一例原发性肺血管肉瘤的诊断和鉴别诊断
75岁男性,无明显诱因出现反复痰中带血,当地医院给予抗感染、抗结核治疗1个月(具体不详),症状未缓解。患者遂来我院进一步诊治。患者20年前因胃溃疡出血行胃大部切除术,此次咯血是哪里出了问题?
【病情摘要】
1.基本情况
男性患者,75岁,退休教师,因“反复咯血4个月”,于2015年9月入院。入院前4个月,患者无明显诱因出现反复痰中带血,呈暗红色,4~8ml/d,无发热、盗汗、关节痛、血尿、泡沫样尿。当地医院给予抗感染、抗结核治疗1个月(具体不详),症状未缓解。患者遂来我院进一步诊治。
2.既往
患者20年前因胃溃疡出血行胃大部切除术;有高血压病史2年,最高血压156/90mmHg,不规律服药;无烟酒嗜好;否认肺结核患者及禽类接触史;否认冶游史;无恶性肿瘤家族史。
3.入院查体
体温36.5℃,脉搏82次/分,呼吸20次/分,血压157/97mmHg,SpO2 98%(FiO2 21%)。神志清楚,全身浅表淋巴结未触及肿大。双肺呼吸音清,未闻干、湿啰音。心律齐,心音强,各瓣膜听诊区未闻杂音。全腹平软,未触及异常包块。无杵状指(趾),四肢关节无红肿,双下肢无水肿。神经系统查体无阳性体征。
4.入院前检查
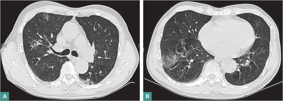
血常规:白细胞计数6.6×109/L,中性粒细胞比例57.2%,淋巴细胞比例29.7%,血红蛋白138g/L,血小板计数197×109/L。血生化全套指标正常。癌胚抗原(CEA)6.63ng/ml。血沉20mm/h。C反应蛋白8.05mg/L,免疫球蛋白E(IgE)1010.0IU/ml。T-SPOT阴性,自身抗体全套、ANCA全套指标均正常。血清半乳甘露聚糖试验(GM试验)及(1,3)-β-D葡聚糖试验(G试验)正常。肺吸虫、血吸虫等寄生虫抗体阴性。胸部CT示双肺多发磨玻璃影,病灶中见致密影(图1)。经抗细菌感染及抗结核治疗1个月,复查胸部CT示部分病灶吸收,部分增多、进展,有游走性特点。经支气管肺活检病理提示慢性炎症。支气管肺泡灌洗液找抗酸杆菌阴性。

图1 胸部CT表现
5.初步诊断
双肺多发阴影,性质待查。
【诊治过程】
(一)病例特点
1.一般情况
患者为老年男性,慢性起病,既往无吸烟史,无肺结核患者及禽类粪便接触史,无大量粉尘及霉变气体吸入史。
2.主要症状和体征
反复少量咯血4个月,查体未见阳性体征。
3.辅助检查
血常规大致正常,血清CEA稍增高,血清IgE明显升高,血清真菌感染检测阴性,自身抗体和ANCA检查均阴性,血清寄生虫抗体阴性。胸部CT示双肺多发磨玻璃影,病灶中见致密影。经支气管肺活检病理提示慢性炎症。
4.治疗反应
经抗细菌感染及抗结核治疗1个月,症状无好转,复查胸部CT示部分病灶吸收,部分增多、进展,有游走性特点。
(二)鉴别诊断思路
双肺多发磨玻璃影在肺部影像学上并不少见,多种疾病均可表现此类影像学改变,在确立诊断的过程中首先要进行以下方面的鉴别。
本病例若为肺部感染性疾病所致,需要考虑的疾病有哪些?
(1)肺结核:
本病例呈慢性病程,患者反复咯血,影像学检查见双肺多发磨玻璃影。但予经验性抗结核治疗1个月后,复查胸部CT见病灶部分增多、游走,治疗无效,而且患者无反复发热、盗汗,经支气管肺组织活检病理未见干酪样坏死,支气管肺泡灌洗液找抗酸杆菌阴性,T-SPOT阴性,咯血症状无改善,故不支持肺结核诊断。
(2)肺真菌病:
患者反复咯血,血清IgE水平明显升高,病程中肺部病灶部分吸收,部分进展、新增,需考虑肺部真菌感染,如侵袭性曲霉菌感染、变应性支气管肺曲霉菌病(allergic bronchopulmonary aspergillosis,ABPA)、肺孢子菌肺炎。但患者病史达4个月,除反复少量咯血,其他一般状况良好,同侵袭性曲霉感染常见的病情迅速进展,甚至早期出现呼吸衰竭的表现不符;同时,患者无反复喘息,肺部影像未见中心性支气管扩张,亦不支持ABPA。患者否认冶游史,无反复口腔溃疡、白斑及腹泻等免疫低下表现,且双肺病灶部分表现为可游走性,不支持肺孢子菌肺炎诊断。
综上分析,本例患者肺部病灶为感染性病变可能性小,非感染性疾病可能性较大。
本病例若为非感染性疾病所致,需考虑哪些疾病?
(1)血管炎相关性疾病:
患者反复少量咯血4个月,胸部CT提示双肺多发磨玻璃影,部分病灶呈游走性,血白细胞及中性粒细胞数正常,支气管肺泡灌洗液未找到抗酸杆菌,外院经1个月抗感染及诊断性抗结核治疗,症状无改善,需考虑肺血管炎性疾病,如韦格纳肉芽肿可能。但患者目前无血尿、蛋白尿等肾脏受累表现,血嗜酸细胞计数正常,经支气管肺组织活检病理未提示有血管炎性改变,同时自身抗体全套及ANCA阴性,不支持该病诊断。
(2)特发性含铁血黄素沉着症:
以肺泡细胞弥漫性出血、肺间质含铁血黄素沉着为特点,可表现为咯血、贫血、双肺浸润影。该病原发型多见于儿童,也可继发于左心房压力增高性疾病、结缔组织疾病以及理化因素。本例患者为老年退休教师,无心脏基础疾病及结缔组织疾病证据,故为特发性含铁血黄素沉着症可能性不大。
(3)肿瘤:
患者为老年男性,反复少量咯血4个月,既往有胃溃疡手术史,血清CEA 6.63ng/ml,双肺多发磨玻璃实变影,需警惕肺原发多源性肿瘤(含血管源性肿瘤)或肺部转移性肿瘤可能。
(三)诊治措施
1.入院后相关检查
(1)病原学检查:
多次痰细菌培养及痰找抗酸杆菌均阴性。
(2)支气管镜检查:
双侧气管、支气管炎症样改变,右上叶前段陈旧性出血。支气管肺泡灌洗液(BALF)细胞学分类:中性粒细胞47%,淋巴细胞4%,嗜酸细胞0%,巨噬细胞49%,BALF细菌及真菌培养阴性。
(3)其他:
鼻窦CT提示慢性鼻窦炎。全腹彩超见肝内胆管结石,左肾囊肿,左肾多发结石,前列腺增生伴结石,腹主动脉粥样硬化。心脏彩超显示主动脉窦部增宽,主动脉瓣回声增强伴反流(+),室间隔及左心室前壁增厚,左心室舒张功能降低。结肠镜见结肠多发息肉。胃镜检查见食管中段黏膜下隆起,残胃炎。
由于患者拒绝,未行进一步全身PET-CT检查及外科肺组织病理活检。
.入院后相关治疗
患者入院后仍反复咯血,影像学检查显示双肺多发磨玻璃渗出影,虽然血管炎诊断证据不足,但仍不能排除,且无结核、真菌感染症状,无糖尿病、消化道溃疡等糖皮质激素使用禁忌,同时糖皮质激素治疗可在相对短疗程内评价疗效。综合考虑后,采取口服泼尼松(15mg,每天2次)治疗。
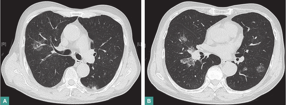
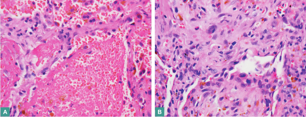
口服泼尼松23天后,患者咯血症状无改善,自行停药。停药1个月后复查胸部CT,提示双肺病灶较前增多、增浓(图2)。转胸外科行胸腔镜下肺活检,病理结果示:病灶边缘腺泡腔内肿瘤组织呈充填式生长,病灶中央见不规则互相吻合、沟通血管腔隙,内皮被覆异型内皮细胞(图3)。术后病理诊断:肺血管肉瘤。由于患者发病后多次查体,未见皮肤、乳腺异常,无骨骼疼痛,心脏彩超、全腹彩超皆未发现血管性肿瘤征象,故判断肺部病灶为原发。

图2 停药1个月后胸部CT表现

图3 肺活检病理结果
病灶边缘腺泡腔内肿瘤组织呈充填式生长(A. HE染色,×200);病灶中央见不规则的互相吻合、沟通的血管腔隙,内皮被覆异型内皮细胞(B. HE染色,×200)
3.最后诊断
原发性肺血管肉瘤。
(四)临床转归
患者接受静脉滴注重组人血管内皮生长因子抑制素15mg(每天1次,14天),后因咯血症状仍无明显改善,拒绝进一步治疗,1年后死亡。
(五)临床难点
血管肉瘤是一种罕见的来源于血管内皮细胞或淋巴管内皮的软组织恶性肿瘤,病因不明。目前认为,该病可能与长期接触聚氯乙烯、钍合剂和砷类化合物,电离辐射及慢性感染有关。其好发于皮肤、心脏、乳腺等部位,常转移至肺及颈部淋巴结。不同部位血管肉瘤的生物学行为不同。肺血管肉瘤属于深部软组织血管肉瘤。
肺血管肉瘤多为转移性,原发性罕见,诊断时需排除肺外原发病灶。肺血管肉瘤的临床表现无特异性,以咯血最常见,其次为咳嗽、呼吸困难、胸痛等,肺部无特异阳性体征。影像学表现可为肺内孤立性肿块、多发结节、胸腔积液、气胸,其中以双肺多发混合密度结节影常见,病灶中央密度高,边缘可出现晕轮征,结节直径多<3cm。支气管镜检查可见腔内血迹,少见异常病灶。肺血管肉瘤的诊断依赖组织病理学结果。显微镜下见瘤组织由不规则的互相吻合、沟通的血管腔隙构成,内皮被覆异型内皮细胞,呈梭形、立方形或不规则形。肿瘤细胞异型性与其分化程度相关。分化程度高者血管腔明显,瘤细胞异型程度轻,核分裂象少;分化程度差者内皮细胞呈实巢状,弥漫性排列,血管腔不明显,内皮细胞异型性明显,分裂象多见,肿瘤组织内常见坏死征象。免疫组化对于一些复杂病例的诊断及鉴别诊断具有重要作用。血管肉瘤细胞常表达CD31、CD34等血管来源肿瘤的特异性标志物,其中以CD31特异性最强,不表达CK、TTF-1等上皮性标志物。诊断肺血管肉瘤时,需注意与肺转移癌、肺低分化腺癌、肺上皮样血管肉瘤、肺淋巴瘤、恶性黑色素瘤及肺感染性疾病、肺血管炎性疾病等相鉴别。
对于肺血管肉瘤,目前仍缺乏统一、标准、有效的治疗方案。一般来说,对于孤立性病灶,主张手术切除;对于多发病灶或已转移者,可行放疗、化疗等综合治疗。虽然肺血管肉瘤对放化疗不敏感,但化疗仍是必要的姑息治疗手段,可减少肿瘤复发。阿霉素和异环磷酰胺被认为是最有效的单药。肿瘤生长和转移依赖于促血管生长因子生成,重组人血管内皮生长因子抑制素作为广谱内源性血管形成抑制因子,可选择性靶向抑制微血管内皮细胞生长,从而发挥抗增殖、抗迁徙和促进凋亡作用。已有个案报道,重组人血管内皮生长因子抑制素联合化疗使原发性心脏血管肉瘤患者临床获益,但尚无该药治疗原发性肺血管肉瘤的报道。
血管肉瘤预后不佳,中位生存期为15~24个月。肺血管肉瘤的预后更差,多数患者于出现症状后1年内死亡。
本例患者诊断难点有以下两点:①以咯血为主要症状,无特异性;②肺血管肉瘤是肺血管源性肿瘤,非常见疾病,呼吸科及病理科医师不熟悉该病,易忽略。
【点睛析评】
临床上,许多患者的症状缺乏特异性。当常见病因无法解释临床症状时,应注意罕见病的鉴别诊断。对于肺部病灶性质,经支气管肺活检或经皮肺穿刺活检无法明确时,应考虑行外科肺活检,争取尽早明确诊断、尽早治疗,提高疗效。
本例患者以咯血为主要表现,胸部CT提示双肺多发混合密度病灶,病灶中可见致密影,边缘见晕轮征,经外科胸腔镜下肺活检病理确诊为血管肉瘤,再结合患者无异常阳性体征,腹部及心脏彩超未见肺外原发灶,故可诊断原发性肺血管肉瘤。因此,对于病因不明的咯血、气促、双肺多发磨玻璃影伴中间致密影类似晕征病灶的病例,应考虑原发性肺血管肉瘤可能。尽早行组织病理检查有助于早期诊断及治疗,以改善预后。
知识来源
人卫知识数字服务体系
- 评价此内容
- 我要打分
近期推荐
热门关键词
最新会议
- 2013循证医学和实效研究方法学研讨会
- 欧洲心脏病学会年会
- 世界帕金森病和相关疾病2013年会议
- 英国介入放射学学会2013年第25届年会
- 美国血液学会2013年年会
- 美国癫痫学会2013年第67届年会
- 肥胖学会 2013年年会
- 2013年第9届欧洲抗体会议
- 国际精神病学协会 2013年会议
- 妇科肿瘤2013年第18届大会
- 国际创伤压力研究学会2013年第29届…
- 2013年第4届亚太地区骨质疏松症会议
- 皮肤病协会国际2013年会议
- 世界糖尿病2013年大会
- 2013年国际成瘾性药年会
- 彭晓霞---诊断试验的Meta分析
- 武姗姗---累积Meta分析和TSA分析
- 孙凤---Network Meta分析
- 杨智荣---Cochrane综述实战经验分享
- 杨祖耀---疾病频率资料的Meta分析
合作伙伴
Copyright g-medon.com All Rights Reserved 环球医学资讯 未经授权请勿转载!
网络实名:环球医学:京ICP备08004413号-2
关于我们|
我们的服务|版权及责任声明|联系我们
互联网药品信息服务资格证书(京)-经营性-2017-0027
互联网医疗保健信息服务复核同意书 京卫计网审[2015]第0344号




会员登录

