声门型喉癌(T2N0M0)垂直部分喉切除一例
62岁男性,吸烟40余年,饮酒20余年,无明显诱因出现声音嘶哑,对症治疗后效果不佳,如何处理?
【病例简介】
患者男性,62岁。因声音嘶哑4月余于2015年6月15日收入头颈外科。4个月前患者无明显诱因出现声音嘶哑,在外院对症治疗,效果不佳,近期外院鼻咽喉镜检查显示左声带肿物,活检病理为“鳞状细胞癌”,为进一步诊治来本院。门诊电子鼻咽喉镜提示声门型喉癌;颈部CT提示喉癌可能大,请结合镜检;患者无吞咽不适、呛咳、憋气、耳痛等症状;活检病理(声带肿物)示乳头状增生的鳞状上皮黏膜,伴中度不典型性,考虑癌变;为进一步治疗收入院。
发病以来,精神尚可,食欲尚可,大小便基本正常,体重无明显变化。
既往史:
否认家族肿瘤遗传病史;吸烟40余年,20支/天;饮酒20余年,4两/天(1两=50g)。
【影像学及特殊检查】
1.2015年6月11日电子鼻咽喉镜检查
鼻腔进镜顺利。鼻咽部结构完整,黏膜光滑,未见明显异常。口咽双侧扁桃体未见肿大。舌根部淋巴滤泡增生明显。下咽部表面光滑,双侧梨状窝对称,未见明显异常。喉部会厌及双侧披裂结构正常,黏膜光滑。声门区左侧声带可见粗糙不平肿物生长,左侧声带明显增厚,累及全长,向前侵及前联合,向后达声带突,向左侧喉室内生长,左侧室带前端受累及(图1)。右侧声带萎缩,表面黏膜充血,未见明显侵及。双侧声带活动未见受限。声门下未见侵及。

图1 喉镜示左侧声带肿物
内镜诊断:
声门型喉癌,已有病理。
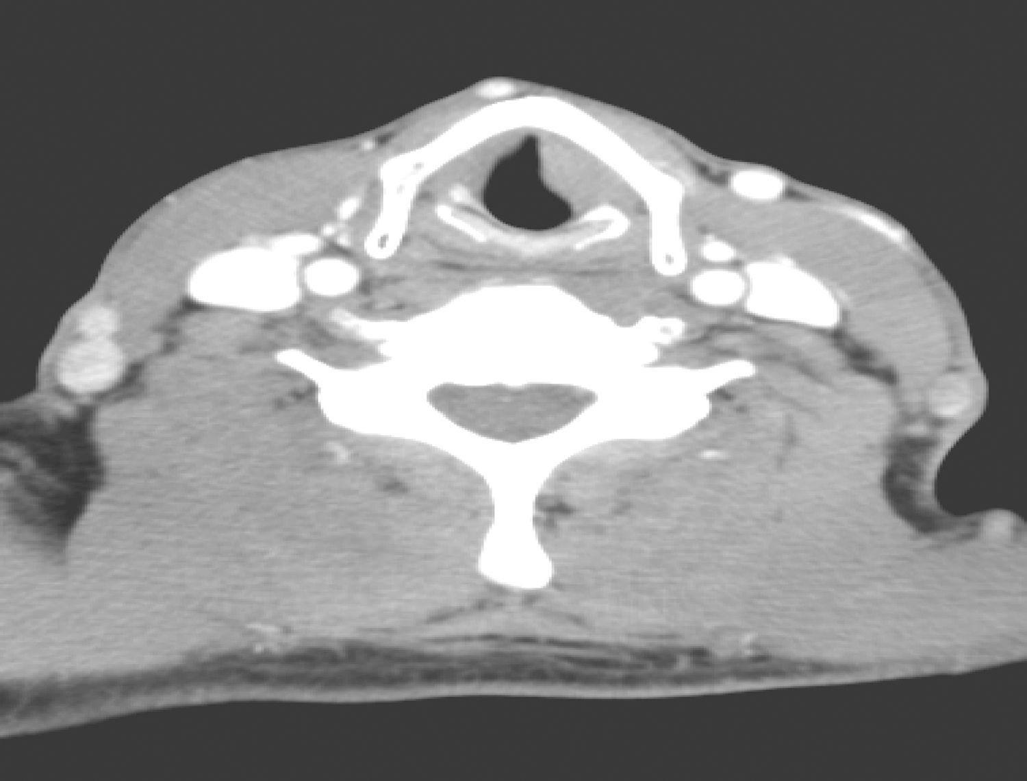
2.2015年6月12日颈胸部CT
(1)声门区左侧声带明显增厚,最厚处约0.8cm(图2),强化较明显,病变可疑侵及前联合。

图2 颈部增强CT示左侧声带明显增厚
(2)甲状腺多发低密度结节,大者约1.3cm×1.1cm,边界清楚;右侧上颌窦轻度炎症,鼻咽、口咽、下咽未见明确异常。
(3)双侧颌下、颈深链多发小淋巴结,大者短径约0.8cm。
(4)左肺上叶、右肺中上叶散在多发条索影,双肺尖胸膜增厚,余肺未见明确结节及实变。
(5)纵隔、双肺门未见明确肿大淋巴结。
(6)双侧胸腔、心包未见积液。
影像学诊断:
(1)喉癌可能性大,请结合镜检。
(2)甲状腺多发低密度结节,请结合超声检查。
(3)右侧上颌窦轻度炎症。
(4)双侧颌下、颈深链多发小淋巴结,建议随诊。
(5)左肺上叶、右肺中上叶多发条索影,双肺尖胸膜增厚,建议随诊。
3.2015年6月8日活检病理(声带肿物)
乳头状增生的鳞状上皮黏膜,伴中度不典型性,考虑癌变。
【入院诊断】
喉癌(声门型T2N0M0)。
高血压?
【治疗经过】
2015年6月17日在全身麻醉下,做气管切开、左垂直部分喉切除术。
经口腔插管给予全麻后常规消毒铺巾,先做气管切开术,更换麻醉管,麻醉满意后颈前甲状软骨上缘水平切开皮肤、皮下及部分颈阔肌,颈阔肌下翻皮瓣,上至舌骨水平,下至环甲膜水平,避免与气管切开切口相通。切开颈白线及甲状软骨外软骨膜,清除环甲膜前的淋巴脂肪组织,剥离双侧的甲状软骨外软骨膜,正中偏右剪开甲状软骨板,切开环甲膜、右侧喉前端及会厌根,探查喉腔,见肿瘤局限于左侧声带前2/3,累及喉室及声门下0.3cm左右,前联合右声带未见明确受累。距肿瘤约0.5cm左右切开声门下、声带突及室带上缘,将左半喉软组织连同肿瘤一并切除,切取周围切缘,冰冻病理检查均未见癌细胞后,松解左半喉残留黏膜及梨状窝黏膜,与声门下黏膜直接拉拢缝合,修复术后创面;创面彻底止血后,冲洗术区,关闭喉腔。放置引流管,逐层关闭术腔。患者清醒后拔除麻醉插管,置入气管套管,安返病房。
【术后处理】
1.监测生命体征。
2.注意伤口及引流情况。
3.对症及支持治疗。
4.保持气管套管通畅。
【术后病理】
左垂直喉:
喉声门型高-中分化鳞状细胞癌,周围黏膜上皮呈重度不典型增生/原位癌改变,未见脉管瘤栓。肿瘤位于左声带,累及左室带及横纹肌组织。上切缘、右侧声带前端、下切缘及后切缘冰冻病理切片均未见癌。
喉前组织:
少许甲状腺及横纹肌组织。
pTNM分期:
pT2。
【术后随诊】
1.2015年9月22日电子鼻咽喉镜检查
“喉癌术后3个月”,鼻腔进镜顺利。鼻咽部结构完整,黏膜光滑,未见明显异常。口咽双侧扁桃体未见肿大。舌根部淋巴滤泡增生明显。下咽部表面光滑,未见明显异常。喉部会厌及双侧披裂结构完整,声门区呈术后改变,双侧声带基本切除,原前联合位置可见肉芽结节(图3)。声门裂开放尚好。左右半喉活动未见明显受限。

图3 2015年9月22日复查喉镜示双侧声带基本切除,原前联合位置见肉芽结节
内镜诊断:
喉癌术后,声门区呈术后改变,双侧声带基本切除,声门区可见肉芽结节,未见肿瘤征象。
2.2016年2月19日颈胸部CT
“喉癌术后”复查,参阅2015年6月12日术前颈胸部CT图像,所见如下:
(1)喉部呈术后改变,术区结构紊乱,未见明确软组织增厚及异常强化,声门区右侧声带略肿胀、增厚,请结合临床及镜检。
(2)甲状腺多发低密度结节,大者约1.4cm×1.2cm,边界清楚,请结合超声检查;双侧鼻旁窦、鼻咽、口咽未见明确异常。
(3)双侧颌下、颈深链多发小淋巴结,大者短径约0.8cm,同前大致相仿。
(4)左肺上叶、右肺中上叶散在多发条索影,双肺尖胸膜增厚,双肺胸膜下多发小类结节,同前大致相仿,余肺未见明确结节及实变。
(5)纵隔、双肺门未见明确肿大淋巴结。
(6)双侧胸腔、心包未见积液。
3.2016年2月22日电子鼻咽喉镜
“喉癌术后半年余”,鼻腔进镜顺利。鼻咽部结构完整,黏膜光滑,未见明显异常。口咽双侧扁桃体未见肿大。舌根部淋巴滤泡增生明显。下咽部表面基本平整,未见明显异常。喉部声门上结构基本完整,双侧披裂保留,黏膜充血。声门区左侧声带切除,声门区肉芽组织消退,声门区未见明确肿瘤征象(图4)。左半喉基本固定,右半喉活动尚可。

图4 2016年2月22日复查喉镜示声门区肉芽组织消退
内镜诊断:
喉癌术后,左侧声带切除,残喉黏膜充血,未见明显肿瘤复发征象。
4.2016年2月23日颈部超声
甲状腺可见多发结节,右叶大者约1.0cm×0.4cm,左叶大者约2.5cm×1.2cm,呈囊实性,边界清楚。
超声诊断:
甲状腺多发结节,考虑良性。
5.2016年8月25日电子鼻咽喉镜检查
“喉癌术后1年余”,鼻腔进镜顺利。鼻咽部结构完整,黏膜光滑,未见明显异常。口咽双侧扁桃体未见肿大。舌根部淋巴滤泡增生明显。下咽部表面基本平整,未见明显异常。喉部声门上结构基本完整,双侧披裂保留,略显水肿。声门区左侧声带切除,局部基本平整,声门区未见明显肿瘤征象。左半喉基本固定,右半喉活动尚可(图5)。

图5 2016年8月25日复查喉镜示声门区未见明显肿瘤征象
内镜诊断:
喉癌术后,左侧声带切除,残喉未见明显肿瘤复发征象。
6.2016年8月25日颈胸部CT
“喉癌术后1年”复查,与2016年2月19日CT比较:
(1)声门区左声带明确增厚,最厚处约0.8cm,同前相仿,请结合临床考虑。
(2)甲状腺多发低密度结节,大者约1.3cm×1.1cm,边界清楚;右上颌窦轻度炎症,鼻咽、口咽、下咽未见明确异常。
(3)双侧颌下、颈深链多发小淋巴结,大者短径约0.8cm,同前,建议继续随诊。
(4)左肺上叶、右肺中上叶散在多发条索影,双肺尖胸膜增厚,余肺未见明确结节及实变。
(5)纵隔、双肺门未见明确肿大淋巴结。
(6)双侧胸腔、心包未见积液。
7.2017年4月19日颈胸部CT
“喉癌术后”复查,与2016年8月26日颈胸部CT图像比较:
(1)喉部呈术后改变,术区结构紊乱,未见明确软组织增厚及异常强化,声门区右侧声带略肿胀、增厚,请结合临床及镜检。
(2)甲状腺多发低密度结节,大者约1.6cm×1.6cm,边界清楚,请结合超声检查;右上颌窦轻度炎症较前吸收,鼻咽、口咽、下咽未见明确异常。
(3)双侧颌下、颈深链多发小淋巴结,大者短径约0.6cm,大致同前,建议随诊。
(4)左肺上叶、右肺中上叶散在多发条索影,双肺尖胸膜增厚,余肺未见明确结节及实变。
(5)纵隔、双肺门未见明确肿大淋巴结。
(6)双侧胸腔、心包未见积液。
8.2017年4月21日颈部超声
甲状腺两叶见多发混合回声,大者位于左叶,约3.0cm×1.5cm,边界清楚,周边探及短条状血流信号。余腺体回声不均。
超声诊断:
甲状腺多发囊实性结节,倾向良性,建议随诊。
9.2017年4月21日电子鼻咽喉镜
“喉癌术后2年”,鼻腔进镜顺利。鼻咽部结构完整,黏膜光滑,未见明显异常。口咽双侧扁桃体未见肿大。舌根部淋巴滤泡略增生。下咽部表面基本平整,未见明显异常。喉部声门上结构基本完整,双侧披裂保留,略显水肿。声门区左侧声带切除,局部基本平整,声门区未见明显肿瘤征象。左半喉活动度小,右半喉活动尚可(图6)。

图6 2017年4月21日复查喉镜
内镜诊断:
喉癌术后,声门区呈术后改变,残喉同前相仿,未见肿瘤复发征象。
10.2018年1月19日电子内镜和颈胸CT
喉癌术后改变,残喉、双颈及双肺未见肿瘤复发和转移。
【专家点评】
原因不明的声音嘶哑,对症治疗1周后,症状无明显缓解,应给予内镜检查和影像检查,以便早期明确声音嘶哑的原因。喉癌的诊断主要依据内镜和影像学检查,临床分期依据AJCC肿瘤分期第8版,该患者为声门型喉癌T2N0M0。声门型喉癌NCCN指南2018年第1版,对声门型T1~T2或选择性T3病变患者,推荐传统开放性或内镜下喉功能保留的部分喉切除,如果颈部淋巴结出现转移,可行颈部淋巴结清扫。术后病理如无不良因素,给予随诊;术后病理如果出现转移淋巴结被膜外侵犯、切缘不净、pT3或pT4、N2或N3、周围神经侵犯和脉管瘤栓形成等不良因素,能获得安全切缘者,应给予再次手术,否则,应给予化疗和放射治疗。垂直部分喉切除是声门型喉癌T2病变的主要手术方式,适用于以下类型的声门型喉癌:①单侧T2;②单侧T3,肿瘤较小且表浅者;③拒绝放疗的T1或T2;④放疗后复发的T1或T2;⑤对放疗不敏感的T1或T2肿瘤(譬如疣状癌、腺癌)。其切除范围是将患侧声带(包括声带突)、喉室、室带连同患侧甲状软骨板整块切除。
垂直部分喉切除术中应注意两点,一是肿瘤切除应彻底,不应过度强调喉功能保留而导致术后病理切缘阳性,术中切除范围至少距肿瘤5mm以上;二是避免过度修复导致术后长期带管呼吸,过去由于缺乏修复的经验,尤其采用带状肌瓣修复时,喉腔臃肿、狭窄,堵管后呼吸困难,患者不得不长期依赖带管呼吸。该患者术前CT显示肿瘤表浅,未侵及甲状软骨内骨膜,所以采用了保留甲状软骨板的垂直部分喉切除,并非真正的垂直部分喉切除,目的是保留喉支架,改善患者的发声功能,通过游离患侧残留的喉黏膜和下咽黏膜,创面直接拉拢缝合,避免喉腔臃肿带来的喉腔狭窄,这样术后很快可以拔除气管套管。垂直部分喉切除术后一般均应拔除气管套管,恢复正常的鼻腔呼吸;垂直部分喉切除术由于会厌结构未发生移位,术后不存在进食呛咳的问题。该患者术后1周经口进食,术后第8天气管套管连续堵管,术后第10天即拔除气管套管,术后3个月内镜检查,喉腔术后改变,无明显狭窄。
部分喉切除后,由于术腔在修复过程中难以完全黏膜覆盖,常常导致部分创面暴露,导致术后肉芽形成。较小的肉芽不予处理,可以慢慢吸收;较大的肉芽可以内镜下切除,必要时送检,排除肿瘤复发。该患者术后3个月时内镜发现前联合处肉芽形成,未予处理,待术后半年时内镜检查喉腔内光滑,肉芽消失。因此,垂直部分喉切除后喉腔内肉芽形成时常发生,应给予正确处理,避免过度治疗。
声门型喉癌早期很少发生颈淋巴结转移,中华耳鼻咽喉头颈外科杂志编委会头颈外科组和中华医学会耳鼻咽喉头颈外科学分会头颈组于2014年共同制定了喉癌外科治疗和综合治疗专家共识,“共识”主张声门型cT2N0病变的颈部予以观察,术后无危险因素出现,无须其他辅助治疗,该例患者颈部未行淋巴结清扫,且术后病理无不良因素出现。符合“共识”的要求。因此,对喉癌治疗,结合内镜和影像学检查,考虑到患者因素和术者的临床经验,制订合理的个体化治疗方案,从而获得较理想的生活质量和肿瘤的有效控制。
知识来源
人卫知识数字服务体系
- 评价此内容
- 我要打分
近期推荐
热门关键词
最新会议
- 2013循证医学和实效研究方法学研讨会
- 欧洲心脏病学会年会
- 世界帕金森病和相关疾病2013年会议
- 英国介入放射学学会2013年第25届年会
- 美国血液学会2013年年会
- 美国癫痫学会2013年第67届年会
- 肥胖学会 2013年年会
- 2013年第9届欧洲抗体会议
- 国际精神病学协会 2013年会议
- 妇科肿瘤2013年第18届大会
- 国际创伤压力研究学会2013年第29届…
- 2013年第4届亚太地区骨质疏松症会议
- 皮肤病协会国际2013年会议
- 世界糖尿病2013年大会
- 2013年国际成瘾性药年会
- 彭晓霞---诊断试验的Meta分析
- 武姗姗---累积Meta分析和TSA分析
- 孙凤---Network Meta分析
- 杨智荣---Cochrane综述实战经验分享
- 杨祖耀---疾病频率资料的Meta分析
合作伙伴
Copyright g-medon.com All Rights Reserved 环球医学资讯 未经授权请勿转载!
网络实名:环球医学:京ICP备08004413号-2
关于我们|
我们的服务|版权及责任声明|联系我们
互联网药品信息服务资格证书(京)-经营性-2017-0027
互联网医疗保健信息服务复核同意书 京卫计网审[2015]第0344号




会员登录

