Ⅱ、Ⅲ、Ⅳ区)。放疗剂量:60Gy/30f。
2016-10患者发现右颈部包块增大,穿刺活检提示鳞癌。
2016-11-28于首诊医院再次在全麻下行“右颈淋巴结转移灶扩大切除术+右颈淋巴结清扫术”,术中右颌下、右颈深下区见多个肿大淋巴结。术后病理提示:右下颌淋巴结为软组织查见大量转移癌巢,右颈深中淋巴结(1/7)查见癌转移。(右腮腺下极、右颈深上、右颈深下)淋巴结均未见癌。
2017-01患者再次发现右侧颌下包块呈进行性增大。
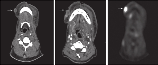
2017-01-24在我院CT检查:下颌体右前份皮下软组织结节影,大小约1cm×1cm(图1)。
2017-02-07全身PET-CT检查:右后上口颊、右侧口底、右侧下颌体右前份皮下软组织结节影,代谢增高,最大SUV值13.8,多系肿瘤转移(图1)。
既往史:2型糖尿病15年,口服“二甲双胍、格列美脲”降糖,控制尚可。
个人史:吸烟20年,已戒烟10年,饮酒30年,每天25g。

图1 右侧下颌体右前份皮下软组织结节影(平扫CT,增强CT和PET-CT)
(一)诊断及分期
1.左侧颊黏膜及下牙龈鳞癌(T2N2bM0)术后放化疗后右颈部淋巴结转移术后右下颌皮下转移(M1,Ⅳc期)。
2.2型糖尿病。
(二)鉴别诊断
本病例既往有左侧颊黏膜及下牙龈鳞癌术后右颈部淋巴结转移二次术后病史,目前检查发现右下颌皮下结节病灶,需要考虑为肿瘤转移,原则上需要进一步行结节穿刺活检或者切除活检进一步明确病理类型,但考虑到患者多次手术史,且患者拒绝活检,故结合影像学检查临床诊断为:左侧颊黏膜及下牙龈鳞癌(T2N2bM0)术后放化疗后右颈部淋巴结转移术后右下颌皮下转移(M1)。
9个月前,患者有诊断为左侧颊黏膜及下牙龈鳞癌病史。
3个月前,患者出现右颈部淋巴结鳞癌转移再次手术史。
全身PET-CT检查:右后上口颊、右侧口底、右下颌体右前份皮下软组织结节影,代谢增高,最大SUV值13.8,未发现其他部位病灶。
(三)治疗原则
外科手术:目前病灶累及范围广泛,且患者近期已行两次大型手术史,现外科手术难以完整切除病灶,且预计术后并发症严重。
放射治疗:对于转移性头颈部肿瘤,放疗的目的为减小肿瘤负荷,姑息性放疗可以控制局部肿瘤,提高患者的生活质量。患者既往未行右侧口底及颈部放疗,对于局限区域的肿瘤,可以考虑局部姑息性放疗。
内科治疗:对于转移性头颈部鳞癌,参照不适合局部治疗的复发转移性头颈部鳞癌一线治疗,拟采用PF联合西妥昔单抗靶向治疗或以顺铂为基础的联合化疗(DP/TP等)方案的组合。
(四)诊治经过
1.一线治疗
2017-02-15和2017-03-09行2周期“多西他赛120mg i.v.d1+奈达铂120mg i.v.d2,每3周重复”方案化疗。
2017-02-20在我院行图像引导下调强适形放疗(IMRT),GTV-N1:2.2Gy/f,GTV-N2:2.5Gy/f,GTV-N3 :2.5Gy/f,CTV-ln:1.8Gy/f,并针对右侧颌下转移灶同步予电子线照射补量50cGy/f,共完成13f。IMRT放疗计划如图2。

图2 右侧口底、颌下病灶及区域淋巴结引流区放疗计划
2017-03-16患者出现Ⅳ°骨髓抑制(WBC 0.6×109/L),同时伴有肺部感染,低蛋白血症(25g/L),中度胸腹水,立即给予停止肿瘤治疗,患者转入重症监护室进行抗感染及内科对症支持治疗。
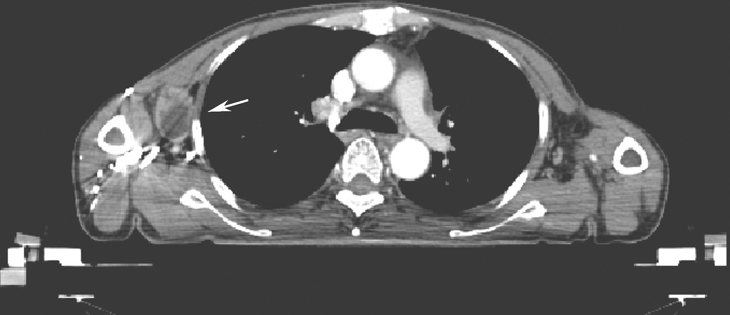
2017-06-14患者因发现腋窝淋巴结增大再次入院行CT检查,发现右侧腋窝淋巴结增大,大小约3cm×2cm(图3)。
2017-06-19行腋窝淋巴结穿刺查见癌细胞。

图3 右侧腋窝3cm×2cm淋巴结,伴中心坏死
2.二线治疗
(1)化疗方案:
2017-06-19同步替吉奥50mg b.i.d.口服28天,共4周期,同时予西妥昔单抗400mg(首次600mg)静脉输注,每2周1次,共6次。
(2)放疗方案:
2017-06-20—08-02针对转移淋巴结行IMRT,剂量69Gy/30f(图4)。

图4 腋窝转移淋巴结调强适形放疗计划
不良反应:一线治疗后出现Ⅳ°骨髓抑制、严重感染、低蛋白血症;二线治疗更换单药联合西妥昔单抗靶向治疗后,仅有轻度乏力、轻度骨髓抑制,耐受性可。
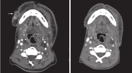
疗效评估:一线方案治疗后,患者出现严重副作用,终止肿瘤治疗,治疗后3个月评估局部肿瘤控制达CR(图5),但发现腋窝淋巴结增大,故总体疗效评估为肿瘤进展(PD)。鉴于患者一线治疗失败,更换二线单药化疗方案,联合西妥昔单抗靶向治疗。治疗结束后一段时间失访,直到2021年(复发转移后PFS超过3.5年)随访,患者目前一般状态可,生活质量好。

图5 右下颌骨前方结节治疗后达完全缓解
二、讨论和思考
据2018年全球癌症研究数据结果显示,头颈部肿瘤是全球发病排位第六的常见恶性肿瘤,鳞状细胞癌比例占90%以上。头颈癌的发病主要与吸烟、饮酒、嚼槟榔、HPV感染等有关,该患者有长期吸烟、饮酒史,口腔癌的发生不排除与此不良习惯有关。手术联合放化疗是中晚期头颈癌的主要治疗方式,但标准治疗后5年的总生存率<50%,复发转移是头颈癌治疗后主要的失败模式。既往研究显示,对于复发/转移性头颈部鳞癌的治疗方式有限,化疗仍是其主要的治疗方式,随着化疗药物的发展,疗效虽有所提高,但总体生存结果仍不佳。在单纯化疗时代,复发/转移性头颈部鳞癌的中位生存时间约7个月,进入分子靶向治疗时代,西妥昔单抗联合化疗的疗效有显著改善,中位生存时间延长至10个月,大于2年的生存率为14%。因此分子靶向治疗在近10年的时间内为复发/转移性头颈部鳞癌患者带来了福音,成为晚期头颈癌标准一线治疗方案。
在分子靶向药物问世之前,以顺铂/卡铂为基础的联合化疗一直是复发转移头颈部鳞癌的标准治疗模式,2008年的EXTREME研究结果显示,西妥昔单抗联合铂类为基础的化疗治疗复发转移头颈部鳞癌获得了成功,客观缓解率进一步提升(36% vs 20%),中位生存时间延长(10.1个月vs 7.4个月),观察到5年生存病例还有6例(2.7%)。EXTREME研究的有力证据,使西妥昔单抗联合PF方案成为NCCN指南、ESMO指南等国际组织的Ⅰ类证据推荐:复发/转移头颈部鳞癌的一线标准治疗方案。本例患者在初次转移治疗中因经济条件原因,并未选择EXTREME方案进行治疗,而是选择了单纯化疗联合局部放疗的方式。有研究显示,对于转移性头颈部鳞癌,肿瘤退缩作为一个重要目标,是晚期肿瘤患者优先考量的指标,对于肿瘤较局限的患者,放射治疗等局部治疗的加入,对局部肿瘤的控制效果更佳,本例患者在局部放疗后右颈部转移病灶得到了很好的控制,但是更强的治疗也必然会给患者带来更大的副作用。因此,该患者在治疗过程中也出现了重度骨髓抑制,同时伴有肺部感染、低蛋白血症、中度胸腹水等,但在积极的救治以后得到了快速恢复。当一线治疗后2个月余,患者再次出现了疾病进展,主要表现为右侧腋窝淋巴结转移,鉴于一线双药化疗毒副作用严重,在二线治疗中,采用氟尿嘧啶类似物(替吉奥50mg b.i.d.)单药联合西妥昔单抗靶向治疗的方案,同时针对腋窝局部转移灶的放疗,总剂量达69Gy,局部控制取得很好疗效,而且毒副作用可以耐受。该患者在3年的长期随访过程中生活质量较好,日常生活无限制,达到了患者理想的生活状态,长期生存有待于进一步观察。
EXTREME研究因主要纳入高加索人群,对于中国人群是否适用?随后由郭晔教授发起的CHANGE-2研究无疑是中国人群最佳的治疗选择,该研究通过改良的EXTREME方案(西妥昔单抗400mg/m2,之后250mg/m2,每周重复;顺铂75mg/m2 d1和5-Fu 3 750mg/m2 civ 120h),对于治疗中不适合继续接受顺铂的患者,替换为卡铂(AUC 5 d1)。该研究结果在2019年公布,显示了西妥昔单抗组显著改善了中位无进展生存(5.5个月 vs 4.2个月,HR 0.57)和中位总生存(11.1个月 vs 8.9个月,HR=0.69),也显著改善了客观缓解率(50.0% vs 26.6%)。基于此研究结果,2020年的《CSCO头颈部肿瘤诊疗指南》把西妥昔单抗联合化疗列为复发/转移头颈部鳞癌的Ⅰ级证据推荐。
头颈部鳞癌是一类异质性较高的人群,对于中晚期口腔癌采用以手术切除为主的综合治疗方式后生存仍不理想,尤其对于术后快速复发/转移的患者,生存预后更差,治疗的目的优先考虑患者的生活质量,治疗时应充分考虑到患者自身的身体状态和个人意愿,谨慎选择治疗方案。本病例是一例典型的头颈部鳞癌术后转移的患者,在一线治疗失败后,换用改良的较低毒性的化疗方案联合西妥昔单抗获得较好效果的同时提高了患者的依从性和生活质量。另外,对于可局部治疗的复发转移性头颈部鳞癌,加入局部手术切除或放疗,无疑也是提高肿瘤局部控制的有效选择。有回顾性分析显示,对于有无局部治疗的头颈部鳞癌患者,在局部控制和生存方面存在差异。对于后续的靶向维持治疗有助于进一步改善总生存,通过优化靶向药物的维持治疗方案(TPExtreme方案:每2周1次的西妥昔单抗500mg/m2维持治疗),同样获得了与EXTREME方案相同的治疗效果,而且药物使用更加便捷,减轻了患者的经济负担和反复到医院治疗的次数,减轻了相关的毒副作用的同时提高了患者的依从性。
三、专家点评
本口腔鳞癌的病例经过多程治疗后失败,出现局限于头颈部的寡转移灶,经过外科判断属于既往PF方案化疗失败的不可手术的复发/远转头颈部鳞癌。2017年TPExtreme结果尚未发布,TPEx同EXTREME比较有相似的生存,ORR达到46%,高于EXTREME,且有更好的依从性,但患者当时未能选用西妥昔单抗联合化疗,采用了多西他赛+奈达铂联合同步放疗的方案,放疗13次后出现Ⅳ°骨髓抑制。患者的分期虽然属于M1,但转移灶仅限于皮下结节,是寡转移的状态,很多学者对头颈部肿瘤寡转移尝试放疗,确实有不错的数据发布,但综合治疗的顺序、联合的方式和时机仍值得探讨。目前的多项研究表明,西妥昔单抗可以采用灵活的组合方案用于患者个体化的治疗,ORR也可以达到40%左右,本病例患者出现远转后,一线采用西妥昔单抗联合紫杉醇和卡铂或其他组合方案4~6周期达到PR或CR全身控制的状态下,再予以局部姑息放疗,可能耐受性会更好。在腋窝病灶再次进展后采用放疗联合同步西妥昔+替吉奥治疗,虽然失访,但取得了PFS超过3.5年的长久控制,也进一步证实了西妥昔联合治疗的疗效。总的说来,对复发/远转头颈部鳞癌,CHANGE-2研究证实了在中国人群西妥昔单抗联合化疗的高有效率和高控制率,在病灶进展得到有效控制和缓解的状态下加入提高局控的放射治疗有望进一步提高生存率,而且西妥昔单抗可以灵活地组合方案,实现个体化的治疗。
知识来源
人卫知识数字服务体系
- 评价此内容
- 我要打分
近期推荐
热门关键词
最新会议
- 2013循证医学和实效研究方法学研讨会
- 欧洲心脏病学会年会
- 世界帕金森病和相关疾病2013年会议
- 英国介入放射学学会2013年第25届年会
- 美国血液学会2013年年会
- 美国癫痫学会2013年第67届年会
- 肥胖学会 2013年年会
- 2013年第9届欧洲抗体会议
- 国际精神病学协会 2013年会议
- 妇科肿瘤2013年第18届大会
- 国际创伤压力研究学会2013年第29届…
- 2013年第4届亚太地区骨质疏松症会议
- 皮肤病协会国际2013年会议
- 世界糖尿病2013年大会
- 2013年国际成瘾性药年会
- 彭晓霞---诊断试验的Meta分析
- 武姗姗---累积Meta分析和TSA分析
- 孙凤---Network Meta分析
- 杨智荣---Cochrane综述实战经验分享
- 杨祖耀---疾病频率资料的Meta分析
合作伙伴
Copyright g-medon.com All Rights Reserved 环球医学资讯 未经授权请勿转载!
网络实名:环球医学:京ICP备08004413号-2
关于我们|
我们的服务|版权及责任声明|联系我们
互联网药品信息服务资格证书(京)-经营性-2017-0027
互联网医疗保健信息服务复核同意书 京卫计网审[2015]第0344号




会员登录

