右舌根鳞状细胞癌术后放疗后复发病例的全程管理
59岁男性,右舌根鳞状细胞癌术后放疗后3个月复发。本病例将介绍复发转移性头颈部鳞癌全程管理。
【病例介绍】
患者,男性,59岁。
主诉:右舌根鳞状细胞癌术后放疗后3个月复发。
2018-06-10因右舌根肿物于当地医院切取活检,病理示:鳞状细胞癌。
2018-07-06全麻下行“右舌口底颈联合根治术+左骨前外皮瓣转移修复术”,术后病理:舌根鳞癌Ⅰ~Ⅱ级,部分肿瘤上皮团呈条索状侵袭性生长,切缘(-),右Ⅱ 1/8淋巴结(+),余淋巴结(-)。
2018-08-02至2018-09-13 行术后放疗,DT:CTV1 60Gy/30f,CTV2 54Gy/30f。
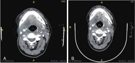
2018-12-11颌面部增强CT提示:术区、右侧颈鞘区、颌下、口咽占位(肿瘤复发),右腮腺下极、咽后、左侧颈上转移淋巴结可能(图1)。
2018-12-13右颌下组织切取活检病理:鳞状细胞癌转移。

图1 术区、右侧颈鞘区、颌下、口咽占位(肿瘤复发),右腮腺下极、咽后、左侧颈上转移淋巴结可能(皮瓣后缘及下方、右颌下、颈鞘区、右侧口咽壁见软组织肿块,增强后边缘强化,右侧颈内动脉基本受包绕,右腮腺下极、咽后、左侧颈上见环形强化淋巴结影)
诊断及分期
右舌根状细胞癌术后放疗后复发。
诊断及鉴别诊断要点
本病例手术及术后病理提示右舌根鳞癌,放疗后CT示术区周围多处异常强化,故需与局部软组织感染相鉴别,因右颌下组织活检病理提示:鳞癌,考虑为放疗后鳞癌复发。
治疗原则
外科手术:患者病灶累及范围广泛,结束局部根治剂量放疗3个月,照射野高剂量区域内多处复发,外科手术难以完整切除病灶,且预计术后并发症严重。
放射治疗:患者结束局部根治剂量放疗3个月,照射野高剂量区域内多处复发,再程放疗的毒性较大,预期放疗疗效不佳。
内科治疗:参照复发转移性头颈部鳞癌的标准方案,拟采用西妥昔单抗联合TP方案的组合(TPEx方案)。因门诊用药顺铂水化不方便,用奈达铂代替此方案中的顺铂。
治疗过程
第一阶段
治疗方案:西妥昔单抗+多西紫杉醇+奈达铂(TPEx方案)。具体用法及剂量:2018-12至2019-04行西妥昔单抗(首次400mg/m2,之后250mg/m2,每周重复)联合“TP”方案(多西紫杉醇75mg/m2 d1和奈达铂80mg/m2,每3周重复)连续6周期。
不良反应:无乏力、无皮疹、无恶心/呕吐。
疗效评估:治疗后右颌下肿胀明显缓解,第2周期后评估为部分缓解(PR)(图2),后续原方案继续治疗;第4周期后评估为持续PR;第6周期后评估为肿瘤进展,疗效评估为持续PD(图3)。

图2 右舌癌术后复发,右咽后、左侧颈上淋巴结转移可能,较前明显缩小
术区部分正常组织缺损,可见皮瓣修复,皮瓣后缘及下方、右颌下、颈鞘区、右侧口咽壁见软组织增厚,边界不清,呈T1WI等、T2WI压脂高信号,增强后环形强化,邻近舌骨骨质破坏,增强后可见不均匀强化,右咽后、左侧颈上见环形强化淋巴结影,大者直径12mm,右咽后淋巴结较前(2018-12-11CT)明显缩小

图3 右舌颈术后复发靶向治疗中,右咽后及锁骨上、左侧颈上淋巴结转移可能
术区部分正常组织缺损,可见皮瓣修复,右侧颌下颈部软组织部分缺如,见斑片状致密填充物影。右咽后、右锁骨上、左侧颈上见肿大淋巴结,较大直径10mm,中央液化坏死
第二阶段
NGS检测结果:TPS 80%、CPS 82、TMB < 1;无肿瘤增殖相关基因异常表达、扩增。
治疗方案:PD-1单抗联合安罗替尼方案。具体用法及剂量:2019-04-30至2019-06-15 PD-1单抗每3周重复,安罗替尼12mg口服,吃14天停7天。每2周期进行疗效评估。
不良反应:无高血压、无乏力、无皮疹、无恶心/呕吐。
疗效评估:治疗后右颌下肿胀再次缓解,第2周期后评估为部分缓解(PR)(图4A)、第4周期后评估为持续PR;后安罗替尼减量为10mg口服(1年左右减量到8mg),吃14天停7天,维持治疗,疗效评估为:PR(图4B)。

图4
A.右舌颈术后复发靶向治疗中,随访(术区部分组织缺损,可见皮瓣修复,右侧颌下颈部软组织部分缺如,见斑片状致密填充物影。皮瓣后缘及下方、右颌下、颈鞘区、右侧口咽壁见软组织增厚,右咽后、右锁骨上、左侧颈上见肿大淋巴结,中央液化坏死。与2019-04-29老片相比,部分环形强化影消失,范围缩小。)
【讨论和思考】
EXTREME临床研究作为里程碑式的研究,奠定了西妥昔单抗联合铂类为基础的化疗成为复发转移头颈部鳞癌的一线标准治疗方案的基础,此方案也被NCCN和ESMO等多个国际指南作为Ⅰ类证据推荐。在此基础上,郭晔教授领衔的针对中国复发转移性头颈部鳞癌患者的CHANGE-2研究是一项随机对照Ⅲ期临床研究,结果显示,联合西妥昔单抗的试验组显著提高了客观缓解率(50.0% vs 26.6%),疾病控制率达到76%。此外,联合治疗改善了中位无进展生存(5.5个月 vs 4.2个月)和中位总生存(11.1个月 vs 8.9个月)。基于这项研究,国家药品监督管理局于2020-03批准了西妥昔单抗联合化疗一线治疗复发转移性头颈部鳞癌的适应证,同年被《CSCO头颈部肿瘤诊疗指南》列为Ⅰ级专家推荐。TPExtreme研究是一项比较EXTREME或TPEx方案(西妥昔单抗、多西他赛和顺铂)治疗复发转移性头颈部鳞癌的随机对照Ⅲ期临床研究,虽然结果显示这2种方案在客观缓解率、无进展生存和总生存方面没有差别,但TPEx方案在耐受性方面优于EXTREME方案。本病例患者为口腔鳞癌经过标准治疗(手术+放疗)后迅速复发的患者,考虑到门诊治疗的安全性和便捷性,所以选择了“西妥昔单抗+多西他赛+奈达铂”治疗方案,并取得了良好的肿瘤退缩效果,肿瘤迅速消退,患者临床症状得到迅速改善,增加了患者治疗的信心,也提高了患者治疗的依从性。
从2014年CheckMate-141研究开始到其研究结果发布,开创了PD-1单抗免疫治疗在复发转移头颈部鳞癌应用的新纪元。2016年,NCCN头颈部肿瘤指南更新,推荐PD-1单抗免疫治疗作为含铂化疗期间或化疗后疾病进展的复发性或转移性头颈部鳞癌的单药疗法(1类)。KEYNOTE048研究是验证PD-1单抗免疫治疗用于复发转移头颈部鳞癌一线疗效的研究。此研究将入组患者按CPS分层,主要终点是CPS ≥ 20、CPS ≥ 1以及总人群的OS及PFS,入组患者中,43%的复发转移头颈部鳞癌患者CPS ≥ 20。研究结果显示,帕博利珠单抗一线单药治疗CPS ≥ 20人群,延长mOS至14.8月,其单药治疗CR率为8%(vs 3%),比EXRTEME研究完全缓解患者的比例更高。2020-12国家药品监督管理局批准帕博利珠单抗单药用于CPS ≥ 20的转移性或不可切除的复发性头颈部鳞状细胞癌患者的一线治疗。以上PD-1单抗免疫治疗在复发转移头颈部鳞癌的大型临床研究改写了指南,也显著提高了免疫治疗的地位。此患者在应用西妥昔单抗联合铂类为基础的化疗方案6个周期后,临床评估进展,考虑以前治疗方案耐药,于是进行了NGS检测,结果CPS 82,遂接受了PD-1单抗免疫治疗。因担心肿瘤快速进展,经中心讨论后给予安罗替尼口服。安罗替尼是广谱抗血管生成靶向药物,主要靶点为:VEGFR、PDGFR、FGFR、C-KIT,可较强地抑制肿瘤血管生成,从而起到抗肿瘤的作用。此两药联合持续治疗及评估,肿瘤达到PR后,安罗替尼减量至10mg,同时PD-1单抗维持治疗。在后续治疗中,患者曾试图停安罗替尼2周,但自觉患侧肿胀明显,随即又恢复安罗替尼的应用。此方案使用1年左右,因安罗替尼致手足皮肤皲裂,曾不规律减量到8mg和4mg,后以8mg剂量维持。治疗期间患者可以经口进食,除右颌下活检创面没有愈合外,无其他特殊不适,患者对维持阶段的生存质量也较为满意。末次随访为2021-02,复发后生存超过26个月。
西妥昔单抗联合铂类药物治疗具有快速缓解肿瘤负荷和减轻肿瘤相关症状的优点。回顾此晚期舌癌患者的治疗过程,在标准治疗术后加术后放疗结束后3个月,肿瘤快速、多处照射野内复发,“西妥昔单抗+多西他赛+奈达铂”方案使肿瘤快速缓解,患者临床症状改善,依从性提高;此方案耐药后,在NGS指导下采用PD-1单抗联合安罗替尼治疗,发挥了免疫治疗在肿瘤维持治疗阶段的优势:毒副作用小,用药方便。两套有临床研究方案支持的经典治疗方案的无缝衔接,使患者生存超过26个月。发挥每种治疗方案的优势,是做好复发转移头颈部鳞癌患者全程管理的关键。
【专家点评】
舌根癌属于韦氏环的结构,以鳞癌多见,绝大部分呈浸润性生长,和HPV感染密切相关,原发灶和颈部淋巴结的未控是失败的主要原因。本病例P16状态不明,在首程治疗术后4周开始放疗,仍然在放疗后的3个月在放射区域内广泛进展,提示肿瘤的恶性程度高、进展速度快且对放疗抗拒,我们知道西妥昔单抗联合化疗在复发转移性头颈部鳞癌有着高有效性和高缓解率(ORR=36%~50%),EXTREME、CHANGE-2、TPExtreme中使用的多为顺铂或卡铂,病例中TPEx方案中使用奈达铂代替顺铂也得到很好的缓解和控制,方案灵活性调整很适合门诊治疗的患者。在TPExtreme研究中使用4周期的TP+西妥昔单抗后进入双周西妥昔单抗维持治疗,但此病例采用6周期的TP+西妥昔单抗后仍然再次进展,随后的NGS检测PD-L1高表达,提示该病例系潜在免疫获益人群。在Keynote048的研究中,CPS ≥ 20的人群中帕博利珠单抗单药生存获益明显,但考虑这个病例有数次快速进展,所以后期采用了PD-1单抗联合安罗替尼,最终取得了持续PR的疗效,整体的耐受性和安全性都很好。在Keynote048中,CPS ≥ 20的人群,帕博利珠单抗单药和帕博利珠单抗联合PF化疗的ORR分别是23%和43%,5-Fu主要作用于放疗不敏感的细胞周期S期,因此5-Fu+顺铂联合PD-1单抗的方案也是一种可以考虑的选择。本病例就诊时缺乏PD-L1的检测,术后放疗仅3个月就在放疗区域快速进展,肿瘤负荷大且合并坏死,因此一线果断采用西妥昔联合化疗的方案准确合理,后面根据NGS检测结果使用PD-1单抗联合安罗替尼给这个放疗抗拒且快速进展的病例带来很好的持续生存。
知识来源
人卫知识数字服务体系
- 评价此内容
- 我要打分
近期推荐
热门关键词
最新会议
- 2013循证医学和实效研究方法学研讨会
- 欧洲心脏病学会年会
- 世界帕金森病和相关疾病2013年会议
- 英国介入放射学学会2013年第25届年会
- 美国血液学会2013年年会
- 美国癫痫学会2013年第67届年会
- 肥胖学会 2013年年会
- 2013年第9届欧洲抗体会议
- 国际精神病学协会 2013年会议
- 妇科肿瘤2013年第18届大会
- 国际创伤压力研究学会2013年第29届…
- 2013年第4届亚太地区骨质疏松症会议
- 皮肤病协会国际2013年会议
- 世界糖尿病2013年大会
- 2013年国际成瘾性药年会
- 彭晓霞---诊断试验的Meta分析
- 武姗姗---累积Meta分析和TSA分析
- 孙凤---Network Meta分析
- 杨智荣---Cochrane综述实战经验分享
- 杨祖耀---疾病频率资料的Meta分析
合作伙伴
Copyright g-medon.com All Rights Reserved 环球医学资讯 未经授权请勿转载!
网络实名:环球医学:京ICP备08004413号-2
关于我们|
我们的服务|版权及责任声明|联系我们
互联网药品信息服务资格证书(京)-经营性-2017-0027
互联网医疗保健信息服务复核同意书 京卫计网审[2015]第0344号




会员登录

