腹腔镜与内镜联合治疗胃肠道间质瘤经验分享
腹腔镜与内镜联合技术(双镜联合技术)(laparoscopic and endoscopic cooperative surgery,LECS)是近年来新兴的微创外科技术。既往在单独应用腹腔镜进行手术时,由于缺乏精细的触觉,故而探查不易发现较小的病灶(瘤体直径小于2cm或2cm左右)。此外,由于腹腔镜器械的限制,探寻时更不易发现胃十二指肠后壁及腔内生长的肿瘤,从而易造成病灶切除的遗漏,并导致中转开腹手术。在这种情况下,术中胃镜对病灶进行定位,对于保障腹腔镜手术的顺利进行显得尤为必要。另外,对于胃镜检查下发现的胃肠道间质瘤(gastrointestinal stromal tumors,GIST)病灶,由于其多起源于固有肌层,单纯在胃镜下处理风险较大,手术时间又较长。腹腔镜的存在可以协助内镜操作,及时发现并处理内镜下切除的并发症,增加手术安全性和效率。可以说,双镜联合技术充分发挥了腹腔镜和内镜各自的优势,取长补短,弥补了单独应用腹腔镜或内镜的不足,进一步拓展了微创外科技术的应用范围。
【病例摘要】
患者,女性,41岁,2018年7月进食油腻食物后出现腹胀,伴恶心,无呕吐、头晕、头痛、乏力、黑蒙。咳少量白色痰,无咯血、胸痛、胸闷等症状。患者平素高盐饮食。遂于当地医院就诊,2018年8月10日胃镜示萎缩性胃炎,胃体局部隆起(黏膜下病变,建议超声内镜检查),胃窦息肉样变。胃黏膜活检病理示胃窦慢性非萎缩性胃炎(急性活动期),HP(+)。外院予抗HP治疗,2周后患者自觉症状缓解。为求进一步治疗,患者前往上海交通大学医学院附属仁济医院就诊。2018年8月20日超声胃镜示胃GIST可能。2018年8月25日胃增强CT示胃体小弯侧占位,倾向于黏膜下来源,考虑GIST可能大;肝脏多发微小囊肿,胆囊腺肌症。扫及两侧胸腔少量积液。患者自起病以来,大便正常,睡眠饮食可,体重1个月内下降2.5kg。
既往史及家族史
既往体健,否认药物过敏史;父母健在,家族中无类似病史。
体格检查
生命体征平稳,皮肤黏膜无黄染、无苍白。腹部平坦,未见胃肠型及蠕动波。腹软,无压痛、反跳痛,无腹部包块,无肌紧张;肠鸣音正常。
辅助检查
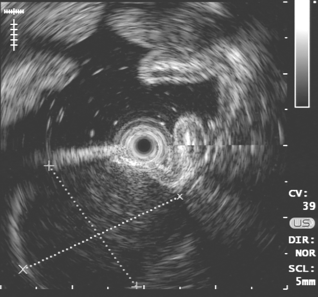
超声胃镜:胃体上段后壁可见一隆起病灶,隆起处为一低回声团块,内回声尚均匀,起源于第四层,向腔内外突出(图1)。
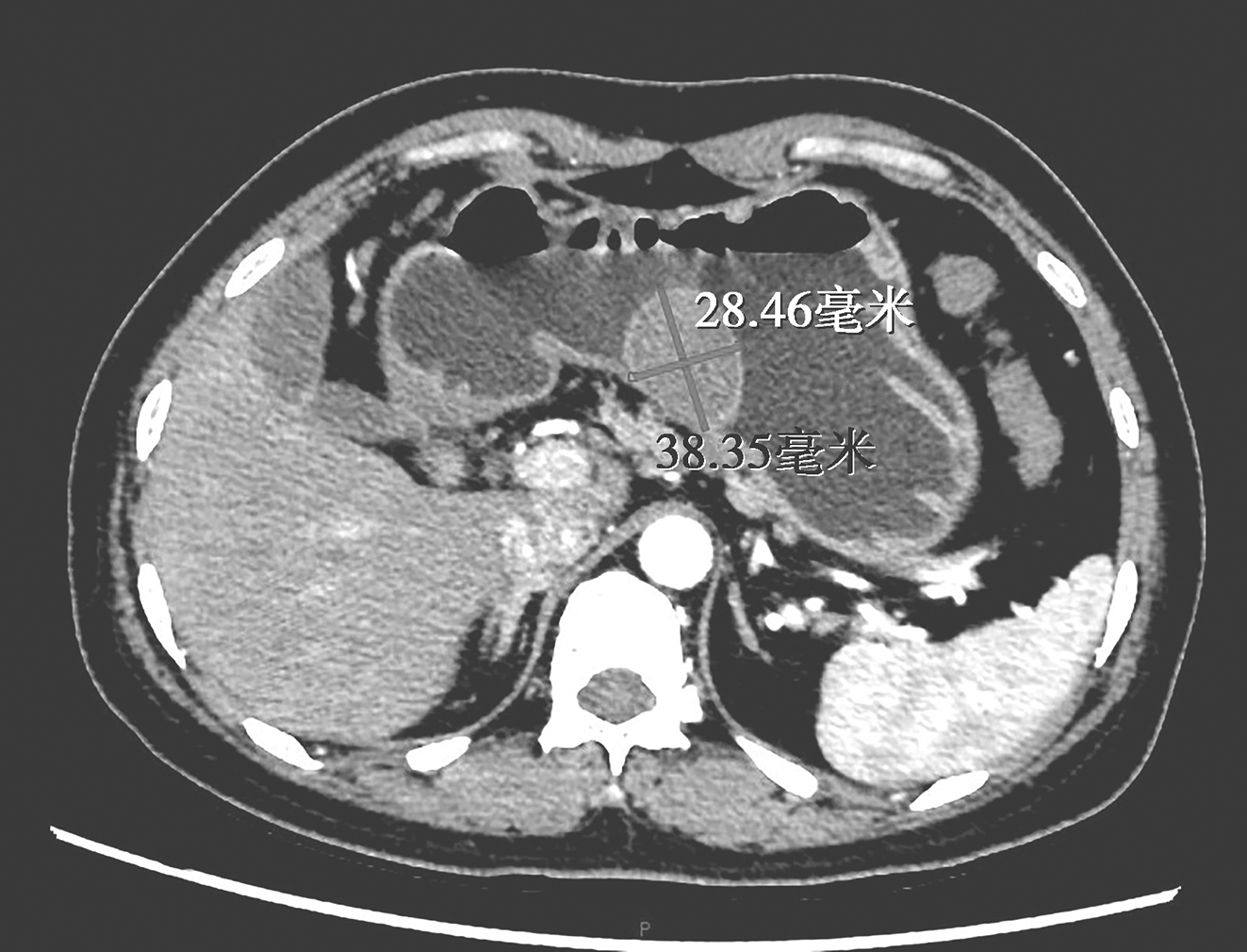
胃增强CT:胃体小弯侧占位,CT表现倾向于黏膜下来源,考虑GIST可能大,建议结合内镜及病理结果。肝脏多发微小囊肿。胆囊腺肌症。扫及两侧胸腔少量积液(图2)。

图1 超声内镜提示胃体隆起灶起源于第四层,向腔内外突出

图2 CT提示胃体小弯侧占位
初步诊断
胃体占位病变,胃GIST可能。
【治疗过程】
(一)病例分析
患者为中年女性,以“进食后腹胀”就诊。影像学及超声胃镜提示胃底小弯GIST可能。患者一般情况良好,肿瘤评估可切除,未见转移,应行外科手术治疗,并根据病理及基因检测结果指导术后治疗。
(二)治疗方案
患者于2018年08月30日接受“腹腔镜+胃镜双镜联合胃肿瘤切除术”,胃肠外科与消化科医师共同上台。术中内镜见胃体小弯侧后壁直径4cm黏膜下肿瘤,腔内生长,未侵犯胃黏膜及浆膜(图3),胃周淋巴结无肿大,小网膜囊内可及直径1cm钙化脂肪结节一枚,肝脏、盆腔、腹膜未及转移灶。经口置入内镜,探查肿瘤,于肿瘤边缘黏膜下注水(图4);内镜指引下,腹腔镜下以超声刀距肿瘤边缘1cm切开胃壁浆膜,沿肿瘤包膜外,全层切开胃壁,完整切除肿瘤(图5);以3-0可吸收线间断全层缝合胃壁缺损;术中胃镜检查胃创面;创面部分黏膜缺损处内镜下以钛夹封闭(图6);肿瘤标本置于标本袋内,经脐部戳孔处取出(图7)。
(三)术后病理及基因检测
病理诊断:GIST(4.0cm×3.0cm×2.5cm),核分裂象<5个/50HPF。脂肪坏死纤维化结节。
免疫组织化学染色:肿瘤细胞CD117(+)、DOG-1(+)、CD34(+)、SDHB(+)、S-100(-)、SOX10(-)、STAT6(-)、Ki-67(Li:1%)、ALK(-)、β-catenin(-)。
基因检测:对c-KIT基因9、11、13、17外显子及PDGFRΑ基因12、18外显子测序分析结果c-KIT基因第11外显子杂合性突变,557密码子杂合性突变,TGG>AGG,其编码的氨基酸由色氨酸改变为精氨酸。c-KIT基因9、13、17及PDGFRΑ基因12、18外显子均为野生型。

图3 术中内镜探查肿瘤

图4 术中内镜下于肿瘤边缘黏膜下注水

图5 术中内镜监视下由外科医师完成腹腔镜下肿瘤切除

图6 钛夹封闭创面效果图

图7 手术切除标本大体观
【预后】
患者于术后3天流质饮食出院,依据改良美国国立卫生研究院(National Institutes of Health,NIH)危险度分级,证实为低复发风险GIST,嘱定期随访,截至2018年12月中旬,电话随访无不适主诉。
【经验与体会】
(一)双镜联合技术治疗GIST的优势
GIST起源于胃壁黏膜肌层或固有肌层,可向腔内或腔外突出。对于GIST,尤其是小的GIST的腹腔镜术前定位始终是困扰临床医师的一个问题,即使术前经过胃镜、内镜超声以及CT的检查,术中仍然很有可能难以发现病灶,特别是腹腔镜手术缺乏触觉反馈,增加了探查难度。而腹腔镜配合胃镜检查在术中定位上的优势十分明显,利用腹腔镜的放大效应、电子胃镜的检查及灯光的内外配合照明,能迅速、准确地对病变进行定位。在GIST的治疗上,无论是内镜治疗还是腹腔镜手术都难免存在一定的局限性。单纯的内镜下治疗的局限性为:①对于体积较大或位于胃底、贲门等部位的胃GIST,内镜治疗难以进行操作。②由于胃GIST大多起源于固有肌层,只有少数起源于黏膜肌层,且血管丰富,内镜下安全而完整切除肿瘤难度较大。另外,内镜治疗通常依靠能量切割完成,但很难找到能量切割的平衡点,易造成能量过大或过小,所以发生并发症如出血、穿孔等风险相对较高,这也是导致中转开腹手术的主要原因。③内镜直视下难以全面判断胃GIST的浸润深度,有切缘阳性的可能。单纯腹腔镜手术的主要局限性为:①由于腹腔镜手术缺乏触觉反馈,对腔内型特别是瘤体较小的胃GIST患者,单独使用该技术时对肿瘤的定位非常困难;②对于接近贲门和幽门处的GIST行腹腔镜切除时可能会造成术后管腔狭窄;③采用腹腔镜下常用的切割吻合器行楔形切除术往往会切除过多的正常胃壁组织,同时偶尔也会有切缘阳性的发生。结合了内镜和腹腔镜优势的双镜联合技术可以有效地避免上述不足。有了术中内镜的支持,不仅可以准确定位,同时还能观察肿瘤切除是否完整并避免切除过多正常组织,及时发现切除缝合后腔内出血、闭合不严密及闭合后管腔狭窄等并发症并第一时间处理;而有了腹腔镜的护航,内镜下切除没有了后顾之忧,甚至可以造成主动穿孔再进行腹腔镜下修补。腹腔镜下观察还能够及时发现内镜下无法发现的热损伤(如组织发白)并及时进行修补或胃壁加固,避免术后延迟穿孔的发生,从而增加了手术的安全性和有效性,提高了患者术后生活质量。
(二)双镜联合技术实施中的注意要点
双镜联合技术作为一项新兴的外科诊疗技术,在实际操作中有一些注意要点:①在肿瘤切除过程中,无论内镜还是腹腔镜,都要尽量避免触碰肿瘤,防止肿瘤破裂、造成腹腔种植转移;②在不影响观察和操作的情况下,尽可能少地向胃腔内注入空气,降低胃壁张力,以降低腹腔镜操作的难度和减少术后腹胀的发生;③胃镜操作时容易使气管插管松动脱落,应密切观察麻醉情况,以防出现意外;④进镜时注意无菌原则,避免污染手术区域;⑤胃镜进镜后应暂时关闭腹腔镜光源,以免影响内镜观察,腹腔镜下根据内镜光源的位置初步定位病变后,用剥离钳轻触对应浆膜面,内镜下观察黏膜面隆起以确保定位准确;⑥双镜联合技术实施时,要根据具体情况决定具体措施,不可因“双镜”而双镜,一般可采取全麻后首先胃镜探查评估病灶后再决定具体切除办法;⑦双镜联合技术的目的是治疗微创化,但是治疗过程中一定要细致进行每一步操作,务必将并发症的发生率降到最低,避免因术中、术后出血、吻合口瘘等并发症而再行手术,这样反而是变微创为巨创,违背了双镜联合技术的初衷。
【专家点评】
随着人民健康意识的提高和内镜检查的普及,越来越多的胃小GIST在体检中被发现,虽然大多数<2cm的胃GIST可以定期随访而无需手术,但是对于≥2cm的胃GIST,合并内镜超声下高危因素的小GIST,以及在随访期间迅速长大的GIST还是需要考虑手术介入。单独内镜下切除技术用于胃小GIST的治疗还存在较大的争议,主要集中在可能存在切除不完全等风险及出血、穿孔等并发症;而单独腹腔镜技术用于胃小GIST的治疗也有一定局限性,尤其是对腔内生长型肿瘤难以准确定位。
腹腔镜和内镜双镜联合技术整合了两种技术的优势,扬长避短,大大提高了腹腔镜或内镜技术的安全性并拓展了适用范围,在小GIST治疗中发挥越来越重要的作用。腹腔镜可以及时发现出血、穿孔的可能并予以缝扎治疗,大大降低了内镜下操作难度。而前者在内镜的辅助下可以准确定位,选择恰当的手术范围,减少手术创伤。
目前,双镜联合技术普及和发展的最主要阻碍还是不同科室间(外科、消化内科、手术室、麻醉科等)的协调配合,相信随着多学科协作诊疗机制的建立完善,双镜联合技术将在小GIST的诊疗中发挥越来越重要的作用。
【参考文献】
[1] HIKI N, YAMAMOTO Y, FUKUNAGA T, et al. Laparoscopic and endoscopic cooperative surgery for gastrointestinal stromal tumor dissection [J] . Surg Endosc, 2008, 22 (7): 1729-1735.
[2] 杨平, 邓建中, 程龙庆, 等. 双镜联合技术在胃间质瘤切除中的应用 [J] . 中华腔镜外科杂志, 2010, 3(2): 178-181.
[3] 汪明, 曹晖. 内镜辅助腹腔镜胃楔形切除治疗胃间质瘤 [J] . 中华消化外科杂志, 2013, 12 (4): 265-268.
[4] 邱伟箐, 汪明, 庄捷, 等. 腹腔镜与胃镜联合技术治疗46例胃胃肠间质瘤 [J] . 中华胃肠外科杂志,2012, 15 (3): 240-242.
[5] 贺思佳, 瞿春莹, 周敏, 等. 双镜联合技术在胃间质瘤治疗中的应用 [J] . 中华消化内镜杂志, 2014,31 (12): 699-702.
知识来源
人卫知识数字服务体系
- 评价此内容
- 我要打分
近期推荐
热门关键词
最新会议
- 2013循证医学和实效研究方法学研讨会
- 欧洲心脏病学会年会
- 世界帕金森病和相关疾病2013年会议
- 英国介入放射学学会2013年第25届年会
- 美国血液学会2013年年会
- 美国癫痫学会2013年第67届年会
- 肥胖学会 2013年年会
- 2013年第9届欧洲抗体会议
- 国际精神病学协会 2013年会议
- 妇科肿瘤2013年第18届大会
- 国际创伤压力研究学会2013年第29届…
- 2013年第4届亚太地区骨质疏松症会议
- 皮肤病协会国际2013年会议
- 世界糖尿病2013年大会
- 2013年国际成瘾性药年会
- 彭晓霞---诊断试验的Meta分析
- 武姗姗---累积Meta分析和TSA分析
- 孙凤---Network Meta分析
- 杨智荣---Cochrane综述实战经验分享
- 杨祖耀---疾病频率资料的Meta分析
合作伙伴
Copyright g-medon.com All Rights Reserved 环球医学资讯 未经授权请勿转载!
网络实名:环球医学:京ICP备08004413号-2
关于我们|
我们的服务|版权及责任声明|联系我们
互联网药品信息服务资格证书(京)-经营性-2017-0027
互联网医疗保健信息服务复核同意书 京卫计网审[2015]第0344号




会员登录

