一例甲状腺癌侵及气管、食管及双侧颈部淋巴结转移诊治经验分享
18岁男性,因颈部肿物2年,活动后气促2月余,外院气管切开后10天收入头颈外科。根据患者年轻、术前病理为分化差的鳞癌、肿瘤侵犯气管和喉返神经、2年病史的特点,是否需要进行手术?
【病例简介】
患者男性,18岁。因颈部肿物2年,活动后气促2月余,外院气管切开后10天于2014年6月20日收入头颈外科。2年前无意中发现颈部肿物,无任何不适,未予重视。2个月前患者无明显诱因出现活动后气促,当地医院考虑气胸、哮喘,给予相应治疗,具体不详,效果不佳。10天前去当地省级肿瘤医院检查发现颈部肿物,PET-CT显示颈段气管癌伴软组织弥漫性浸润,甲状腺受侵犯,气管狭窄,颈部淋巴结转移,左侧气胸。当地医院行气管切开+颈前肿物活检术。术后病理报告:(颈前)纤维、横纹肌组织内转移或浸润癌(结合酶标结果首先考虑甲状腺来源)。本院病理会诊示:(甲状腺)纤维组织中见分化差的癌,结合免疫组化结果支持低分化鳞癌,甲状腺来源可能大。患者无声音嘶哑、吞咽不适、呛咳等,为进一步治疗收入院。发病以来,精神尚可,食欲尚可,大小便基本正常,体重无明显变化。既往史:否认家族肿瘤遗传病史。查体:颈前气管已经切开,甲状腺区质硬,未触及明确肿物,双颈部可触及多发肿大淋巴结,质中等,活动。
【影像学及特殊检查】
1.2014年6月24日电子鼻咽喉镜检查
鼻腔进镜顺利,未见明显异常。鼻咽未见明显异常。口咽及下咽部未见明显异常。喉部结构清晰,会厌及左、右披裂未见明显异常。双侧声带活动明显减弱(图1)。

图1 喉镜示双侧声带活动明显减弱
检查时患者反应明显,声门下无法观察。
检查所见:
(1)双侧声带活动明显减弱,具体请结合临床。
(2)检查时患者反应明显,声门下无法观察,建议本院进一步检查。
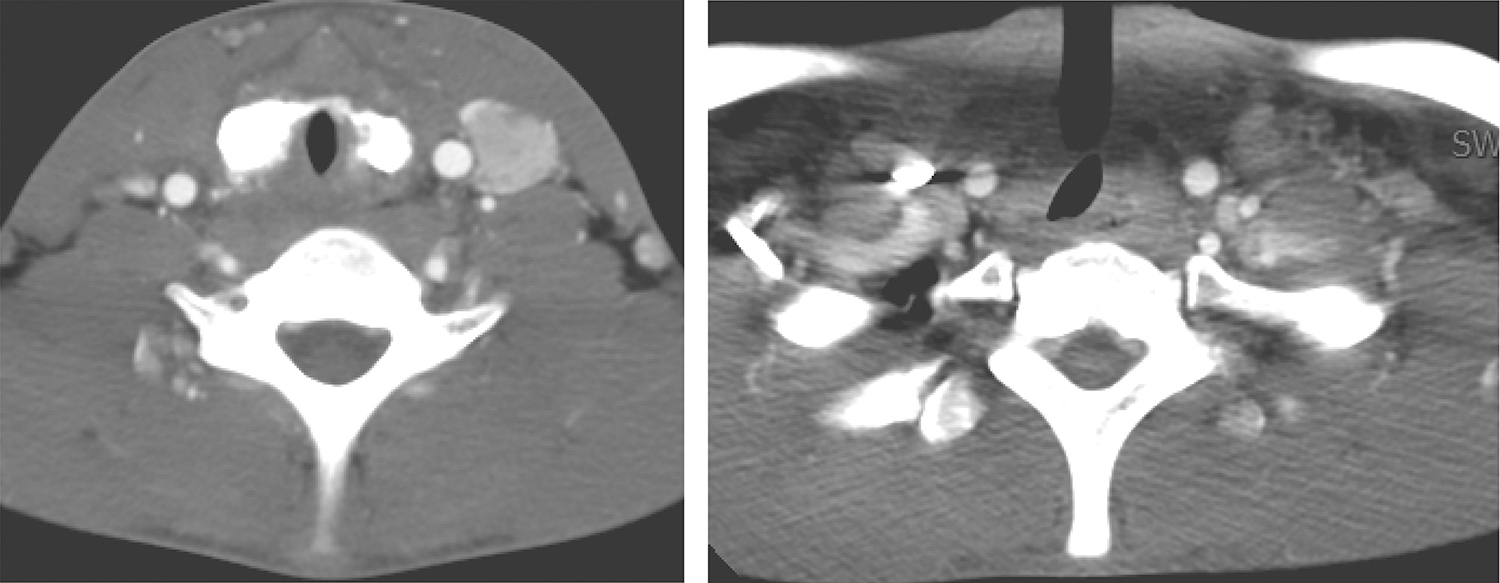
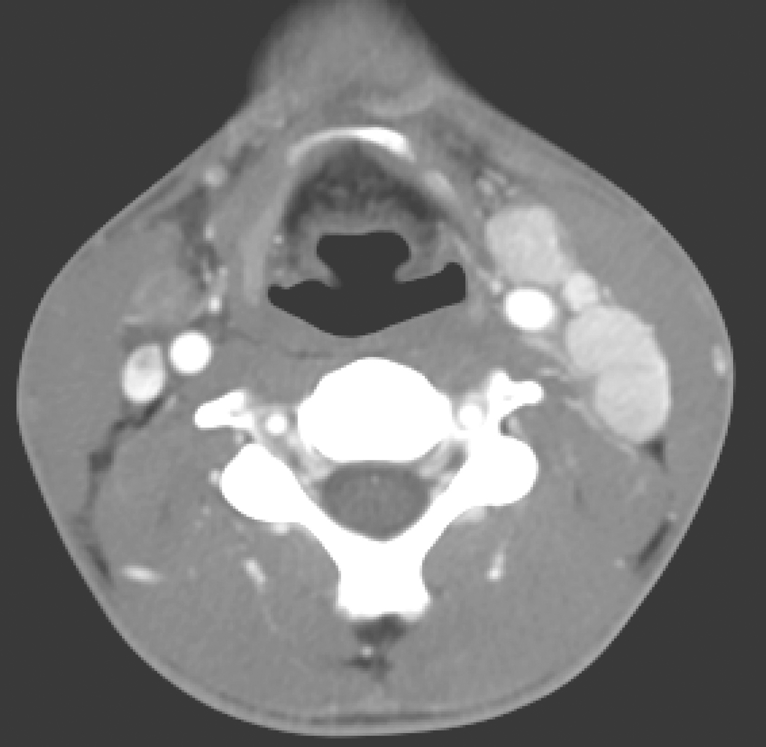
2.2014年6月24日颈胸部CT
甲状腺形态大部分失常、边缘部分毛糙,其周围可见边界不清低密度影(与相邻肌肉密度相仿),与食管分界欠清楚,气管受压变窄(可见气管插管影)(图2)。

图2 颈部增强CT示甲状腺周围边界不清低密度影,气管受压
双侧颈深组、锁骨上及双侧气管食管沟多发肿大淋巴结,较明显强化(图3),大者短径约1.5cm。

图3 颈部增强CT示双侧颈多发肿大淋巴结
左侧上颌窦黏膜下囊肿。咽、喉、腮腺、颌下腺及余扫描所示鼻窦未见明确肿物。
右肺斜裂区浅淡细条索、右胸膜下微小类结节。余双肺未见明确结节与实变。余纵隔及双肺门未见明确肿大淋巴结。
双侧胸腔及心包未见积液。
扫描范围内第11胸椎椎体中部可见一不规则裂隙、边缘较光滑密度较高。
影像学诊断:
(1)甲状腺病变、考虑恶性,范围详述如上。
(2)双侧颈深、锁骨上及气管食管沟多发肿大淋巴结,考虑转移。
(3)左侧上颌窦黏膜下囊肿。
(4)右肺胸膜下细条索、微小类结节,建议随诊。
(5)第11胸椎椎体改变,先天发育畸形?建议结合临床考虑。
3.2014年6月24日超声
“气管切开术后”,甲状腺观察不满意,内见粗大钙化,甲状腺回声不均。双颈、双侧锁骨上多发低回声结节,右侧大者约1.9cm×1.2cm,左侧大者约2.6cm×1.1cm,CDFI可见较丰富血流信号。
超声诊断:
(1)甲状腺内粗大钙化,考虑甲状腺癌可能大。
(2)双颈、双侧锁骨上多发淋巴结转移。
4.病理会诊
(甲状腺)纤维组织中见分化差的癌,结合免疫组化结果支持低分化鳞癌,甲状腺来源可能大。
【入院诊断】
甲状腺鳞癌双颈淋巴结转移,双侧喉返神经麻痹,外院气管切开术后。
【治疗经过】
2014年6月25日在全身麻醉下,做甲状腺部分切除、左颈淋巴结活检术。经气管切开处插管给予全麻后常规消毒铺巾,先行左上颈部弧形切口,分开胸锁乳突肌与颈内静脉,切除2枚淋巴结关闭伤口。后行正中切开伤口,分开带状肌,解剖环甲膜,探查示:甲状腺峡部及双侧甲状腺均为肿瘤占据,下缘为气管切开口。切除甲状腺峡部和部分双侧甲状腺及肿瘤,冰冻病理检查示分化差的癌,关闭伤口。
2014年7月3日术后病理:
(甲状腺峡部)、(部分左叶)、(部分右叶)纤维结缔组织及横纹肌组织内见分化差的癌浸润,结合免疫组化结果及淋巴结转移形态,符合分化差的甲状腺乳头状癌伴鳞状分化。淋巴结转移性乳头状癌(2/2),可见脉管癌栓,肿瘤累及淋巴结被膜外组织。
2014年7月9日再次全麻下行全甲状腺切除,气管袖状切除,气管造瘘,双侧颈Ⅱ~Ⅵ区淋巴结清扫。经气管切开切口插管全麻成功后,常规术野消毒铺巾,行中颈部沿皮纹弧形切开皮肤皮下颈阔肌,游离皮瓣。探查如下:
双颈部多发肿大淋巴结,双侧颈Ⅱ区多发淋巴结肿大,0.5~2.5cm,质硬,累及肌肉少许;双侧颈Ⅲ区多发淋巴结肿大,0.5~2.5cm,质硬,累及交感干。双侧颈Ⅳ区多发淋巴结肿大,0.5~3.0cm,质硬,活动,向锁骨下伸展,均与颈内静脉粘连,可分开。双侧颈Ⅴ区多发小淋巴结。双侧甲状腺弥漫性肿瘤,左侧5cm×4cm×3cm,右侧6.5cm×4cm×3cm,双侧肿瘤侵犯包裹喉返神经,不能分开,侵犯气管环2个,另侵犯带状肌、咽缩肌、食管肌层。双侧颈Ⅵ区多发淋巴结肿大,0.5~1.5cm,质硬。
行双侧颈Ⅱ~Ⅵ区淋巴结清扫,保留双侧胸锁乳突肌、颈内静脉和副神经。切除颈前双侧带状肌、甲状腺及受侵犯的喉返神经,术中因肿瘤累及广泛,未见甲状旁腺。气管2~4环全周切除,切除部分食管受侵犯肌层,保留食管黏膜和黏膜下层,将气管断端上下拉拢缝合,并于气管切开处行气管皮肤造瘘。
本例特点:肿瘤累及广泛,淋巴结转移较多,手术切除尚满意,至少肉眼切净,术后需要放疗和131I治疗。
【术后处理】
1.保持气道通畅,雾化防止痰痂形成,清理气管造瘘口痰液,保持干净。
2.注意伤口及引流情况。
3.应用抗生素预防感染。
4.术后可经口腔进食。
【术后病理】
2014年7月16日病理报告:“气管切开术后”。
甲状腺右叶、右气管食管沟淋巴结和带状肌:甲状腺癌。部分呈乳头状,部分呈实性、筛状,符合甲状腺乳头状癌,筛状癌亚型,伴大量沙砾样钙化,侵犯被膜外横纹肌组织,局灶可见神经侵犯。
甲状腺左叶、左气管食管沟淋巴结和带状肌:甲状腺癌。部分呈乳头状,部分呈实性、筛状,符合甲状腺乳头状癌,筛状癌亚型,伴大量沙砾样钙化,侵犯被膜外横纹肌组织,局灶可见神经侵犯。癌旁纤维组织中见异物(缝线)肉芽肿反应及炎细胞浸润,符合术后改变。另见少许甲状旁腺组织。
淋巴结转移性癌(38/129),符合甲状腺乳头状癌。
(1)(左颈2区淋巴结)1/20,另于纤维组织中见多核巨细胞反应,符合术后改变。
(2)(左颈3区淋巴结)6/25,3枚累及淋巴结被膜外纤维组织。
(3)(左颈4区淋巴结)8/12,3枚累及淋巴结被膜外纤维组织。
(4)(左颈5区淋巴结)0/9。
(5)(右颈2区淋巴结)4/15,2枚累及淋巴结被膜外纤维组织。
(6)(右颈3区淋巴结)3/3,1枚累及淋巴结被膜外纤维组织,1枚累及淋巴结被膜外横纹肌组织。
(7)(右颈4区淋巴结)6/15,3枚累及淋巴结被膜外纤维组织。
(8)(右颈5区淋巴结)1/21,累及淋巴结被膜外纤维组织,邻近神经纤维。
(9)(甲状腺右叶、右气管食管沟淋巴结和带状肌)4/4,1枚累及淋巴结被膜外纤维组织。
(10)(甲状腺左叶、左气管食管沟淋巴结和带状肌)5/5,4枚累及淋巴结被膜外纤维组织。
(11)(气管壁)冰:纤维组织中可见癌组织浸润,组织烧灼,观察欠清楚,符合甲状腺乳头状癌。
(12)(左交感神经肿物)纤维组织中可见癌组织浸润,符合甲状腺乳头状癌,未累及神经纤维组织。
(13)(部分颈段气管)支气管黏膜固有层-外膜可见癌组织浸润,符合甲状腺乳头状癌。
【术后治疗】
因肿瘤累及广泛,不能达到充分安全界,且病理分化差,恶性程度较高,需要术后进行放射治疗,故行术后放疗65Gy,131I治疗一次,150mCi。
【术后随诊】
1.放疗后3个月堵管后无呼吸困难,拔除气管套管,当地医院检查喉镜未见明显异常,双侧声带旁正中位固定。
2.2014年9月19日颈胸腹部CT:甲状腺癌外院术后,参阅2014年7月18日胸腹部CT图像
(1)甲状腺癌术后,气管切开、插管术后改变,扫描范围内胸内气管周围软组织不规则略厚,最大厚度约0.6cm,请随诊。
(2)双上颌窦黏膜略厚,考虑炎症。
(3)双颈淋巴结清扫术后,未见明确肿大淋巴结。
(4)双肺未见明确结节及实变影。
(5)纵隔、双肺门未见明确肿大淋巴结。
(6)原右侧气胸,现基本吸收。心包、双侧胸腔未见积液。
(7)肝脏、胆囊、胰腺、脾脏、双侧肾上腺、双肾未见明确异常。
(8)腹腔、腹膜后未见异常肿大淋巴结。未见腹水。
(9)约第11椎椎体先天性发育不全,同前相仿。
3.术后近4年复查未见肿瘤复发和转移征象。
【专家点评】
该患者有几个特点:年轻、术前病理为分化差的鳞癌(临床上属于甲状腺未分化癌一类)、肿瘤侵犯气管和喉返神经、2年病史。
从病史发现患者的肿瘤可能来源于甲状腺,但是分化很差,肿瘤累及范围广泛这些特点看,患者手术的机会不大。对于甲状腺低分化鳞癌且肿瘤累及范围广泛来说,患者手术不易切净,术后复发转移概率很高,预后很差,对于医生来讲一般就会有一个这样的概念。但是从患者的病史和年龄来看,又带来一希望:既往文献“重新认识甲状腺未分化癌”中提到,年轻患者生存率明显高于老年患者;另外这个病史2年也提供了一个非常有力的可能性,试想一个高度恶性肿瘤患者的肿瘤能够生长2年,可以说肿瘤的恶性程度没有想象中的那么严重。综合以上两点,多次头颈MDT综合查房决定重新取得病理再决定是否手术。结果重新取病理提示甲状腺乳头状癌鳞状分化,不属于纯粹的低分化鳞癌,决定进行手术。
术中需要注意的几点:
1.双颈部淋巴结转移较大较多,清扫范围为Ⅱ~Ⅵ区,为了防止双侧颈内静脉受侵犯不能保留的情况,可以先保留颈外静脉,以防止静脉回流受阻。
2.甲状腺肿瘤累及气管、喉返神经,甚至食管。术中尽可能切净肿瘤作为首选。术中气管需要解剖清楚,与肿瘤的间隙要辨别清楚,既需要切净肿瘤,又需要尽可能保留好正常的气管。因肿瘤和食管关系密切,术中切除受侵犯的食管肌层,尽可能保留好食管的黏膜和黏膜下层,防止出现食管瘘。
正常情况下,切除2个气管环都可以直接拉拢缝合气管,称气管袖状切除,但是该患者双侧喉返神经麻痹,如果直接将气管拉拢缝合,术后会出现呼吸困难的情况,所以将气管大部分缝合后,前壁与皮肤造瘘,避免术后呼吸困难。
3.病理检查结果显示属于一种比较特殊的甲状腺乳头状癌,筛状癌亚型,恶性程度较高。结合手术周围安全界不充分,术后采用了放疗,用于控制颈部的复发和淋巴结转移。术后131I治疗用于发现和控制远处转移,结果未见其他部位吸碘,未再继续应用。
4.术后放疗后3个月恢复好,拔除气管套管。如果不能拔管,可至耳鼻喉科切除一侧杓状软骨,扩大声门间隙,再拔管。
5.术后近4年复查未见局部复发和淋巴结转移,未见远处转移,超出了原来的预想。从这一点可以看出,即使是再晚期的甲状腺肿瘤也尽可能给予外科治疗的机会。
知识来源
人卫知识数字服务体系
- 评价此内容
- 我要打分
近期推荐
热门关键词
最新会议
- 2013循证医学和实效研究方法学研讨会
- 欧洲心脏病学会年会
- 世界帕金森病和相关疾病2013年会议
- 英国介入放射学学会2013年第25届年会
- 美国血液学会2013年年会
- 美国癫痫学会2013年第67届年会
- 肥胖学会 2013年年会
- 2013年第9届欧洲抗体会议
- 国际精神病学协会 2013年会议
- 妇科肿瘤2013年第18届大会
- 国际创伤压力研究学会2013年第29届…
- 2013年第4届亚太地区骨质疏松症会议
- 皮肤病协会国际2013年会议
- 世界糖尿病2013年大会
- 2013年国际成瘾性药年会
- 彭晓霞---诊断试验的Meta分析
- 武姗姗---累积Meta分析和TSA分析
- 孙凤---Network Meta分析
- 杨智荣---Cochrane综述实战经验分享
- 杨祖耀---疾病频率资料的Meta分析
合作伙伴
Copyright g-medon.com All Rights Reserved 环球医学资讯 未经授权请勿转载!
网络实名:环球医学:京ICP备08004413号-2
关于我们|
我们的服务|版权及责任声明|联系我们
互联网药品信息服务资格证书(京)-经营性-2017-0027
互联网医疗保健信息服务复核同意书 京卫计网审[2015]第0344号




会员登录

