一例甲状腺乳头状癌右颈部淋巴结转移的诊治
42岁男性,因发现甲状腺肿物1个月余入院。术前结合病史和辅助检查,确诊为甲状腺癌右颈淋巴结转移,如何处理?
(一)病例简介
患者男性,42岁。因发现甲状腺肿物1个月余于2017年2月22日收住院。1个月前患者体检发现甲状腺肿物,无声嘶、吞咽不适、呛咳、憋气等症状。为行进一步诊治就诊于本院,超声检查:甲状腺右叶上极外侧实性病变,恶性;右颈Ⅲ、Ⅳ、Ⅴ、Ⅵ区多发淋巴结肿大,符合转移瘤;颈胸部增强CT检查:①甲状腺右叶上极实性小结节,需警惕恶性,请结合超声及穿刺活检,②右侧颈深链、锁骨上多发淋巴结转移;甲状腺肿物穿刺,细胞学检查为乳头状癌。为进一步治疗收入我科。发病以来,精神尚可,大小便基本正常,体重无明显变化。
既往史:否认结核、肝炎等传染病史。高血压3年,目前口服厄贝沙坦治疗,血压控制尚可;否认心脏病及糖尿病病史。否认药物过敏史;否认家族肿瘤遗传病史。
(二)影像学检查
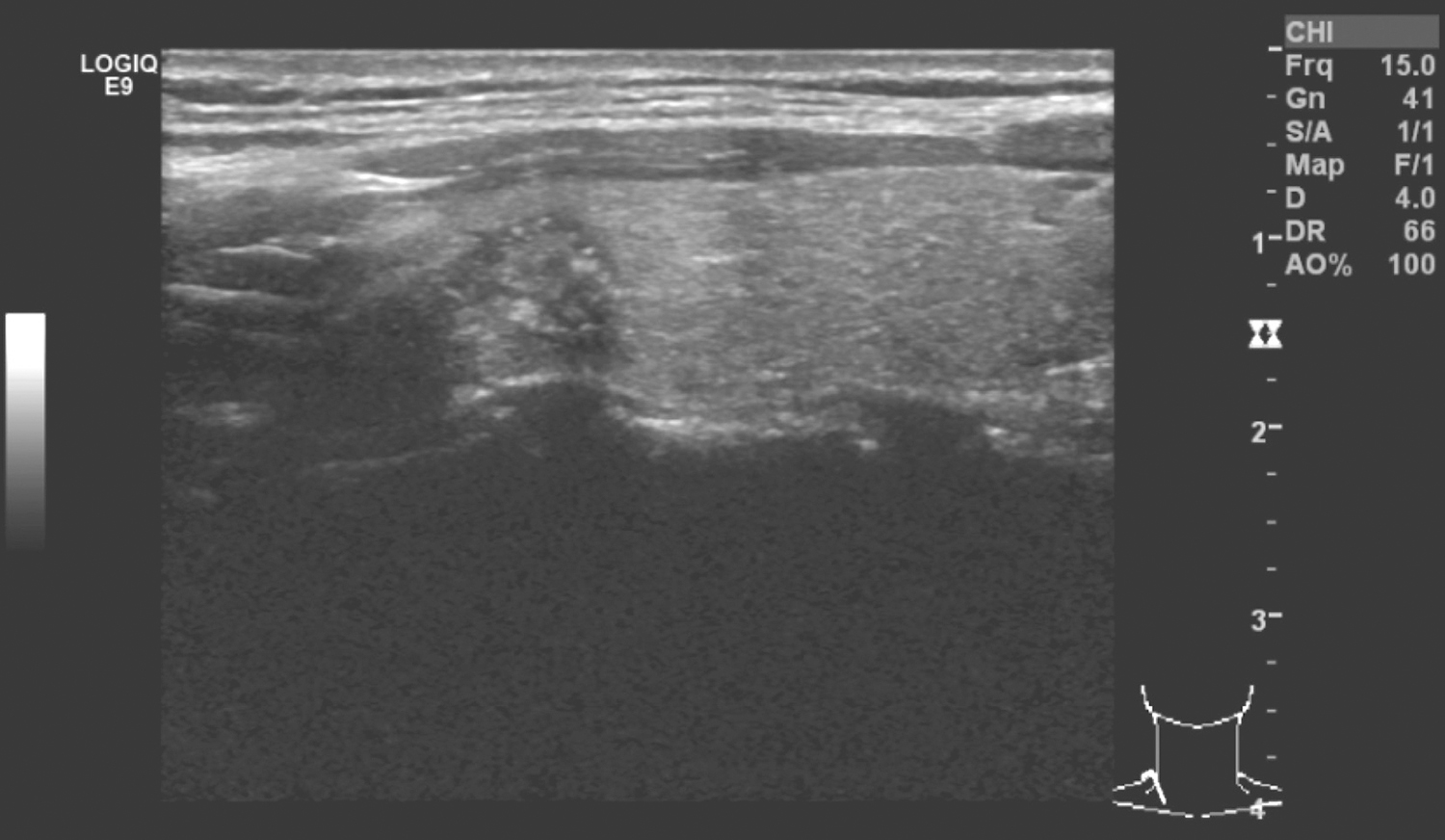
1.2017年2月16日颈部超声
甲状腺右叶上极外侧见低回声结节,约0.7cm×1.0cm,边界不清,内回声不均匀(图1);余腺体未见明确结节及肿物。右颈Ⅲ~Ⅵ区见多发低回声病变,较大者位于4区,约1.3cm×2.9cm,边界不清,内见无回声区。余颈部未见明确可疑肿大淋巴结。

图1 颈部超声示甲状腺右叶上极外侧见低回声结节
超声诊断:
(1)甲状腺右叶上极外侧实性病变,恶性。
(2)右颈Ⅲ~Ⅵ区多发淋巴结肿大,符合转移瘤。
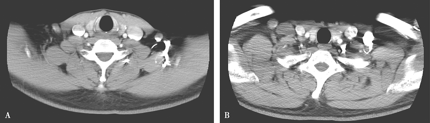
2.2017年2月17日颈胸部CT
甲状腺右叶上极可见实性小结节,大小约0.8cm×0.6cm,强化较明显、不均,边界欠清楚(图2A);余甲状腺未见明确异常。右侧颈深链、锁骨上可见多发肿大淋巴结,大者短径约1.6cm,部分强化较明显(图2B);左颈部、锁骨上未见明确肿大淋巴结。

图2 颈部增强CT
A.甲状腺右叶上极实性小结节;B.右侧颈深链、锁骨上多发肿大淋巴结
影像学诊断:
(1)甲状腺右叶上极实性小结节,需警惕恶性,请结合超声及穿刺活检诊断。
(2)右侧颈深链、锁骨上多发淋巴结转移。
3.2017年2月22日超声引导下穿刺细胞学
甲状腺肿物穿刺,细胞学检查为乳头状癌。
(三)入院诊断
甲状腺乳头状癌 右颈淋巴结转移
(四)治疗经过
2017年2月24日全身麻醉下行全甲状腺切除,右颈淋巴结清扫(Ⅱ~Ⅵ区)。
手术过程:全麻成功后,常规消毒铺巾,颈前领式切口,颈阔肌下翻皮瓣,游离右胸锁乳突肌中下段,解剖颈鞘,清除Ⅲ、Ⅳ区淋巴脂肪组织,选取Ⅲ区肿大淋巴结1枚送冷冻;切开颈白线,游离甲状腺,探查见甲状腺右叶上极结节,直径约1.5cm,质硬;游离甲状腺左叶,解剖左喉返神经,切除甲状腺左叶送冰冻病理检查,而后解剖右侧喉返神经,将右叶及峡部切除,随后清扫右气管食管沟淋巴脂肪组织;冰冻病理检查报告:右颈Ⅲ区淋巴结转移性甲状腺乳头状癌,左叶甲状腺结节性甲状腺肿;即向右沿皮纹延长颈部切口至斜方肌前缘,游离胸锁乳突肌上段,解剖颈鞘和副神经,予以保护,分别清扫Ⅱ和Ⅴ区的淋巴脂肪组织;彻底止血,冲洗术野,放置负压引流,逐层关闭术腔。患者清醒后拔除气管插管,安返病房。
(五)术后处理
1.密切监测生命体征。
2.注意观察伤口及引流情况;引流量每日少于10ml可拔除引流管。
3.静脉补钙以预防暂时性甲状旁腺功能低下引起的低钙血症。
4.术后口服左甲状腺素内分泌替代和抑制治疗。
5.2017年2月25日实验室检查(术后第1天) 甲状旁腺素(PTH)5.82pg/ml,血钙2.22mmol/L,甲状腺球蛋白(TG)24.61ng/ml。
(六)术后病理
(甲状腺右叶及峡部)甲状腺乳头状癌,经典型,肿瘤大小1.1cm×0.8cm×0.6cm,累及甲状腺被膜外脂肪组织,未见明确脉管瘤栓及神经侵犯,周围甲状腺呈结节性甲状腺肿。
(甲状腺左叶)冷冻剩余组织中见甲状腺微小乳头状癌,经典型,直径1.5mm,未累及甲状腺被膜外,未见明确脉管瘤栓及神经侵犯,周围甲状腺呈结节性甲状腺肿。
淋巴结转移性癌(8/65),部分累及淋巴结被膜外。
(1)(右颈Ⅲ区淋巴结)冰1/1
(2)(右颈ⅡA区淋巴结)0/10
(3)(右颈ⅡB区淋巴结)0/2
(4)(右颈Ⅲ区淋巴结清扫)1/12
(5)(右颈Ⅳ区淋巴结清扫)2/7
(6)(右颈Ⅴ区淋巴结清扫)1/27
(7)(右气管食管沟淋巴结清扫)3/8
pTNM分期:pT3(m)N1b
(七)术后随诊
1.2017年3月31日实验室检查
甲状旁腺素(PTH)37.19pg/ml,促甲状腺素(TSH)2.68μIU/ml,甲状腺球蛋白(TG)0.07ng/ml。
2.2017年6月22日实验室检查
甲状旁腺素(PTH)44.85pg/ml,促甲状腺素(TSH)0.03μIU/ml,甲状腺球蛋白(TG)0.07ng/ml。
3.2017年8月23日实验室检查
甲状旁腺素(PTH)37.48pg/ml,促甲状腺素(TSH)<0.01μIU/ml,甲状腺球蛋白(TG)0.06ng/ml。
4.2017年11月2日实验室检查
甲状旁腺素(PTH)27.86pg/ml,促甲状腺素(TSH)0.12μIU/ml,甲状腺球蛋白(TG)0.11ng/ml。
(八)专家点评
患者术前结合病史和辅助检查,确诊为甲状腺癌右颈淋巴结转移,故拟行甲状腺全切除,右颈淋巴结清扫。由于术前右颈淋巴结未行穿刺细胞学检查,故术中先行颈部Ⅲ、Ⅳ区淋巴结清扫,切取明显转移的肿大淋巴结,术中冰冻病理检查,这样可避免过度手术;这样在等待冰冻病理检查结果的时候,开始行甲状腺手术,可以节省手术等候时间;在甲状腺手术时,由于术前右叶结节穿刺细胞学已证实,故先做左叶甲状腺切除,送冰冻病理检查,而后再行右叶及峡部切除,右颈部Ⅵ区淋巴脂肪组织清扫,这时冰冻病理检查结果回报:右颈部Ⅲ区淋巴结转移性甲状腺乳头状癌,左叶甲状腺结节性甲状腺肿,结合术前影像检查,即向右沿皮纹延长颈部切口至斜方肌前缘,完成右侧颈部Ⅱ区和Ⅴ区的淋巴脂肪组织清扫;左侧颈部Ⅵ区淋巴结因左叶甲状腺冰冻病理检查结果为结节性甲状腺肿而予以观察;这样安排手术顺序,既避免浪费手术时间,也不违背肿瘤外科治疗原则。由于右颈转移的淋巴结较小,且无明显的外侵,故保留胸锁乳突肌、副神经和颈内静脉,这样改善了右颈和右肩的运动功能,减轻了右面部的水肿,改善了患者的生活质量。
术后病理报告甲状腺右叶及峡部为甲状腺乳头状癌,经典型,肿瘤大小1.1cm×0.8cm×0.6cm,累及甲状腺被膜外脂肪组织,未见明确脉管瘤栓及神经侵犯,周围甲状腺呈结节性甲状腺肿;甲状腺左叶冷冻剩余组织中见甲状腺微小乳头状癌,经典型,直径1.5mm,未累及甲状腺被膜外,未见明确脉管瘤栓及神经侵犯,周围甲状腺呈结节性甲状腺肿;淋巴结转移性癌(8/65),部分累及淋巴结被膜外。目前对微小甲状腺癌中央区淋巴结的处理,仍未达到共识。2012年中国版《甲状腺结节和分化型甲状腺癌诊治指南》建议分化型甲状腺癌术中在有效保留甲状旁腺和喉返神经情况下,行病灶同侧中央区淋巴结清扫术;2015年ATA成人甲状腺结节和分化型甲状腺癌的管理指南对肿瘤较小(T1或T2)、无外侵和临床淋巴结阴性的甲状腺乳头状癌不推荐预防性中央区淋巴结清扫;NCCN指南在过去对cN0患者均建议预防性中央区淋巴结清扫,而NCCN指南2018.V1不推荐预防性中央区淋巴结清扫。因此,该例患者尽管术后病理报告甲状腺左叶冷冻剩余组织中见甲状腺微小乳头状癌,且直径1.5mm,未累及甲状腺被膜外,结合术前检查和术中探查,左气管食管沟均未发现肿大淋巴结,建议患者对左气管食管沟随诊观察,不主张二次手术。目前对甲状腺癌术后131I清甲治疗(外科手术切除原发灶之后的残余甲状腺组织的清除或去除治疗)的适应证尚存争议,主要问题集中于低危患者是否从中获益,结合ATA的推荐、国内的实际情况和临床经验,建议对分化型甲状腺癌术后患者进行实时评估,根据TNM分期,选择性实施131I清甲治疗。2012年中国版《甲状腺结节和分化型甲状腺癌诊治指南》推荐除所有癌灶均<1cm且无腺外浸润、无淋巴结和远处转移的分化型甲状腺癌外,均可考虑131I清甲治疗。该患者术前穿刺细胞诊断甲状腺乳头状癌,且影像学诊断颈部淋巴结转移,故拟行甲状腺全切除,以便术后清甲治疗;术后病理证实为甲状腺右叶及峡部甲状腺乳头状癌,且累及甲状腺被膜外脂肪组织,颈部淋巴结转移,部分累及淋巴结被膜外。因此,建议患者就诊核医学科进行综合评估,决定清甲治疗,以降低复发和转移的概率。
甲状腺全切除术后,由于甲状旁腺受到一定程度的损伤,常常出现甲状旁腺功能障碍,导致低钙血症,Filho等(2004)报道甲状腺术后低钙血症的发生率为4%~42%,而永久性低钙为0~8%。因此,术后常规给予静脉补钙,一般每日10%葡萄糖酸钙40ml,以预防甲状腺全切除后甲状旁腺功能暂时性低下导致的低钙血症,有利于甲状旁腺功能的恢复,避免患者及家属因低钙引起恐惧和紧张心理,必要时可以追加口服钙剂,出院后口服钙剂,以维持血钙水平,避免发生低钙血症。该患者术后第1天PTH 5.82pg/ml,血钙2.22mmol/L,术后1个月后PTH恢复正常。甲状腺全切除术为避免术后发生甲状旁腺功能低下,除原位保留甲状旁腺外,术中保护甲状旁腺的血供是非常重要的,文献(Park I et al,2016)报道可以明显降低甲状旁腺功能降低的发生率。
术后第5天口服左甲状腺素150μg/d,以补充体内所需要的甲状腺素和抑制肿瘤的复发和转移;依据2012年中国版《甲状腺结节和分化型甲状腺癌诊治指南》,对该患者复发风险分层和TSH抑制治疗不良反应风险进行综合评估,指南推荐促甲状腺素应控制在0.1μIU/ml以下。该患者术后1个月复查TSH为2.68μIU/ml,因此,建议患者左甲状腺素每天加25μg,1个月后复查甲状腺功能,直至TSH在0.1μIU/ml以下。但TG的化验结果很好,仅仅为0.07ng/ml,一般说明体内无甲状腺组织残存或肿瘤残留;甲状腺全切除的患者,TG水平是预测甲状腺癌术后复发和转移的特异性肿瘤标记物,对临床有较高的参考价值。
知识来源
人卫知识数字服务体系
- 评价此内容
- 我要打分
近期推荐
热门关键词
最新会议
- 2013循证医学和实效研究方法学研讨会
- 欧洲心脏病学会年会
- 世界帕金森病和相关疾病2013年会议
- 英国介入放射学学会2013年第25届年会
- 美国血液学会2013年年会
- 美国癫痫学会2013年第67届年会
- 肥胖学会 2013年年会
- 2013年第9届欧洲抗体会议
- 国际精神病学协会 2013年会议
- 妇科肿瘤2013年第18届大会
- 国际创伤压力研究学会2013年第29届…
- 2013年第4届亚太地区骨质疏松症会议
- 皮肤病协会国际2013年会议
- 世界糖尿病2013年大会
- 2013年国际成瘾性药年会
- 彭晓霞---诊断试验的Meta分析
- 武姗姗---累积Meta分析和TSA分析
- 孙凤---Network Meta分析
- 杨智荣---Cochrane综述实战经验分享
- 杨祖耀---疾病频率资料的Meta分析
合作伙伴
Copyright g-medon.com All Rights Reserved 环球医学资讯 未经授权请勿转载!
网络实名:环球医学:京ICP备08004413号-2
关于我们|
我们的服务|版权及责任声明|联系我们
互联网药品信息服务资格证书(京)-经营性-2017-0027
互联网医疗保健信息服务复核同意书 京卫计网审[2015]第0344号




会员登录

