胰腺多发浆液性囊性肿瘤(SCN)1例诊治体会
浆液性囊腺瘤(serous cystic neoplasm,SCN)需与VHL综合征相关型SCN及分支胰管型导管内乳头状黏液性肿瘤(intraductal papillary mucinous neoplasm,IPMN)鉴别,以制订科学的临床决策。
【病例简介】
患者女性,56岁,因“发现胰尾部囊性病灶半年余”入院。患者无明显腹部不适,否认血糖升高、食欲缺乏及腹泻等症状,近日无体重减轻。有胆囊结石及高血压病史多年,无糖尿病病史,无胰腺肿瘤家族病史。
体格检查
身高158cm,体重52kg,BMI 20.8kg/m2;皮肤巩膜无黄染,浅表淋巴结未及肿大;全腹软,未扪及压痛、反跳痛或包块。
实验室检查
血常规、肝肾功能及肿瘤标志物无明显异常。
影像学检查
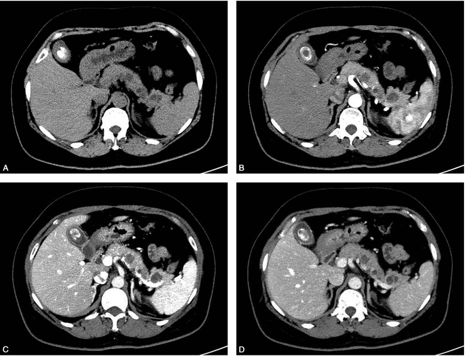
胰腺增强CT(图1)示胰体尾多发小圆形囊性低密度影,边界清晰,部分病灶内呈多房样改变,增强后分隔可见强化,胰管未见扩张。

图1 胰腺增强CT
A.平扫;B.动脉期;C.门脉期;D.平衡期。
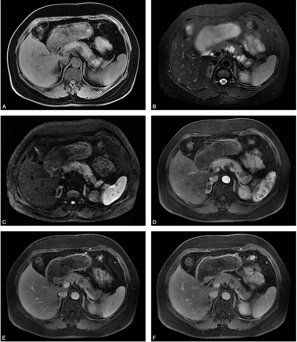
腹部MRI增强(图2)示胰体尾多发类圆形异常信号灶,T1WI呈低信号,T2WI呈高信号,DWI呈低信号,部分其内可见分隔影,增强扫描分隔可见强化,囊性成分未见强化。
【临床决策分析】
鉴别诊断
SCN最常见于老年女性,男女患病比例为1∶6~1∶3,通常无症状,瘤体较大者可表现为上腹胀、隐痛、恶心呕吐及体重减轻。SCN的典型影像学表现为类圆形、分叶状或多房囊状肿物,边界清晰,呈“蜂窝状”或“花瓣状”外观,部分病例可见中央星芒状钙化,强化后肿块不规则增强,分隔明显强化。该患者影像学检查结果提示胰体尾多发囊性病灶,故首先考虑SCN。
囊液检测可有效鉴别浆液性与黏液性胰腺囊性肿瘤(pancreatic cystic neoplasm,PCN)。SCN囊液通常为无色或淡黄色澄清,不黏稠,囊内偶有陈旧性出血(约占45%),但并非恶变表现,且囊壁内往往存在含铁血黄素,提示出血并非近期穿刺相关。由于SCN的囊性病灶内为浆液且与胰管不相通,囊液分析往往提示淀粉酶及癌胚抗原(carcinoembryonic antigen,CEA)水平较低,由此可与黏液性囊性肿瘤(mucinous cystic neoplasm,MCN)和IPMN相鉴别。

图2 腹部增强MRI
A.T1WI;B.T2WI;C.DWI;D.动脉期;E.静脉期;F.平衡期。
临床决策依据
绝大多数SCN为良性病变,癌变风险不足1%,预后良好,一般无须手术切除。若SCN产生临床症状,如压迫周围脏器、消化道梗阻,或无法与其他恶性或具有恶性潜能的PCN有效鉴别,则需要手术治疗。肿瘤大小并非决定手术的关键因素,但肿瘤越大生长速度越快,若直径>4cm,生长速度可达每年2cm。有研究认为当SCN直径>6cm,恶变风险显著增加,建议手术切除。
临床决策
可考虑完善下列检查以进一步明确诊断。①VHL基因突变检测及VHL综合征其他靶器官筛查;②超声内镜下穿刺进行细胞学检查及囊液分析。如仍不能完全排除其他诊断,可行手术探查,手术方式首先选择腹腔镜下保留脾脏的胰体尾切除术。
【治疗过程】
完善术前评估,排除手术禁忌后行腹腔镜下保留脾脏的胰体尾切除术(Kimura法)。术中见:胰腺质地软,胰体尾可及多发囊性占位性病灶,胰体部较大病灶直径约2cm,胰尾部较大病灶直径约3cm,部分凸起于胰腺轮廓(图3)。主胰管无明显扩张,剖检见胰腺体部囊性病灶囊液清亮透明,不黏稠;胰腺尾部占位伴有囊内陈旧性出血,囊液不黏稠。术中冰冻切片病理检查考虑微囊型SCN。胆囊壁略增厚,胆囊内见一枚结石,直径约3cm,囊壁光整。

图3 手术标本
【病理分析】
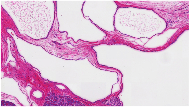
送检胰体尾,切面见一肿块,大小约2.5cm×2.0cm,呈多房囊性,局部囊实性变。镜下示:囊内壁被覆透明的单层立方上皮,分化可(图4),偶见肿瘤细胞乳头状突向腔内。本例诊断明确为胰腺微囊型SCN。
【预后】
患者术后恢复良好,未出现严重并发症,术后第5天出院。
【病例总结】
SCN以微囊型最为常见,除此之外还包括寡囊型、实性型、VHL综合征相关型及混合型SCN-神经内分泌肿瘤。这四种少见类型的SCN在组织学上与微囊型SCN同源,囊内均被覆盖浆液立方上皮细胞。文献报道,寡囊型SCN虽可能包含多个大囊性结构,但约一半的病例为单囊。实性型SCN在影像学上表现为强化的实性肿块,易与胰腺神经内分泌肿瘤(pancreatic neuroendocrine neoplasm,PNET)甚至SPN相混淆,需要病理学检查才可以鉴别。VHL综合征相关型SCN是VHL综合征的常见合并症。有研究显示,VHL相关型SCN约见于72%(21/29)的VHL综合征患者,通常表现为全胰腺弥漫或片状分布的多发SCN,同时伴有中枢神经系统、肾、肾上腺及生殖系统受累,基因检测可发现VHL基因突变。

图4 肿瘤切片HE染色(×100)
多个囊腔形成,囊内衬单层扁平上皮,胞质透亮。
多发性SCN的临床诊断存在一定的挑战性:一是要与VHL相关型SCN相鉴别;二是要与黏液性PCN特别是分支胰管型IPMN相鉴别。VHL相关型SCN通常为全胰腺弥漫性病变,无须手术处理;而分支胰管型IPMN的癌变风险明显高于SCN,若存在主胰管明显扩张、强化的壁结节及梗阻性黄疸等需手术治疗,如囊肿较大或生长过快,存在胰腺炎发作史及CA19-9升高等则需密切随访,必要时手术治疗。由于涉及后续治疗决策,多发性SCN的有效鉴别诊断就显得尤为重要。
回顾该例患者的诊治过程,有以下两点需要改进之处:一是术前未完善VHL基因突变检测及VHL综合征其他靶器官的筛查;二是术前诊断不明的情况下未行超声内镜下穿刺囊液分析。
知识来源
人卫知识数字服务体系
- 评价此内容
- 我要打分
近期推荐
热门关键词
最新会议
- 2013循证医学和实效研究方法学研讨会
- 欧洲心脏病学会年会
- 世界帕金森病和相关疾病2013年会议
- 英国介入放射学学会2013年第25届年会
- 美国血液学会2013年年会
- 美国癫痫学会2013年第67届年会
- 肥胖学会 2013年年会
- 2013年第9届欧洲抗体会议
- 国际精神病学协会 2013年会议
- 妇科肿瘤2013年第18届大会
- 国际创伤压力研究学会2013年第29届…
- 2013年第4届亚太地区骨质疏松症会议
- 皮肤病协会国际2013年会议
- 世界糖尿病2013年大会
- 2013年国际成瘾性药年会
- 彭晓霞---诊断试验的Meta分析
- 武姗姗---累积Meta分析和TSA分析
- 孙凤---Network Meta分析
- 杨智荣---Cochrane综述实战经验分享
- 杨祖耀---疾病频率资料的Meta分析
合作伙伴
Copyright g-medon.com All Rights Reserved 环球医学资讯 未经授权请勿转载!
网络实名:环球医学:京ICP备08004413号-2
关于我们|
我们的服务|版权及责任声明|联系我们
互联网药品信息服务资格证书(京)-经营性-2017-0027
互联网医疗保健信息服务复核同意书 京卫计网审[2015]第0344号




会员登录

