甲状腺乳头状癌术后复发并右颈部淋巴结及双肺转移诊治案例分享
33岁女性,甲状腺肿物外院术后10余年,颈部肿块9年,现约“鸡蛋”大小。不能提供10年前的手术资料和病理切片,且超声检查考虑良性病变,问题如何解决?
【病例简介】
患者女性,33岁。因甲状腺肿物外院术后10余年,颈部肿块9年于2017年2月23日收住院。10年前患者因甲状腺肿物在当地医院行“甲状腺肿物切除术”,具体术式不详,术后病理为“良性”;9年前发现右颈肿块,大小约“鸽子蛋”,患者无明显不适,未予重视,9年来肿块逐渐变大,现约“鸡蛋”大小。患者为进一步诊治就诊于本院,颈部超声检查提示:双侧甲状腺结节,考虑良性,右颈多发肿物,倾向良性,考虑甲状腺来源可能性大;颈胸部CT检查提示:①甲状腺多发病灶,部分考虑为癌,建议穿刺活检;②右侧颈部及锁骨水平及上纵隔多发结节及肿物影,考虑转移淋巴结;③双肺多发转移瘤。为进一步手术治疗于2017年2月23日收入头颈外科。患者发病以来无声嘶、吞咽不适、呛咳、憋气等症状,无体重下降。
既往史:否认结核、肝炎等传染病史。否认高血压、心脏病及糖尿病病史。5年前做腹腔镜卵巢囊肿切除术,否认家族性肿瘤遗传病史。
【影像学及实验室检查】
1.2017年2月16日颈部超声
甲状腺右叶体积增大,形态失常,内见多个等回声结节,大者2.7cm×1.2cm,边界清楚,见少许血流信号;甲状腺左叶见一混合回声结节,大小约2.3cm×2.0cm,边界清楚,内部回声不均,见少许血流信号。右颈部见多个大小不等中等回声结节,部分融合,大者5.3cm×3.3cm,边界清楚,血流信号较丰富。颈部结节回声与甲状腺回声一致。左颈部未探及明确肿大淋巴结。超声诊断:双侧甲状腺结节,考虑良性。右颈部多发肿物,倾向良性,考虑甲状腺来源可能性大。
2.2017年2月20日颈胸部CT
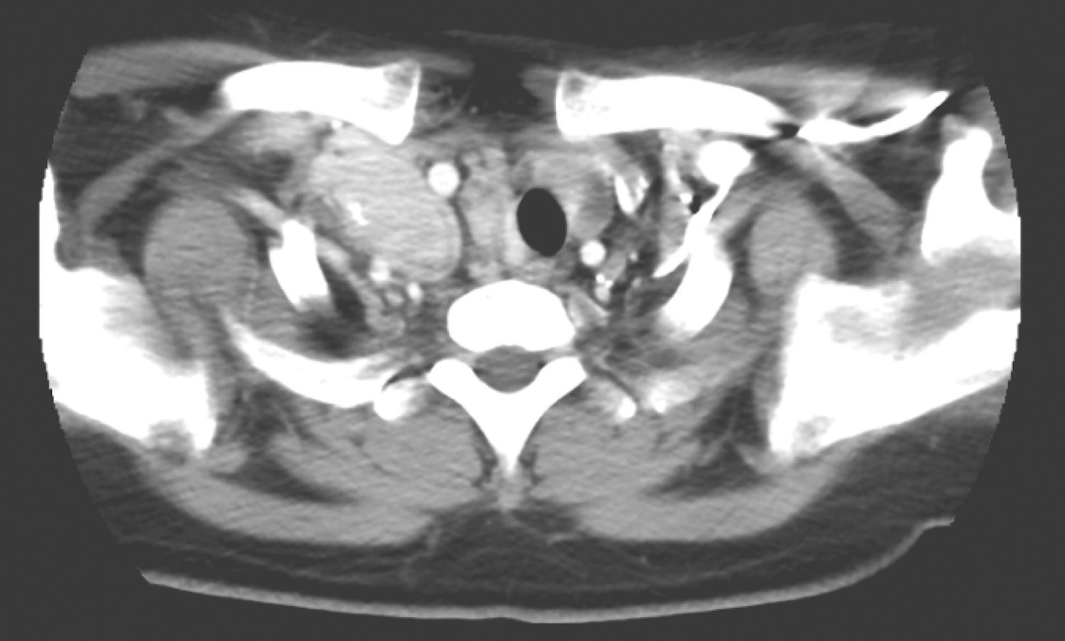
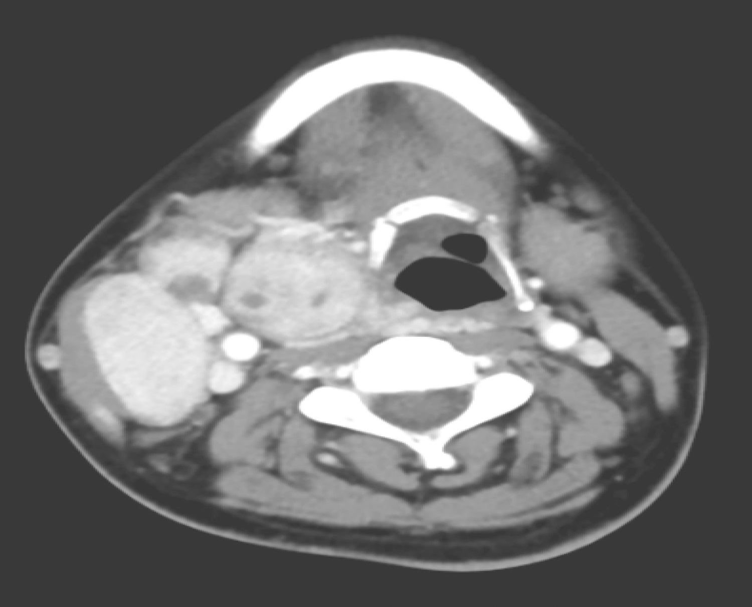
甲状腺弥漫不规则增大,密度不均匀,右叶为著,内有多发高、低密度结节影,大者最大截面约2.5cm×2.2cm,边界不清,增强扫描呈不均匀强化,向下伸入上纵隔胸骨后(图1);另见甲状腺左叶低密度结节,大小约1.6cm×1.0cm,不均匀轻中度强化。右侧颈部、锁骨水平及上纵隔区可见多发结节及肿物影,呈多结节融合状,最大截面约5.1cm×3.6cm,部分层面似与甲状腺右叶肿物相连续,包绕右侧颈动脉鞘,压迫右侧舌骨及下咽腔,增强扫描呈明显强化(图2)。双肺可见多发结节影,大者约1.9cm×1.4cm,边界清楚,明显强化(图3)。

图1 颈部增强CT示甲状腺右叶低密度结节

图2 颈部增强CT示右侧颈部多发肿物包绕右侧颈动脉鞘

图3 胸部增强CT示双肺可见多发结节影明显强化
影像学诊断:
(1)甲状腺多发病灶,部分考虑为癌,建议穿刺活检。
(2)右侧颈部及锁骨水平及上纵隔多发结节及肿物影,考虑转移淋巴结。
(3)双肺多发转移瘤。
【入院诊断】
1.甲状腺癌外院术后复发,右颈淋巴结转移,双肺转移。
2.甲状腺肿物外院术后复发,右颈淋巴结肿大。
3.双肺结节待查。
【治疗经过】
2017年2月24日全身麻醉下做甲状腺全切+右颈淋巴结清扫(Ⅱ~Ⅶ区)+左气管食管沟淋巴结清扫术。
1.手术过程
全麻成功后,常规消毒铺巾,取原颈前领式切口,颈阔肌下翻皮瓣,游离右侧胸锁乳突肌中下段,解剖颈鞘,切取明显肿大的淋巴结送冰冻病理检查;切开颈白线,分离带状肌,游离双侧甲状腺,探查见甲状腺右残叶上极弥漫性肿大,质韧,至颌下腺,中部结节与气管和喉返神经粘连密切难以锐性分开;左残叶不大,质软;双侧Ⅵ区及上纵隔多发肿大淋巴结,光滑,质硬;故游离双侧甲状腺,行甲状腺全切除,双侧气管食管沟及上纵隔淋巴结清扫,术中将右叶及肿物送冰冻病理检查。
2.冰冻病理检查报告
①右颈淋巴结:腺瘤样甲状腺组织,滤泡上皮有异型,周围未见淋巴结结构,不能明确为转移;②甲状腺右叶及肿物:腺瘤样增生的甲状腺组织,滤泡上皮生长活跃,疏密分布不均,目前无法明确为恶性病变。
即向右沿皮纹延长颈前切口至斜方肌前缘,颈阔肌下分离皮瓣,游离胸锁乳突肌,解剖颈鞘和副神经,清除颈部Ⅱ~Ⅴ区淋巴脂肪组织(图4);创面彻底止血后,冲洗术野,放置引流管,逐层关闭术腔;患者清醒后拔除气管插管,安返病房。

图4 术中Ⅱ~Ⅴ区颈清扫后
【术后处理】
1.密切监测生命体征。
2.注意观察伤口及引流情况;引流量每日少于10ml可拔除引流管。
3.补钙以预防暂时性甲状旁腺功能低下引起的低钙血症。
4.术后口服左甲状腺素内分泌替代和抑制治疗。
5.2017年2月25日(术后第1天)实验室检查:甲状旁腺素(PTH)12.76pg/ml,血钙1.81mmol/L。
【术后病理】
(甲状腺右叶)冰及冰余甲状腺乳头状癌,滤泡型,肿瘤最大径5cm,累及甲状腺被膜外纤维脂肪组织,可见脉管内癌栓,未累及横纹肌组织。肿瘤周围伴纤维化及慢性炎症细胞浸润,局灶可见异物(缝线)及多核细胞反应,符合术后改变。
(右喉旁肿物)、(右后返神经入喉处肿物)纤维组织及横纹肌组织肿可见甲状腺乳头状癌浸润。
(甲状腺左叶)甲状腺组织内见一纤维化结节,未见肿瘤。
淋巴结可见转移癌(19/95)。
(右颈淋巴结)冰1/1。
(右颈淋巴结清扫)6/80。
(右气管食管沟及上纵隔淋巴结清扫)9/10,另少许甲状腺组织,其内可见癌组织浸润。
(左气管食管沟淋巴结清扫)3/4。
【术后随诊】
1.2017年3月28日实验室检查
甲状旁腺素(PTH)42.28pg/ml,促甲状腺素(TSH)0.02μIU/ml,甲状腺球蛋白(TG)33.27ng/ml。
2.2017年11月20日术后碘治疗后5个月颈部超声
甲状腺区术后改变,未见复发和转移。
【专家点评】
该患者术前不能提供10年前的手术资料和病理切片,且超声检查考虑良性病变,导致该次诊断难以确定;但肿瘤较广泛,且CT检查考虑甲状腺多发病灶,部分考虑为癌;右侧颈部及锁骨水平及上纵隔多发结节及肿物影,考虑转移淋巴结;双肺多发转移瘤。所以,结合病史临床首先考虑为甲状腺癌外院术后复发,右颈淋巴结转移,双肺转移。故选择术中冷冻下甲状腺全切除、右颈淋巴结清扫;由于右颈肿大的淋巴结较多,故仅仅选择右颈Ⅲ区1枚肿大的淋巴结切除冰冻病理检查;术中探查发现甲状腺右叶肿物侵及右喉返神经,更加坚信甲状腺癌的可能,坚信术前的手术方案,决定行甲状腺全切除,将右叶及肿物切除后冰冻病理检查,这时右颈Ⅲ区淋巴结冰冻病理检查结果:右颈淋巴结腺瘤样甲状腺组织,滤泡上皮有异型,周围未见淋巴结结构,不能明确为转移。如果临床医师确定送检的右颈Ⅲ区淋巴结是淋巴结,尽管冰冻病理检查未报癌细胞和淋巴结构,而是腺瘤样甲状腺组织,临床医师应考虑为分化好的甲状腺癌。这时应进一步确信术前诊断和术前手术方案。即完成甲状腺全切除、双侧气管食管沟和上纵隔淋巴结清扫。这时甲状腺右叶及肿物的冰冻病理检查报告:腺瘤样增生的甲状腺组织,滤泡上皮生长活跃,疏密分布不均,目前无法明确为恶性病变。这时要结合术中所见甲状腺右叶肿瘤侵及喉返神经和右颈淋巴结的冰冻病理检查结果,坚信术前诊断,继续完成右颈淋巴结清扫。
术后病理报告甲状腺右叶为甲状腺乳头状癌,滤泡型,且累及甲状腺被膜外纤维脂肪组织,可见脉管内癌栓;淋巴结可见转移癌(19/95)。进一步证实术前CT检查。Mazzaferri等(1994)报道分化型甲状腺癌的复发率约30%,大部分复发发生在首次术后10年内。尽管分化型甲状腺癌患者10年生存率在90%以上,但复发或转移时患者的生存率明显降低,Ito等(2010)报道如伴有远处转移时患者10年生存率减少为50%。对复发转移性甲状腺癌的治疗,不能仅仅依赖手术治疗,需要多学科参与的综合治疗,Magarey等(1994)报道可选择的治疗方案有:内分泌抑制治疗情况下观察、手术切除、131I治疗、外放射治疗、化学治疗、靶向治疗、射频消融和超声引导下无水乙醇注射等方法。对符合手术指征的患者优先考虑手术,术后综合评估安全性后可考虑行131I治疗,进一步清除可能残留的复发灶或转移灶,延缓病情进展。因此,该患者术后建议给予同位素治疗,以控制肺内转移灶、降低局部复发的概率。
对甲状腺全切除,尤其复发性甲状腺全切除,术后常规给予静脉补钙,每日10%葡萄糖酸钙40ml,以预防甲状腺全切除后甲状旁腺功能暂时性低下导致的低钙血症,同时有利于甲状旁腺功能的恢复,避免患者及家属因低钙引起的恐惧和紧张心理,必要时可以追加口服钙剂,出院后给予口服钙剂,以维持血钙水平,避免发生低钙血症。该患者术后第1天甲状旁腺素(PTH)12.76pg/ml(15.0~65.0pg/ml)、血钙1.81mmol/L(2.11~2.52mmol/L),经补钙后术后1个月甲状旁腺素(PTH)42.28pg/ml(15.0~65.0pg/ml。Filho等(2004)报道甲状腺术后低钙血症的发生率为4%~42%,而永久性低钙为0~8%。近年来,随着甲状腺手术精细化操作的推广和应用,低钙血症的发生在一定程度上有所下降,但仍要引起术者的高度重视,避免低钙血症的发生。
该患者由于无法提供原手术病理切片,所以导致该手术前难以确诊;术前将可能的手术方案充分和患者及家属沟通,可能的手术意外应告知患者及家属,征求甲状腺全切除同意,愿意承担所引起一切后果,否则,应分次手术,避免不必要的医患矛盾。
术后第5天口服左甲状腺素125μg/d,以补充体内所需要的甲状腺素和抑制肿瘤的复发和转移;依据2012年中国版《甲状腺结节和分化型甲状腺癌诊治指南》,对该患者复发风险分层和TSH抑制治疗不良反应风险进行综合评估,指南推荐促甲状腺素应控制在0.1μIU/ml以下。该患者术后1个月复查促甲状腺素(TSH)为0.02μIU/ml,故继续维持原给药量,3个月后复查。
知识来源
人卫知识数字服务体系
- 评价此内容
- 我要打分
近期推荐
热门关键词
最新会议
- 2013循证医学和实效研究方法学研讨会
- 欧洲心脏病学会年会
- 世界帕金森病和相关疾病2013年会议
- 英国介入放射学学会2013年第25届年会
- 美国血液学会2013年年会
- 美国癫痫学会2013年第67届年会
- 肥胖学会 2013年年会
- 2013年第9届欧洲抗体会议
- 国际精神病学协会 2013年会议
- 妇科肿瘤2013年第18届大会
- 国际创伤压力研究学会2013年第29届…
- 2013年第4届亚太地区骨质疏松症会议
- 皮肤病协会国际2013年会议
- 世界糖尿病2013年大会
- 2013年国际成瘾性药年会
- 彭晓霞---诊断试验的Meta分析
- 武姗姗---累积Meta分析和TSA分析
- 孙凤---Network Meta分析
- 杨智荣---Cochrane综述实战经验分享
- 杨祖耀---疾病频率资料的Meta分析
合作伙伴
Copyright g-medon.com All Rights Reserved 环球医学资讯 未经授权请勿转载!
网络实名:环球医学:京ICP备08004413号-2
关于我们|
我们的服务|版权及责任声明|联系我们
互联网药品信息服务资格证书(京)-经营性-2017-0027
互联网医疗保健信息服务复核同意书 京卫计网审[2015]第0344号




会员登录

