一例甲状腺髓样癌双侧颈部淋巴结转移诊治经验体会
60岁男子体检发现甲状腺肿物,无声嘶、吞咽不适、腹泻及憋气等症状。术前结合影像学检查和实验室检查,诊断甲状腺髓样癌双颈淋巴结转移,如何治疗?
【病例简介】
患者男性,60岁。因体检发现甲状腺肿物10天,于2013年10月11日收住院。患者10天前在外院体检发现甲状腺肿物,无声嘶、吞咽不适、腹泻及憋气等症状。为进一步诊治于2013年10月9日就诊本院,门诊超声检查提示:双侧甲状腺上极实性病变,恶性;双侧颈部多发淋巴结转移瘤;颈胸部CT提示:①甲状腺病变,考虑恶性,请结合超声;②双侧颈部、锁骨上淋巴结,应警惕转移;癌胚抗原(CEA)30.09ng/ml,血清降钙素(CAL)844pg/ml,为手术治疗于2013年10月11日收入本院。自发病以来,患者精神、睡眠尚可,体重无明显改变。既往体健,否认结核、肝炎等传染病史。高血压病史16年,口服降压药及阿司匹林;否认家族肿瘤遗传病史。
【影像学及实验室检查】
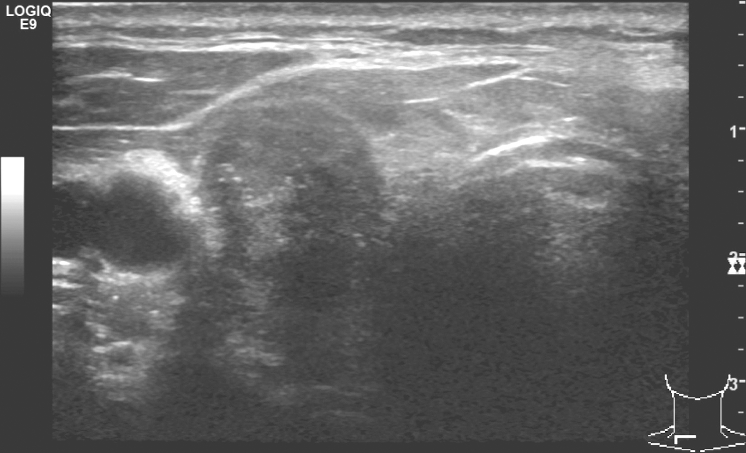
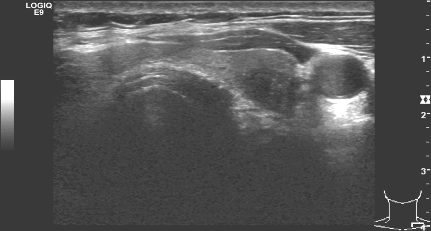
1.2013年10月9日,颈部超声右侧甲状腺上极有低回声病变,约1.6cm×1.8cm,边界不清(图1)。左叶上极有低回声病变,约0.7cm×1.1cm,边界不清(图2)。右颈Ⅱ、Ⅲ、Ⅳ、Ⅵ、Ⅶ区及左颈Ⅳ、Ⅵ区多发低回声结节,大者约1.3cm,位于右侧气管食管沟。

图1 颈部超声示右侧甲状腺上极低回声病变

图2 颈部超声示甲状腺左叶上极低回声病变
超声诊断:双侧甲状腺上极实性病变,恶性;双颈(范围如上)多发淋巴结转移瘤。
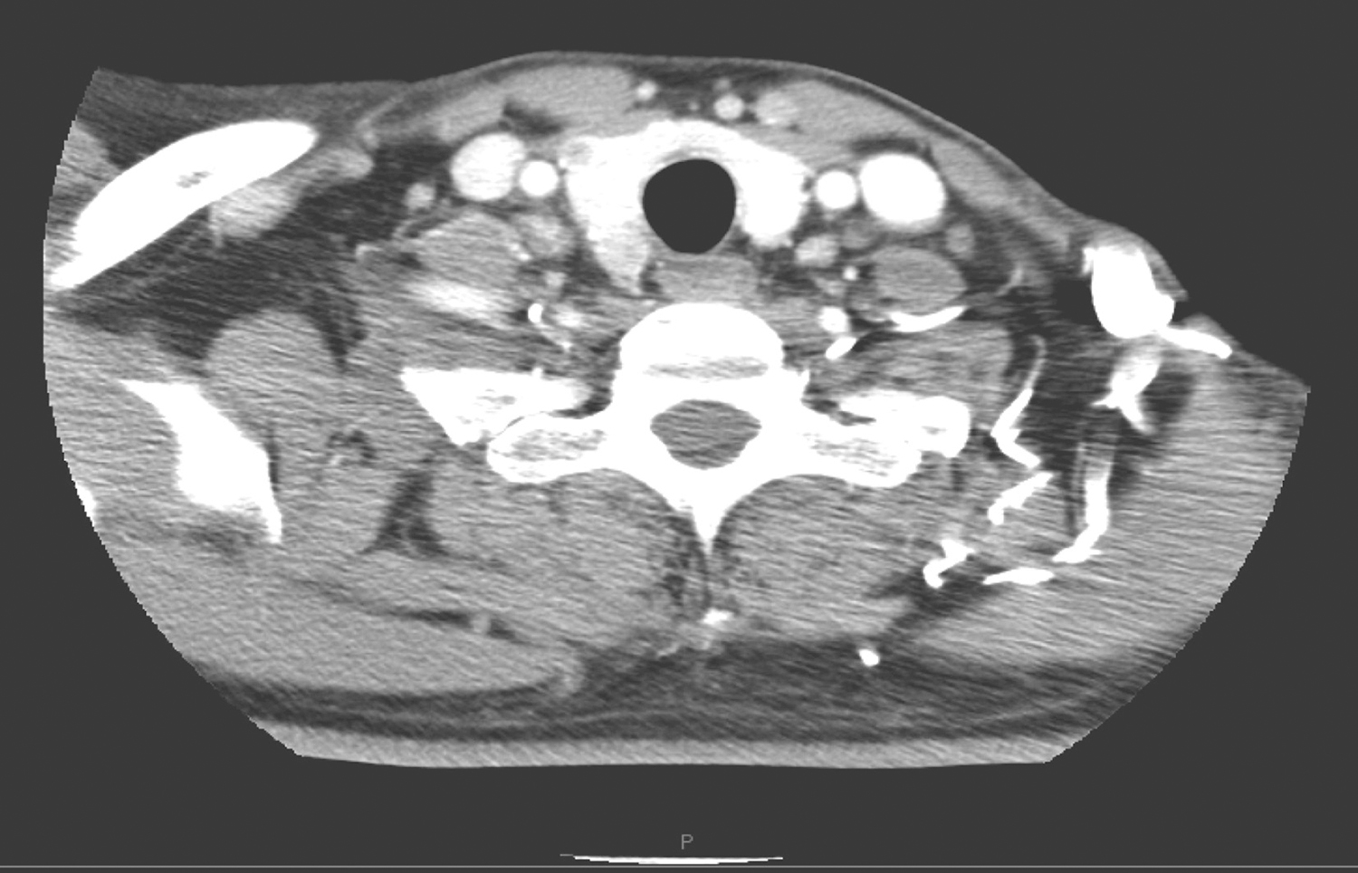
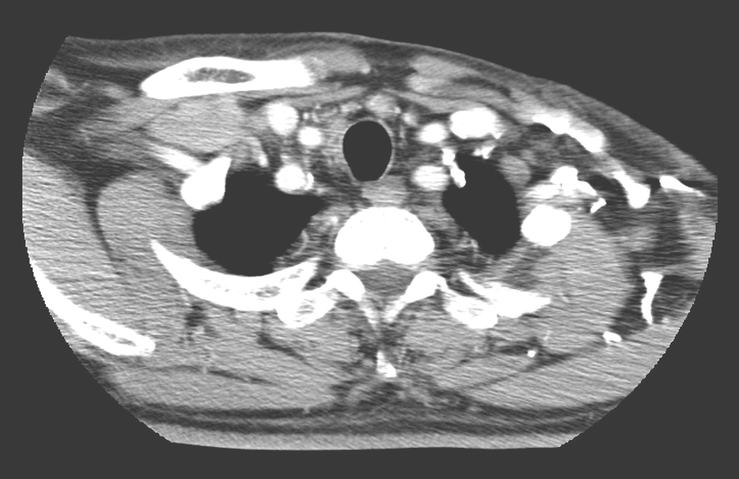
2.2013年10月10日,颈胸部CT检查所见:甲状腺左右叶内可见低密度结节,大者位于右叶,约1.6cm×1.2cm,其内可见高密度灶(图3)。扫描范围内鼻窦、鼻咽、口咽未见明确异常。
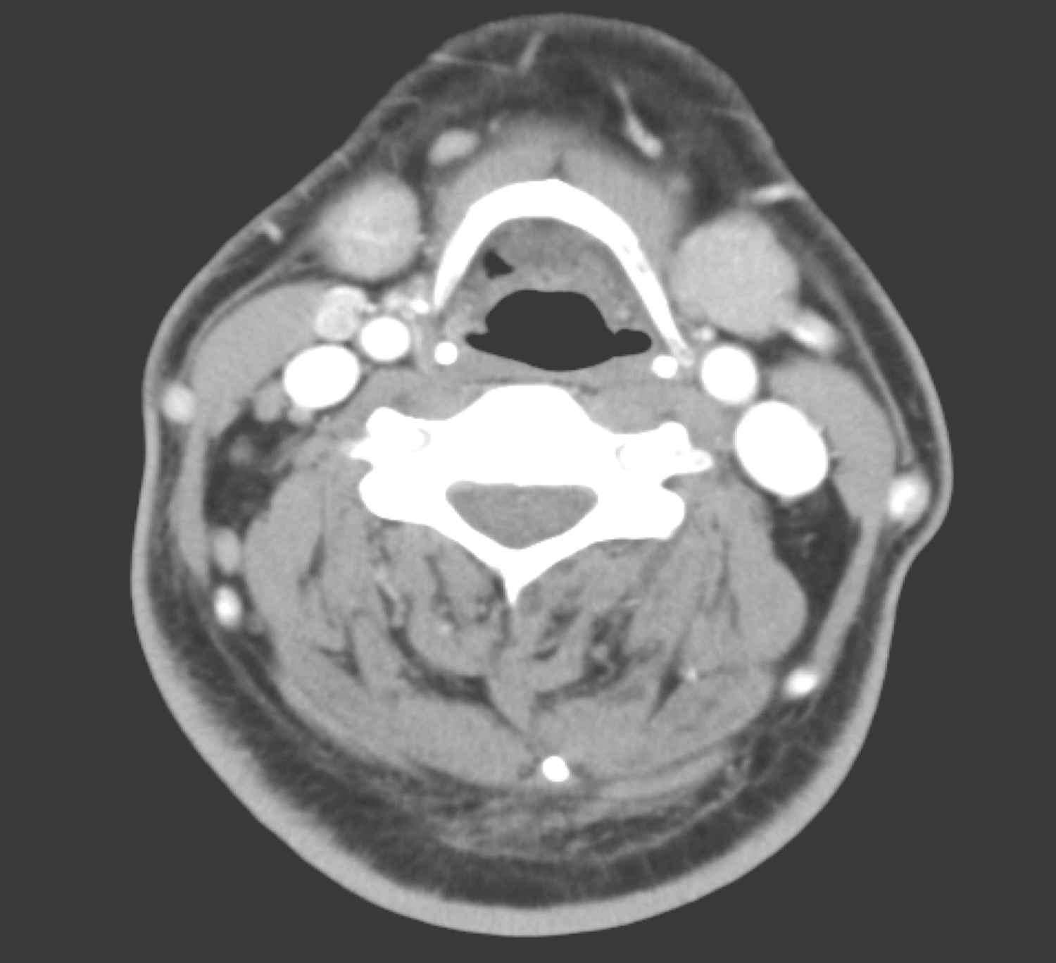
双颈深、右下颈甲状腺旁、双侧锁骨上、气管前、可见多发淋巴结肿大,部分明显强化,大者约1.2cm×0.9cm(图4~图6);余颈未见明显肿大淋巴结。

图3 颈部CT示甲状腺左右叶内低密度结节

图4 颈部增强CT示右颈肿大淋巴结

图5 颈部增强CT示双颈多发肿大淋巴结

图6 颈部增强CT示气管前及锁骨上肿大淋巴结
双肺可见淡片影,余肺未见明确异常。纵隔、肺门未见明显肿大淋巴结。双侧胸腔、心包未见积液。
影像学诊断:
(1)甲状腺病变,考虑恶性,请结合超声。
(2)双颈、锁骨上淋巴结,应警惕转移。
(3)双肺淡片影,请随诊。
3.2013年10月11日,血清降钙素(CAL)844pg/ml。
【入院诊断】
甲状腺髓样癌,双颈淋巴结转移。
【治疗经过】
2013年10月14日全麻下行甲状腺全切除,双颈淋巴结清扫(Ⅱ~Ⅵ区、Ⅶ区)。
手术过程:
经口腔插管给予全麻,常规消毒铺巾,取颈前领式切口,切开皮肤皮下组织及部分颈阔肌,分离翻瓣;切取左侧颈部淋巴结冰冻病理检查:左颈淋巴结转移癌,首先考虑甲状腺髓样癌,请待石蜡进一步证实。即向两侧延长切口至斜方肌前缘,颈阔肌下分离皮瓣后,游离胸锁乳突肌,解剖颈动脉鞘和副神经,分别完成双侧颈淋巴结清扫(Ⅱ~Ⅴ区);切开颈白线,分离带状肌,游离双侧甲状腺,探查所见:甲状腺左叶上极直径1.0cm硬结,光滑;右叶中上直径1.5cm硬结;左Ⅵ区直径约0.5cm淋巴结,光滑,质硬;右Ⅵ多发肿大淋巴结,相互融合,侵及包绕喉返神经近喉段1.0cm左右;Ⅶ区见直径1.0cm左右淋巴结,光滑,质硬;故行甲状腺全切除,双Ⅵ区及Ⅶ区淋巴结清扫,同时切除受累的右侧喉返神经。创面彻底止血后冲洗,置负压引流管,逐层关闭切口,清醒后安返病房。
【术后处理】
1.密切监测生命体征。
2.密切观察颈部伤口和颈部引流,引流量每日少于10ml可拔除引流管。
3.监测血清降钙素、CEA、PTH、血钙等变化。2013年10月16日癌胚抗原(CEA)30.09ng/ml;术后第1天测血清降钙素51.1pg/ml,PTH 6.4pg/ml,血钙1.93mmol/L;术后第3天测CEA 30.09ng/ml。
4.静脉及口服补钙,预防低钙血症。
5.口服左甲状腺素替代治疗。
【术后病理】
(甲状腺左叶)、(甲状腺右叶)甲状腺髓样癌,肿瘤呈多灶(3灶)分布,最大者2cm×1cm×1cm,累及被膜外纤维脂肪组织。左叶周围见甲状旁腺。
(甲状腺峡部)甲状腺组织,未见癌。
淋巴结转移性癌(20/71),部分累及被膜外。
(1)(左颈Ⅳ区淋巴结1)冰1 1/1
(2)(左颈Ⅳ区淋巴结2)冰2 0/1
(3)(左颈Ⅲ区淋巴结1)冰3 0/1
(4)(左颈Ⅲ区淋巴结2)冰4 1/1
(5)(左颈Ⅳ区清扫)1/2
(6)(左颈Ⅲ区清扫)3/7
(7)(上纵隔清扫)0/1
(8)(右气管食管沟清扫)0/4
(9)(右颈Ⅱ区清扫)9/14
(10)(右颈Ⅲ区清扫)0/3
(11)(右颈Ⅳ区清扫)1/13
(12)(右颈Ⅴ区清扫)3/9
(13)(左颈Ⅱ区清扫)0/6
(14)(左颈Ⅴ区清扫)0/7
(15)(左Ⅵ区清扫)0,胸腺组织。
(16)(左Ⅶ区清扫)0,胸腺组织。
(17)(右Ⅵ区清扫)1/1,另见甲状旁腺。免疫组化:AE1/AE3(+),CEA(+++),Calcitotin(+++),ChroA(+),CD56(++),Syna(+++),TTF1(+++),PTH(-),TG(-),Ki-67(+,<2%)。淋巴结转移癌:CEA(+++),TG(-),TTF-1(+++)。pTNM分期:T3(m)N1。
【术后随诊】
1.2013年12月16日,实验室检查:癌胚抗原(CEA)2.12ng/ml,血清降钙素(CAL)5.11pg/ml,甲状旁腺素(PTH)4.56pg/ml。
2.2014年4月16日,实验室检查:癌胚抗原(CEA)1.02ng/ml,血清降钙素(CAL)5.09pg/ml,甲状旁腺素(PTH)21.68pg/ml。
3.2014年10月8日,颈部超声:双侧甲状腺术后缺如,局部未见明显病灶。双颈部可见数个低回声结节,最大位于右上颈,0.7cm×1.7cm,边界清楚,未见明显血流信号。提示:双颈部多发肿大淋巴结,符合炎性,随诊。
4.2014年10月8日,X线胸片:未见明确异常。
5.2014年10月9日,实验室检查:癌胚抗原(CEA)1.12ng/ml,血清降钙素(CAL)4.98pg/ml,甲状旁腺素(PTH)21.57pg/ml。
6.2015年10月9日,实验室检查:癌胚抗原(CEA)1.21ng/ml,血清降钙素6.88pg/ml(0~8.4),甲状旁腺素(PTH)34.30pg/ml。
7.2015年10月9日,胸片:未见明显异常。
8.2015年10月10日,颈部超声:双侧甲状腺术后缺如,术区未见明显异常回声。双侧颈部未探及明显异常肿大淋巴结。提示甲状腺术后改变。
9.2016年10月18日,实验室检查:血清降钙素(CAL)7.66pg/ml,甲状旁腺素(PTH)31.99pg/ml。
10.2016年10月18日,胸片:未见异常。
11.2016年10月20日,颈部超声:甲状腺双叶术后缺如,术区未见明显结节及肿物。双颈未见明确肿大淋巴结。
12.2017年3月28日,实验室检查:癌胚抗原(CEA)1.03ng/ml,血清降钙素9.35pg/ml,甲状旁腺素(PTH)29.63pg/ml。
13.2017年3月29日,颈胸部CT:“甲状腺髓样癌术后3年余”复查,参阅2013年10月10日术前颈胸部CT图像,所见如下:
(1)甲状腺术后缺如,术区局部未见明显肿物,请结合超声检查。
(2)双侧腮腺区、双侧颌下、右颈部皮下多发小淋巴结,大者短径约0.7cm,请结合超声一并随诊。
(3)双侧上颌窦轻度炎症,建议随诊;鼻咽、口咽、喉部、下咽未见明确异常。
(4)双肺多发小淡片影,双后胸膜局限性增厚,同前,建议随诊;余肺未见明确异常。
(5)纵隔、双肺门未见明显肿大淋巴结。
(6)双侧胸腔、心包未见积液。
14.2017年10月9日,实验室检查:癌胚抗原(CEA)1.02ng/ml,血清降钙素9.09pg/ml,甲状旁腺素(PTH)28.54pg/ml。
【专家点评】
甲状腺髓样癌颈部淋巴转移较常见,转移的部位一般为气管食管沟或颈内静脉周围淋巴结,随着淋巴循环的改变,经过气管前和气管旁淋巴结通往对侧或上纵隔淋巴结。甲状腺髓样癌早期容易发生颈淋巴转移,据文献报道,颈淋巴总转移率为60%~80%。对于甲状腺髓样癌颈部的处理,目前国内外仍未达成共识。2015年3月美国甲状腺协会(ATA)公布了甲状腺髓样癌的管理指南修订版,指南推荐对甲状腺髓样癌建议全甲状腺切除,中央区淋巴结清扫;术前影像检查侧颈淋巴结转移,应行侧颈淋巴结清扫(Ⅱ~Ⅴ区);术前影像检查侧颈淋巴结无转移,可依据血清降钙素的水平考虑侧颈淋巴结清扫(Ⅱ~Ⅴ区);术前影像检查同侧颈淋巴结转移,对侧颈淋巴结无转移,如果血清降钙素超过200pg/ml,应考虑对侧颈淋巴结清扫(Ⅱ~Ⅴ区);而2018年NCCN第1版甲状腺癌指南,对甲状腺髓样癌推荐甲状腺全切除;单侧病变、肿瘤直径小于1cm,建议清扫同侧Ⅵ区淋巴结,其余均推荐清扫双侧Ⅵ淋巴结;对临床或影像明确侧颈转移的患者,建议同侧或双侧治疗性颈淋巴结清扫(Ⅱ~Ⅴ区),而对中央区广泛转移cN0患者,可考虑同侧预防性颈淋巴结清扫。我们的资料显示,Ⅲ、Ⅳ、Ⅵ区是甲状腺髓样癌主要的淋巴转移区域,因此,我们提倡行Ⅵ区淋巴结清扫加患侧全颈淋巴结清扫术。这样涵盖了Ⅴ区的淋巴清扫,消除了潜在的约11.4%的转移概率;同时显示,甲状腺髓样癌对侧颈部淋巴转移率为12.5%,相对来讲对侧淋巴转移率低,随着近年来超声技术的发展和诊断水平的提高,对cN0患者,无论同侧还是对侧,不建议预防性淋巴结清扫。
上纵隔淋巴转移是甲状腺髓样癌的一个特点,我们资料显示对于淋巴结直径不超过2cm,且无包膜外侵犯时,一般可以考虑经颈部切口行上纵隔淋巴清扫术,对于淋巴结直径大于2cm或考虑有淋巴结包膜外侵者,需采取胸骨劈开上纵隔淋巴清扫术。我们的资料显示甲状腺髓样癌上纵隔淋巴转移率为27.%左右。上纵隔淋巴转移可能是Ⅵ区淋巴结沿喉返神经向下引流至上纵隔,或是通过气管前或气管旁淋巴结引流至上纵隔,而上纵隔淋巴转移可能是发生肺转移的重要原因。因此对Ⅵ区淋巴结较大或较多时,我们主张行选择性上纵隔淋巴清扫术,避免因上纵隔淋巴转移而导致肺门淋巴转移或肺转移的发生。对于手术方式来讲,经颈部领式切口适合于初次手术或转移的淋巴结位于前上纵隔,胸骨部分劈开适合于转移的淋巴结位于主动脉弓以上,全胸骨劈开术式适合于转移的淋巴结位于主动脉弓以下的位置。
因此,对甲状腺髓样癌颈部cN0患者可行同侧Ⅵ区淋巴结清扫;对颈部cN+患者可行同侧Ⅱ~Ⅵ区淋巴结清扫;对双侧甲状腺病灶或双颈淋巴结转移患者,可行双侧Ⅱ~Ⅵ区淋巴结清扫;对气管前或气管旁有多枚淋巴结转移患者,可行上纵隔淋巴结清扫;对影像学上发现上纵隔淋巴结转移,应依据转移淋巴结的位置和特点选择上纵隔淋巴结清扫的方式。
该患者术前结合影像学检查和实验室检查,诊断甲状腺髓样癌双颈淋巴结转移是成立的。根据影像学检查显示的肿瘤范围,制定了甲状腺全切除,双侧Ⅱ~Ⅵ区和上纵隔淋巴结清扫,术中通过快速冰冻病理检查证实甲状腺髓样癌颈部淋巴结转移后完成手术。术中发现右Ⅵ区转移淋巴结,相互融合,且侵及包绕喉返神经近喉段,为彻底切除肿瘤同时切除受累的右侧喉返神经。术后通过检查癌胚抗原和血清降钙素,了解肿瘤切除是否彻底、肿瘤是否复发和转移。患者术前癌胚抗原(CEA)30.09ng/ml,血清降钙素(CAL)844pg/ml,术后第1天癌胚抗原(CEA)30.09ng/ml(参考值0~5ng/ml),血清降钙素51.1pg/ml,术后第3天测CEA30.09ng/ml。癌胚抗原和降钙素的降解需要一个过程,具体术后多长时间降到正常范围,受肿瘤分期和代谢的影响;该患者术后2个月复查,癌胚抗原(CEA)2.12ng/ml,血清降钙素(CAL)5.11pg/ml,均降为正常,说明肿瘤切除干净,且随后的3年中均未升高,同时影像学检查也未发现复发和转移。因此,术前必要的影像检查很重要,可了解肿瘤的范围,是制定合理的手术方案的重要依据;术中果断处理是彻底切除肿瘤的前提,该患者术中发现转移淋巴结侵及喉返神经,为根除肿瘤,在确保对侧喉返神经正常的前提下,切除受累的喉返神经,如果双侧喉返神经受累,切除受累的喉返神经能够根除肿瘤,应给予切除,然后气管造瘘,虽然生活质量有所下降,但患者能够生存。术后检测癌胚抗原和血清降钙素有利于早期发现肿瘤复发和转移。
知识来源
人卫知识数字服务体系
- 评价此内容
- 我要打分
近期推荐
热门关键词
最新会议
- 2013循证医学和实效研究方法学研讨会
- 欧洲心脏病学会年会
- 世界帕金森病和相关疾病2013年会议
- 英国介入放射学学会2013年第25届年会
- 美国血液学会2013年年会
- 美国癫痫学会2013年第67届年会
- 肥胖学会 2013年年会
- 2013年第9届欧洲抗体会议
- 国际精神病学协会 2013年会议
- 妇科肿瘤2013年第18届大会
- 国际创伤压力研究学会2013年第29届…
- 2013年第4届亚太地区骨质疏松症会议
- 皮肤病协会国际2013年会议
- 世界糖尿病2013年大会
- 2013年国际成瘾性药年会
- 彭晓霞---诊断试验的Meta分析
- 武姗姗---累积Meta分析和TSA分析
- 孙凤---Network Meta分析
- 杨智荣---Cochrane综述实战经验分享
- 杨祖耀---疾病频率资料的Meta分析
合作伙伴
Copyright g-medon.com All Rights Reserved 环球医学资讯 未经授权请勿转载!
网络实名:环球医学:京ICP备08004413号-2
关于我们|
我们的服务|版权及责任声明|联系我们
互联网药品信息服务资格证书(京)-经营性-2017-0027
互联网医疗保健信息服务复核同意书 京卫计网审[2015]第0344号




会员登录

