声门型喉癌(T3N0M0)左扩大垂直部分喉切除一例
60岁男性,因声音嘶哑半年入院。门诊电子鼻咽喉镜提示左侧声带可见肿物,如何诊治?
【病例简介】
患者男性,60岁。因声音嘶哑半年于2017年2月20日收住院。半年前患者无明显诱因出现声音嘶哑,在当地医院对症治疗,近期声音嘶哑加重,外院喉镜检查发现左声门下新生物。为进一步诊治来本院。门诊电子鼻咽喉镜提示左侧声带可见肿物,表面有溃疡,坏死物覆盖,累及全长,向前达前联合,向后达声带突。右侧声带光滑。左侧声带活动受限,右侧声带活动正常;活检病理报鳞癌;超声检查:甲状腺回声均匀,双颈、双侧锁骨上未见肿大淋巴结;CT检查:左侧声带室带所见,结合镜检可符合喉癌。患者发病以来无吞咽不适、呛咳、憋气、耳痛等症状,为进一步治疗收入本院。
既往史:
否认结核、肝炎等传染病史。否认高血压、心脏病及糖尿病病史。否认药物、食物过敏史。否认手术、外伤史。吸烟史40年,约30支/日;饮酒史40年,经常饮白酒,约4两/次。家族史:父亲食管癌,爷爷胃癌,奶奶宫颈癌,叔叔食管癌。
【影像学及特殊检查】
1.2017年2月8日电子鼻咽喉镜检查
鼻腔进镜顺利。鼻咽部结构完整,黏膜光滑,未见明显异常。口咽双侧扁桃体未见肿大。舌根部淋巴滤泡略增生。下咽部表面基本平整,未见明显异常。喉部声门上结构完整,双侧披裂结构基本对称。左侧声带可见肿物生长(活检4块),表面有溃疡,坏死物覆盖,累及全长,向前达前联合,向后达声带突。右侧声带光滑。左侧声带活动受限,右侧声带活动正常(图1)。
内镜诊断:
左侧声带癌(性质待病理检查)。
2.2017年2月10日左侧声带活检病理
鳞状细胞癌。
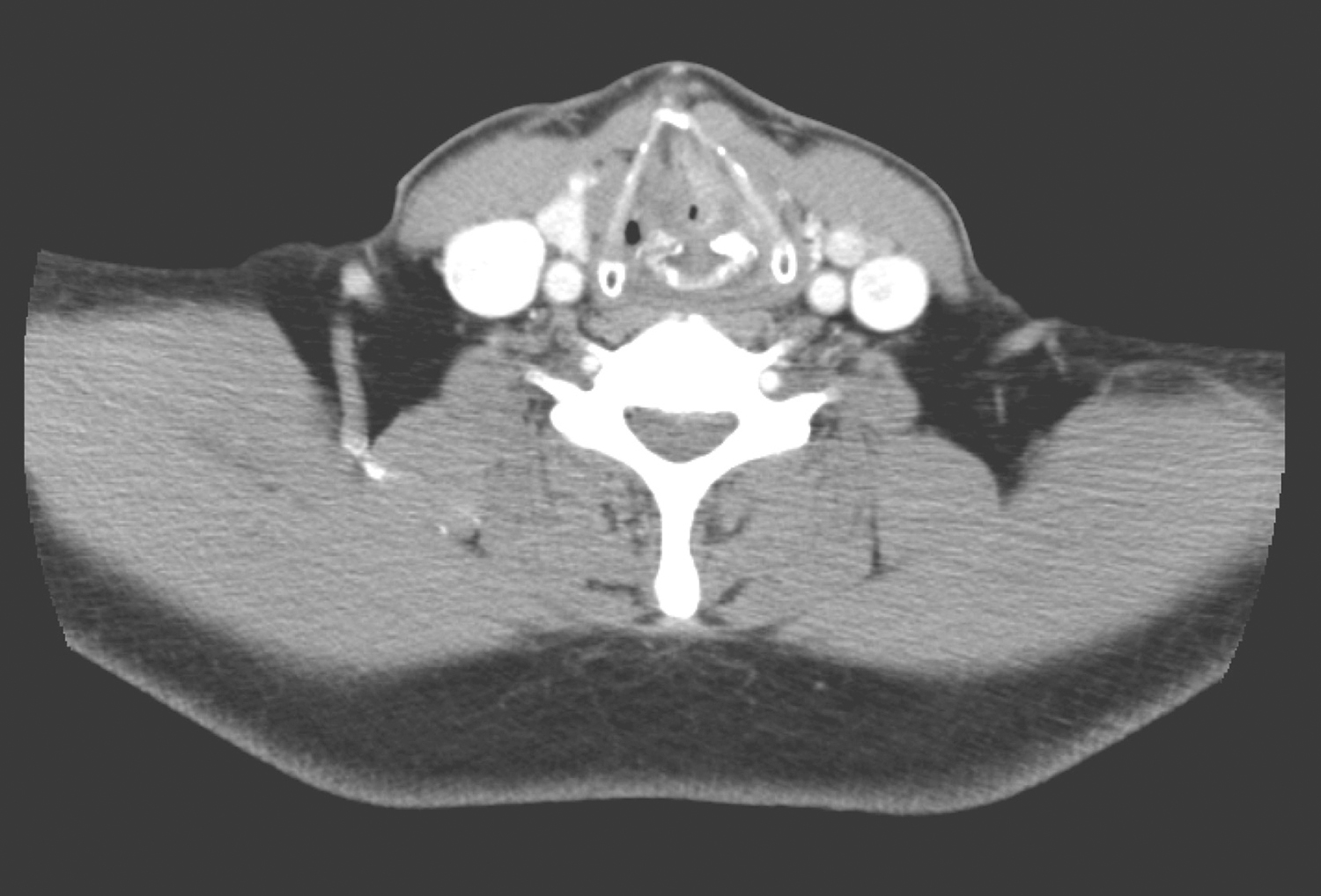
3.2017年2月14日颈胸部CT
左侧声带、室带局部软组织增厚,约1.4cm×0.5cm,形态不规则,可见强化(图2),会厌软组织略厚。气管右旁小淋巴结,约0.6cm×0.4cm,余颈部、纵隔、双肺门未见肿大淋巴结。双肺未见明确结节及实变。双侧胸腔、心包未见积液。
检查所见:
(1)左侧声带、室带所见,结合镜检可符合喉癌。
(2)右上纵隔、气管右旁小淋巴结,建议随诊。
4.2017年2月16日颈部B超
甲状腺回声均,双颈、双侧锁骨上未见肿大淋巴结。

图1 喉镜示左侧声带肿物

图2 颈部增强CT示左侧声带、室带局部软组织增厚伴强化
【入院诊断】
喉癌(声门型T3N0M0)。
【治疗经过】
2017年2月22日在全麻下行左扩大垂直部分喉切除术(左额侧部分喉切除),气管切开。
手术过程:
局麻下气管切开,插入麻醉给予全麻,全麻成功后取颈前T形切口切开皮肤皮下及颈白线至甲状软骨角,切开甲状软骨外软骨膜,剥离左侧甲状软骨外软骨膜前2/3部分,清除环甲膜前淋巴脂肪组织,切开环甲膜,右甲状软骨前端锯开,剪开会厌根,暴露喉腔,见肿瘤位于左侧声带,侵及声带突和部分喉室底部及前联合,未侵及声门下和右侧声带;剪开左侧甲状软骨板前2/3部分,沿左声门下0.5cm左右、后联合和左室带上缘切开将左半喉及前联合一并切除,创面彻底止血后切取周边切缘,冰冻病理检查报告均未见癌,即游离左甲状软骨外软骨膜,修复左半喉创面,缝合会厌根部,将左侧带状肌与右侧甲状软骨板断端缝合关闭喉腔,缝合环甲膜,置负压引流,分层缝合切口,患者清醒后更换气管套管,安全回病房。
【术后处理】
1.密切监测生命体征。
2.注意伤口及引流情况;引流量每日少于10ml可拔除引流管。
3.气管切开护理,保持气道通畅;术后依据患者的恢复情况,适时拔除气管套管。
【术后病理】
(左额侧半喉)喉声门型中-低分化鳞状细胞癌,肿瘤主要位于左声带,侵及黏膜固有层,未累及前联合、室带及甲状软骨骨膜。未见明确脉管瘤栓及神经侵犯。周围室带及喉室黏膜伴鳞化。(左声门下切缘)(后切缘)(劈裂切缘)未见肿瘤。
淋巴结未见转移癌(0/2)
(环甲膜前淋巴结)0/2
pTNM分期:
pT1aN0。
【术后随诊】
2017年8月23日电子内镜检查
内镜所见:“喉癌术后半年”鼻腔进镜顺利。鼻咽部结构完整,黏膜光滑,未见明显异常。口咽双侧扁桃体略肿大。舌根部淋巴滤泡略增生。下咽部表面基本平整,未见明显异常。喉部结构完整,双侧披裂结构正常。左侧声带切除,右侧声带光滑。左侧喉部活动明显受限,右侧声带活动正常(图3)。

图3 2017年8月23日复查喉镜示左侧声带切除,右侧声带光滑
内镜诊断:
喉癌术后,左侧声带切除,残喉未见肿瘤复发征象。
【专家点评】
依据AJCC肿瘤分期第8版,该患者临床分期为声门型喉癌T3N0M0,但术后病理肿瘤仅仅局限于左侧声带,故病理分期是pT1a。NCCN指南2018年第1版,对声门型T3病变患者,推荐传统的开放性或内镜下喉功能保留的部分喉切除,如果颈部淋巴结出现转移,可行颈部淋巴结清扫。术后病理如无不良因素,给予随诊;术后病理如果出现转移淋巴结被膜外侵犯、切缘不净、pT3或pT4、N2或N3、周围神经侵犯和脉管瘤栓形成等不良因素,能获得安全切缘者,应给予再次手术,否则,应给予化疗和放射治疗。我国喉癌外科治疗和综合治疗专家共识,对T3期声门型喉癌,肿瘤累及半喉,声带固定者,可选择喉垂直部分切除术;对T3期声门型喉癌,肿瘤累及一侧半喉及前联合、对侧声室带前端,一侧声带固定,对侧声带活动正常,可选择喉次全切除,也可选择环状软骨上喉部分切除(CHEP)。该例患者依据内镜和影像检查,临床分期应为声门型喉癌cT3N0M0,采用了典型额侧部分喉(左扩大垂直部分喉)切除术,而术中修复采用同侧甲状软骨外软骨膜,这样可以避免修复过度引起的喉腔狭窄所致的终身带管呼吸,但发音质量不如带状肌修复的患者。声门型T3病变,通常采用的手术方式有:垂直部分喉切除、扩大垂直部分喉切除、部分喉切除会厌修复(Tucker手术)和环状软骨上喉部分切除(CHEP),或者全喉切除。应依据患者的情况、肿瘤具体部位和术者的临床经验制定合理的有效的手术方案。
声门型喉癌一般不易发生淋巴结转移,2018年NCCN指南第1版对T3N0的患者推荐同侧甲状腺切除和气管前、气管旁淋巴结清扫;但2017年NCCN指南第2版对T3N0的患者不推荐颈部淋巴结清扫;我国喉癌外科治疗和综合治疗专家共识,对声门型喉癌T3N0病变,建议同侧颈部Ⅱ~Ⅳ区淋巴结清扫。该例患者术前影像检查均未发现颈部淋巴结异常,故未行颈部淋巴结清扫;这样可有利于患者的恢复,改善患者的生活质量。术后病理喉声门型中-低分化鳞状细胞癌,肿瘤主要位于左声带,侵及黏膜固有层,未累及前联合、室带及甲状软骨骨膜。未见明确脉管瘤栓及神经侵犯,无不良因素出现,且病理分期为pT1,故术后未给予放疗和化疗。
理论上讲,肿瘤的分化程度是影响患者预后的重要因素,但在喉癌中,低分化不是一不良因素。我们的资料显示,对低分化喉癌,治疗上仍以手术为主,喉部分切除术是可行的,T3病变的喉部分切除和颈部N分级较晚的患者应手术结合放射治疗。我国喉癌外科治疗和综合治疗专家共识,对T3N0喉癌患者,如果选择手术,术后无不良因素,一般选择观察,无须其他辅助资料。从以上资料可以看出,该患者术后是否需要放射治疗,是有争议的,这时应该结合患者的情况和术者的临床经验。该患者年龄偏大,且术后病理分期为pT1,术后无不良因素出现,因此,最终选择观察。
扩大垂直部分喉切除术,由于甲状软骨板切除较垂直部分喉切除术较多,喉的前后径变小,术中应注意不要过度修复喉腔,避免术后喉腔狭窄,导致气管套管拔除困难,影响患者的生活质量。
知识来源
人卫知识数字服务体系
- 评价此内容
- 我要打分
近期推荐
热门关键词
最新会议
- 2013循证医学和实效研究方法学研讨会
- 欧洲心脏病学会年会
- 世界帕金森病和相关疾病2013年会议
- 英国介入放射学学会2013年第25届年会
- 美国血液学会2013年年会
- 美国癫痫学会2013年第67届年会
- 肥胖学会 2013年年会
- 2013年第9届欧洲抗体会议
- 国际精神病学协会 2013年会议
- 妇科肿瘤2013年第18届大会
- 国际创伤压力研究学会2013年第29届…
- 2013年第4届亚太地区骨质疏松症会议
- 皮肤病协会国际2013年会议
- 世界糖尿病2013年大会
- 2013年国际成瘾性药年会
- 彭晓霞---诊断试验的Meta分析
- 武姗姗---累积Meta分析和TSA分析
- 孙凤---Network Meta分析
- 杨智荣---Cochrane综述实战经验分享
- 杨祖耀---疾病频率资料的Meta分析
合作伙伴
Copyright g-medon.com All Rights Reserved 环球医学资讯 未经授权请勿转载!
网络实名:环球医学:京ICP备08004413号-2
关于我们|
我们的服务|版权及责任声明|联系我们
互联网药品信息服务资格证书(京)-经营性-2017-0027
互联网医疗保健信息服务复核同意书 京卫计网审[2015]第0344号




会员登录

