腹腔镜手术治疗胃底胃肠间质瘤一例
对于局限性、可切除的胃肠间质瘤(gastrointestinal stromal tumor,GIST),手术切除是首选的治疗方案,手术需遵循完整切除肿瘤、避免肿瘤破裂并保证切缘组织学阴性等原则。以往胃来源GIST手术方式以开腹手术为主,近年来随着手术技术及器械的进步以及微创理念的推广,腹腔镜手术在GIST,尤其是胃GIST治疗中的应用越来越广泛。
【病例摘要】
患者,男性,64岁,因反复右上腹隐痛不适、胆囊结石伴胆囊炎于当地医院就诊,行胸部CT示:两肺少许条索影,两侧胸腔少许积液;纵隔内及右肺门淋巴结钙化灶;肝内多发囊肿,胆囊结石;左上腹占位灶,建议进一步检查。故行胃镜及腹部增强CT,胃镜示:胃底见一直径4.5cm黏膜下隆起,诊断:胃底黏膜下巨大隆起,GIST可能。增强CT示:胃底部占位灶,大小约5.5cm×5.0cm,考虑GIST可能;肝内多发囊肿,胆囊多发结石,双肾多发囊肿。病程中患者无恶心呕吐、便秘腹泻、呕血黑便等不适。现为进一步治疗,收治入院。
既往史及家族史
既往体健,否认药物过敏史;父母健在,家族中无类似病史。
体格检查
生命体征平稳,皮肤黏膜无黄染、无苍白。腹部平坦,未见胃肠型及蠕动波。腹软,无压痛及反跳痛,未及腹部包块;肠鸣音正常。
辅助检查
胃镜:胃底见一直径4.5cm黏膜下隆起,诊断:胃底黏膜下巨大隆起,GIST?浅表萎缩性胃炎伴糜烂,十二指肠乳头糜烂。病理示黏膜中度慢性活动性炎伴淋巴滤泡形成。
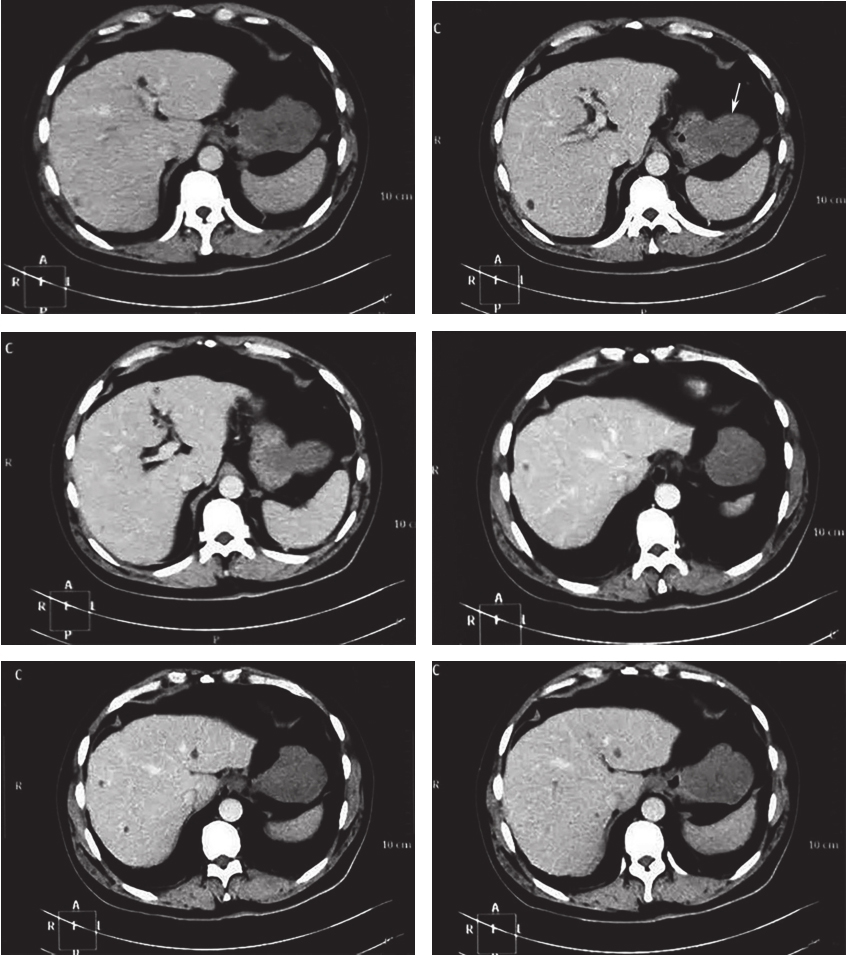
腹部增强CT:胃底部占位灶,考虑GIST?肝内多发囊肿,胆囊多发结石,双肾多发囊肿(图1)。

图1 CT提示胃底部占位灶
初步诊断
1.胃底GIST可能
2.胆囊结石伴胆囊炎
3.肝脏多发囊肿
【治疗过程】
(一)病例分析
患者为老年男性,因诊治胆囊结石意外发现胃底占位就诊。影像学及胃镜提示胃底GIST可能。患者一般情况良好,肿瘤评估可切除,未见转移,应行外科手术治疗。由于肿瘤位于胃底,适合采用腹腔镜操作,可考虑同期行腹腔镜下胆囊切除术,根据病理及基因检测结果指导术后治疗。
(二)治疗方案
患者于2018年10月17日行腹腔镜下胃肿瘤切除术+胆囊切除术,术中见胆囊大小约7cm×5cm×3cm,胆囊壁糙,胆囊内含混合型结石3枚,直径均1cm左右,胆总管不扩张。胃体上部大弯侧直径5cm肿瘤,向胃腔内外突出,起自黏膜下,胃周淋巴结无肿大,术中充分游离胃体上部及胃底后,以切割吻合器完成肿瘤切除(图2),切除后标本及时置入标本袋中,经脐部戳孔延长后取出。

图2 腹腔镜下以腔内直线切割吻合器完成肿瘤切除
(三)术后病理及基因检测
病理诊断:(胃) GIST(5.5cm×5cm×5cm),核分裂象 <5 个 /50HPF(图3)。
免疫组织化学染色:CD117(+)、DOG-1(+)、CD34(+)、SMA(-)、S-100(-)、Ki-67(Li:3%)、SDHB(+)。
基因检测:c-KIT基因第11外显子杂合性突变,559GTT > GAT(杂合性),导致编码的氨基酸由缬氨酸转变为天冬氨酸。c-KIT基因第9、13、17及PDGFRΑ基因第12、18外显子均为野生型。

图3 手术切除标本大体观
【预后】
患者术后3天进食流质饮食,术后5天出院,病理证实为中度复发风险GIST,门诊随访伊马替尼400mg/d辅助治疗中,一般情况良好,无明显副作用。
【经验与体会】
(一)腹腔镜手术治疗GIST的可行性与争议
以往胃GIST的手术方式以开腹手术为主,由于GIST几乎不通过淋巴途径转移,一般保证阴性切缘的局部或楔形切除就已足够,因此近年来从国内外指南共识的更新趋势来看,腹腔镜手术在胃GIST中的应用适应证有逐渐放宽的趋势。然而肿瘤破裂是GIST独立的不良预后因素,一旦肿瘤向腹腔发生破溃,其术后种植复发的风险极高。因此,GIST 肿瘤质脆、容易破溃的特点限制了腹腔镜手术的应用,《胃肠间质瘤规范化外科治疗中国专家共识(2018版)》指出:在选择腹腔镜手术治疗GIST 时,应该严格掌握其适应证且操作应谨慎规范,对于肿瘤较大、操作难度较大或需要行联合脏器切除者,不推荐使用腹腔镜。
(二)腹腔镜手术治疗GIST的基本原则
腹腔镜手术治疗GIST 同样需遵循开腹手术的基本原则。手术中要遵循“非接触、少挤压”的原则,注意避免肿瘤破溃播散,导致腹腔种植或血行转移;必须使用“取物袋”,应避免为追求微创和切口小而分块切取肿瘤取出,影响术后的病理评估。
(三)不同部位胃GIST的腹腔镜手术治疗策略
目前国内外指南共识均指出,腹腔镜技术推荐用于肿瘤直径较小、位于胃适宜解剖部位(如胃前壁、胃大弯)的GIST。但对于肿瘤相对较小、位于困难解剖部位(如胃后壁、胃小弯侧、贲门附近、幽门附近等)的GIST是否也适合开展腹腔镜手术治疗,目前尚无前瞻性临床研究论证。从有限的回顾性研究数据及笔者单位临床实践来看,对部分困难解剖部位的胃GIST开展腹腔镜手术治疗也是安全可行的,但是在手术治疗策略上与适宜解剖部位有一定不同,如对肿瘤大小的限制更严格、肿瘤切除后更适合采用手工缝合而非切割吻合器关闭胃腔、更推荐使用双镜联合技术等。
【专家点评】
曹 晖
教授,主任医师,博士研究生导师
上海交通大学医学院附属仁济医院大外科主任、普外科主任、胃肠外科主任
中华医学会外科学分会胃肠外科学组委员
中华医学会肿瘤学分会胃肠肿瘤学组委员
中国医师协会外科医师分会胃肠道间质瘤诊疗专业委员会主任委员
中国临床肿瘤学会胃肠间质瘤专家委员会副主任委员
中国抗癌协会胃肠间质瘤专业委员会副主任委员
由于GIST极少通过淋巴途径转移,淋巴结清扫并非手术的必需,因此按照GIST的外科治疗原则,行局部切除往往已经足够。以往GIST的手术方式以传统开腹手术为主,近年来随着手术技术及器械(如超声刀、切割吻合器)的快速发展以及微创理念的推广,世界各国的指南中逐步放宽腹腔镜手术运用于GIST治疗的适应证。在目前的临床实践中,腹腔镜技术较多地用于胃GIST(尤其是相对不大的,位于相对适宜部位者)的手术切除及空肠、回肠GIST的定位、判断和游离。
不同大小、不同解剖部位、不同大体生长方式的GIST的腹腔镜治疗策略迥异。如大弯侧、胃底的GIST往往可以利用切割吻合器进行离断切除,而小弯侧、邻近贲门或幽门的GIST则较难使用切割吻合器进行切除,往往需要进行局部胃壁切除后手工缝合,对术者的手术技能要求更高;完全突向腔内生长的小GIST可能需要依靠术中胃镜进行定位甚至以内镜为主的双镜联合技术。
相对于开腹手术,腹腔镜手术有着切口小、视野佳、出血少、疼痛轻等微创优点,但是GIST质地较脆且容易破溃出血,一旦发生破裂将大大增加术后复发转移风险,因此对于直径较大或解剖位置复杂的GIST是否也可采用腹腔镜手术仍存争议。因此,受过严格腹腔镜技术培训的外科医生在注重微创手术的同时也需全面评估手术过程中肿瘤切除的难度以及肿瘤破裂的风险,权衡利弊,选择最佳手术方式以使患者获得最大受益。
【参考文献】
[1] 中国临床肿瘤学会胃肠间质瘤专家委员会. 中国胃肠间质瘤诊断治疗共识 (2017年版) [J] . 肿瘤综合治疗电子杂志, 2018, 4 (1): 31-43.
[2] 中国医师协会外科医师分会胃肠间质瘤诊疗专业委员会, 中华医学会外科学分会胃肠外科学组. 胃肠间质瘤规范化外科治疗中国专家共识 (2018版) [J] . 中国实用外科杂志, 2018, 38 (9): 965-973.
[3] VON MEHREN M, RANDALL R L, BENJAMIN R S, et al. Soft Tissue Sarcoma, Version 2. 2018, NCCN Clinical Practice Guidelines in Oncology. J Natl Compr Canc Netw, 2018, 16 (5): 536-563.
[4] 陶凯雄, 张鹏. 胃肠间质瘤精准诊疗与全程化管理 [M] . 武汉: 湖北科学技术出版社, 2018.
[5] BISCHOF D A, KIM Y, DODSON R, et al. Open versus minimally invasive resection of gastric GIST: a multi-institutional analysis of short-and long-term outcomes [J] . Ann Surg Oncol, 2014, 21 (9): 2941-2948.
[6] HONDA M, HIKI N, NUNOBE S, et al. Long-term and surgical outcomes of laparoscopic surgery for gastric gastrointestinal stromal tumors [J] . Surg Endosc, 2014, 28 (8): 2317-2322.
[7] SHOJI Y, TAKEUCHI H, GOTO O, et al. Optimal minimally invasive surgical procedure for gastric submucosal tumors [J] . Gastric Cancer, 2018, 21 (3): 508-515.
[8] HUANG C M, CHEN Q F, LIN J X, et al. Can laparoscopic surgery be applied in gastric gastrointestinal stromal tumors located in unfavorable sites?A study based on the NCCN guidelines [J] . Medicine (Baltimore) ,2017, 96 (14): 6529-6535.
知识来源
人卫知识数字服务体系
- 评价此内容
- 我要打分
近期推荐
热门关键词
最新会议
- 2013循证医学和实效研究方法学研讨会
- 欧洲心脏病学会年会
- 世界帕金森病和相关疾病2013年会议
- 英国介入放射学学会2013年第25届年会
- 美国血液学会2013年年会
- 美国癫痫学会2013年第67届年会
- 肥胖学会 2013年年会
- 2013年第9届欧洲抗体会议
- 国际精神病学协会 2013年会议
- 妇科肿瘤2013年第18届大会
- 国际创伤压力研究学会2013年第29届…
- 2013年第4届亚太地区骨质疏松症会议
- 皮肤病协会国际2013年会议
- 世界糖尿病2013年大会
- 2013年国际成瘾性药年会
- 彭晓霞---诊断试验的Meta分析
- 武姗姗---累积Meta分析和TSA分析
- 孙凤---Network Meta分析
- 杨智荣---Cochrane综述实战经验分享
- 杨祖耀---疾病频率资料的Meta分析
合作伙伴
Copyright g-medon.com All Rights Reserved 环球医学资讯 未经授权请勿转载!
网络实名:环球医学:京ICP备08004413号-2
关于我们|
我们的服务|版权及责任声明|联系我们
互联网药品信息服务资格证书(京)-经营性-2017-0027
互联网医疗保健信息服务复核同意书 京卫计网审[2015]第0344号




会员登录

