一例典型浆液性囊性肿瘤诊治经验体会
69岁女性,全腹持续性绞痛20余日,程度较剧烈,如何诊治?
一、病例简介
患者女性,69岁,20余天前出现腹痛,呈全腹持续性绞痛,程度较剧烈,疼痛持续数小时后缓解,伴腹泻3~4次,无其他不适。外院CT提示胰腺占位。
体格检查:
身高153cm,体重60.5kg,BMI 25.8kg/m2。 体温37℃,脉搏79次/min,呼吸19次/min,血压125/66mmHg。皮肤巩膜无黄染,腹软,无明显压痛、反跳痛,未及明显包块。
实验室检查:
血常规、肝肾功能及肿瘤标志物无明显异常。
影像学检查:
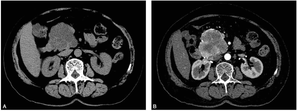
胰腺增强CT(图1)示胰头钩突部一团块状低密度灶,最大直径约6.8cm,大部分为液体样低密度,增强扫描可见病灶内大量细密分隔呈明显不均匀强化,并见迂曲穿行的肿瘤血管。
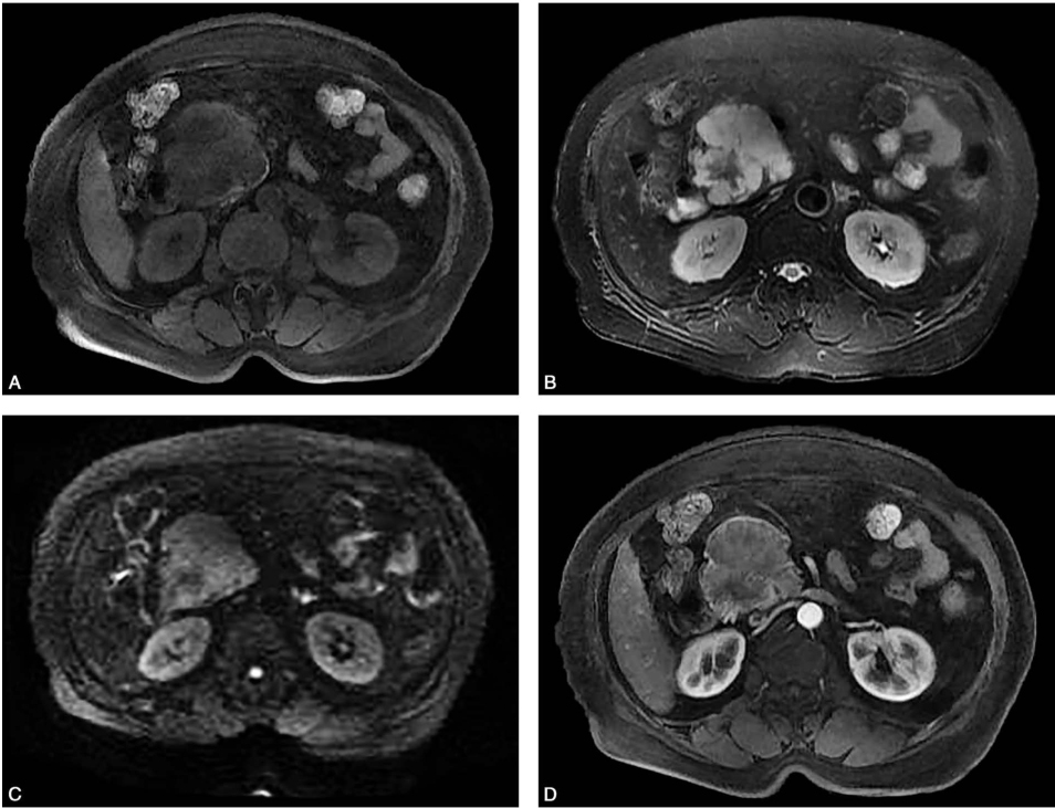
胰腺增强MRI(图2)示胰头钩突部异常信号影,囊性成分为主,T2WI呈高信号为主,局部见条片状低信号影,T1WI呈不均匀低信号,DWI呈稍高信号;病灶边缘分叶状,内可见多发细密蜂窝状分隔,并见瘢痕样改变,增强扫描病灶边缘及分隔呈明显强化。
腹部超声(图3)显示胰头稍低回声团块,大小约5.2cm×5.9cm,边界尚清,形态欠规则,内部回声不均匀,似见分隔样回声,纵切面病灶呈大分叶状,内可见少许血流信号。与周边血管分界清。


图1 胰腺增强CT
A.平扫;B.动脉期;C.门脉期。


图2 胰腺增强MRI
A.T1WI;B.T2WI;C.DWI;D.动脉期;E.静脉期;F.冠状面平衡期。

图3 腹部超声
A.二维超声;B.腹部彩色超声。
二、临床决策分析
鉴别诊断:
该病灶边界清晰,最大直径5.9cm,但未侵犯周边血管,考虑良性病变,病灶内含众多小囊,囊壁与分隔明显强化,结合患者年龄和影像学特征,是典型的微囊型SCN。但是诊断上仍需注意与实性假乳头状瘤(solid pseudopapillary neoplasm,SPN)相鉴别,最终确诊需要手术标本的常规病理诊断结果。
临床决策依据:
对于明确诊断的胰腺SCN,无症状的可以观察随访。针对伴有临床症状及增大迅速的,仍需要选择手术切除。该患者肿块直径约6.8cm,伴有腹痛症状,手术指征明确。
临床决策:
本病例肿瘤位于胰头部,手术方式选择胰十二指肠切除术。
三、治疗过程
完善相关检查后,予以手术治疗。术中见肝脏质地可,胆囊稍水肿,大小正常,腹腔内少量腹水,小肠、结肠及其系膜,盆腔脏器、肝脏和膈肌均未及明显结节。肿块位于胰头部,大小约7cm×7cm,质中,与肠系膜上静脉关系密切。行胰十二指肠切除术,术中冰冻切片病理检查提示为微囊型SCN。
四、病理分析
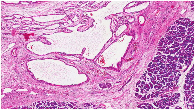
送检胰十二指肠切除术标本,胰头部可见一肿块,大小6.5cm×5cm×6cm,切面灰白灰黄,略呈囊性,内充清亮液。镜下示:大量小囊组成,囊壁被覆单层立方或扁平上皮,胞质透亮,细胞分界清晰,核深染,大小较一致,与上皮紧邻处可见明显的毛细血管网,囊腔周围为明显玻璃样变的纤维组织(图4)。本例形态典型,诊断明确为胰腺微囊型SCN。

图4 肿瘤切片HE染色(×100)
多个囊腔内衬透明的立方上皮,可见呈乳头状突向腔内,肿瘤与周围的胰腺组织分界不清。
五、预后
该类型为良性肿瘤,预后良好。该患者术后半年来院复查,状况可,血糖正常,无腹痛、消化不良等症状。
六、病例总结
SCN是由一致的立方形、富于糖原的上皮组成的良性上皮性囊性肿瘤,且产生浆液。其中微囊型SCN最常见,囊肿直径多<2cm,多见于女性,好发年龄为50~70岁。生长缓慢,可见于胰腺任何位置,胰体、胰尾多见,一般与胰管不相通,其切面常呈蜂窝状,中央常见星形瘢痕。SCN一般生长缓慢,且很少出现临床症状。明确的SCN建议随访至少1年,之后根据症状进行随访;当患者出现明确的胆管、肠道等压迫症状时建议手术治疗。SCN的不同形态学亚型在影像学上比较相近,有时较难鉴别。如寡囊型SCN由极少数相对较大的囊腔组成,缺乏星形瘢痕和圆形外形;而实性型SCN在形态上还要注意与转移性肾细胞癌鉴别,已有较多文献报道了肾细胞癌的胰腺转移,因此有时需要行免疫组化来鉴别这两种肿瘤。肾透明细胞癌呈PAX-8(+)和CK7(-),而 SCN结果为 PAX-8(-)和CK7(+)。脑视网膜血管瘤病(冯希佩尔-林道综合征,von Hippel-Lindau syndrome,VHL综合征)相关型SCN常呈多灶性发生,甚至累及整个胰腺,形成弥漫性SCN。
知识来源
人卫知识数字服务体系
- 评价此内容
- 我要打分
近期推荐
热门关键词
最新会议
- 2013循证医学和实效研究方法学研讨会
- 欧洲心脏病学会年会
- 世界帕金森病和相关疾病2013年会议
- 英国介入放射学学会2013年第25届年会
- 美国血液学会2013年年会
- 美国癫痫学会2013年第67届年会
- 肥胖学会 2013年年会
- 2013年第9届欧洲抗体会议
- 国际精神病学协会 2013年会议
- 妇科肿瘤2013年第18届大会
- 国际创伤压力研究学会2013年第29届…
- 2013年第4届亚太地区骨质疏松症会议
- 皮肤病协会国际2013年会议
- 世界糖尿病2013年大会
- 2013年国际成瘾性药年会
- 彭晓霞---诊断试验的Meta分析
- 武姗姗---累积Meta分析和TSA分析
- 孙凤---Network Meta分析
- 杨智荣---Cochrane综述实战经验分享
- 杨祖耀---疾病频率资料的Meta分析
合作伙伴
Copyright g-medon.com All Rights Reserved 环球医学资讯 未经授权请勿转载!
网络实名:环球医学:京ICP备08004413号-2
关于我们|
我们的服务|版权及责任声明|联系我们
互联网药品信息服务资格证书(京)-经营性-2017-0027
互联网医疗保健信息服务复核同意书 京卫计网审[2015]第0344号




会员登录

