一例声门上型喉癌水平部分喉切除术+肺癌化疗经验分享
58岁男性,1个月前在医院通过支气管镜检查发现喉部肿物,活检病理为鳞状上皮呈重度非典型增生。1个月前行胸部CT检查发现右肺结节。如何处理?
【病例简介】
患者男性,58岁。因体检发现喉部肿物1个月,于2016年11月28日入院治疗。患者1个月前在当地医院通过支气管镜检查发现喉部肿物,活检病理为重度非典型增生的鳞状上皮;患者为进一步诊治来本院。本院喉镜提示:会厌根部可见扁平息肉样病变,表面呈桑葚样,向下延伸到右侧室带前端;活检病理:会厌根部鳞状上皮黏膜组织,部分上皮细胞中度异型增生,部分呈重度异型增生/原位癌,病人家属要求手术收入我科。发病以来,患者无吞咽不适、呛咳、憋气、耳痛等症状,精神好,食欲好,大小便基本正常,体重无明显变化。既往史:否认结核、肝炎等传染病史。1个月前行胸部CT检查发现右肺结节,未予处理。患有糖尿病19年,使用二甲双胍、胰岛素等药物治疗。吸烟史40年,20支/天。家族史:否认家族肿瘤遗传病史。
【影像学、特殊检查及实验室检查】
1.2016年11月17日电子内镜检查
鼻腔进镜顺利。鼻咽部结构完整,黏膜光滑,未见明显异常。口咽双侧扁桃体未见肿大。舌根部淋巴滤泡增生。下咽部表面基本平整,未见明显异常。喉部双侧披裂基本对称。会厌根部可见扁平息肉样病变(活检3块),表面呈桑葚样,向下延伸到右侧室带前端(图1)。左侧室带表面尚完整。双侧声带光滑,未见侵及,双侧声带活动正常。

图1 会厌根部不平新生物
引自:头颈部肿瘤多学科诊疗病例精选.第1版.ISBN:978-7-117-27929-1.主编:李正江
内镜诊断:会厌根部肿物(性质待病理检查)。
2.2016年11月21日会厌根部活检病理
鳞状上皮黏膜组织,部分上皮细胞中度异型增生,部分呈重度异型增生/原位癌。
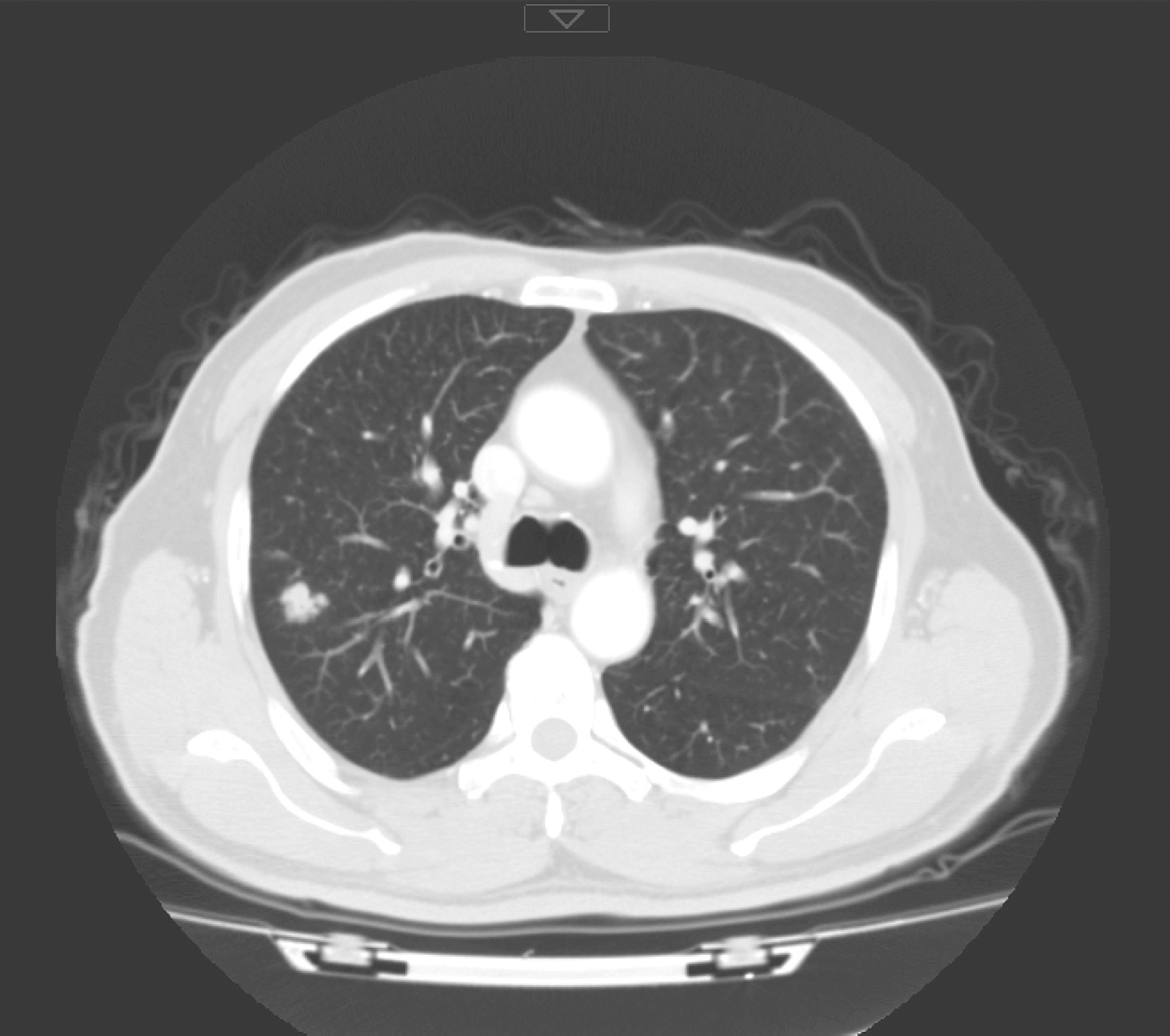
3.2016年11月28日颈胸部CT
检查所见:会厌根部局部略不均匀,舌根部见结节样不均匀强化,余咽喉未见明确肿物。双颈未见明确肿大淋巴结。右肺上叶后段结节,最大截面约1.4cm×1.0cm,边界尚清,边缘见少许毛刺及条索,周边见多个小结节(图2)。余肺未见明确结节或肿物。纵隔及肺门未见明确肿大淋巴结。未见胸腔积液、心包积液。

图2 右肺上叶后段结节
引自:头颈部肿瘤多学科诊疗病例精选.第1版.ISBN:978-7-117-27929-1.主编:李正江
影像学诊断:
(1)会厌根部局部略不均匀,请结合镜检。
(2)舌根部结节样不均匀强化,滤泡增生?请结合临床检查。
(3)右肺上叶后段病灶,考虑结核较肿瘤可能大,请结合临床。
4.血清结核抗体试验(anti-TB)
阴性。
【入院诊断】
喉癌(声门上型T2N0M0)。
右肺结节。
糖尿病。
【治疗经过】
2016年11月30日全身麻醉下行水平部分喉切除术+气管切开术+甲状腺峡部切除术。
手术过程:
1.经口腔插管予以麻醉,麻醉成功后常规消毒铺巾。
2.颈前根部纵形切口切开皮肤皮下及颈白线,见甲状腺峡部增大,游离后予以切除,暴露气管前壁,切开气管更换麻醉插管。
3.舌骨水平切口,颈阔肌下分离皮瓣,切断舌骨上下肌群,去除舌骨,切开颈白线,将舌骨下肌群下翻至甲状软骨中部,甲状软骨上缘切开外软骨膜,游离甲状软骨上1/2,予以剪断;会厌谷切开进咽腔,将会厌拉出,切开两侧会厌咽皱襞和杓会厌皱襞,探查喉腔见会厌喉面根部大小1.0cm×1.0cm黏膜粗糙隆起,呈桑葚样,未累及双侧室带和前联合;即沿右侧喉室、前联合和左喉室切开将水平部分喉切除。切取切缘送冰冻病理检查均未见癌,创面止血后冲洗术野,将残喉和舌根拉拢缝合关闭咽腔,放置引流,逐层关闭切口,清醒后拔除麻醉管,更换气管套管,安返病房。
术中冰冻病理检查:
右侧喉室切缘:被覆鳞状上皮的黏膜组织,未见癌;左侧喉室切缘:被覆鳞状上皮及假复层纤毛柱状上皮的黏膜组织,未见癌;前联合切缘:被覆假复层纤毛柱状上皮的黏膜组织,未见癌。
【术后处理】
1.密切监测生命体征。
2.观察伤口及引流情况,引流量每日少于10ml时可拔除引流管。
3.可预防性使用抗生素,避免伤口感染。
4.保持胃管通畅,确保胃肠营养,术后依据患者的恢复情况,适时拔除胃管。
5.气管切开护理,保持气道通畅;术后依据患者的恢复情况,适时拔除气管套管。
【术后病理】
部分喉:喉声门上型中分化鳞状细胞癌,未见明确脉管瘤栓及神经侵犯,肿瘤大小1.6cm×1cm×0.3cm,主要位于会厌喉面根部,侵及黏膜下固有腺体,未累及双侧室带、会厌前间隙、甲状软骨及舌骨。肿瘤周围鳞状上皮黏膜呈重度异型增生/原位癌改变。
冰冻病理检查:右侧喉室切缘、左侧喉室切缘、前联合切缘均未见癌。
甲状腺峡部:结节性甲状腺肿,伴局灶滤泡上皮增生。
pTNM分期:pT1。
【术后随诊】
1.术后3周恢复正常吞咽功能,拔除胃管。
2.术后1个月连续堵管48小时,无呼吸困难拔除气管套管。
3.2017年3月15日电子内镜检查所见:“喉癌术后3个月”,鼻腔进镜顺利。鼻咽部结构完整,黏膜光滑,未见明显异常。口咽双侧扁桃体未见肿大。舌根部淋巴滤泡增生。下咽部表面基本平整,未见明显异常。喉部呈术后改变,会厌切除,双侧披裂保留,术区表面基本平整,左侧声带光滑,右侧声带肿胀明显,双侧声带活动正常(图3)。

图3 电子喉镜:术后3个月
引自:头颈部肿瘤多学科诊疗病例精选.第1版.ISBN:978-7-117-27929-1.主编:李正江
内镜诊断:喉癌术后3个月,喉部呈术后改变,术区表面基本平整,右侧声带肿胀明显,肿瘤征象不明显,请继续随诊。
4.2017年2月8日患者在当地医院结核病科T-SPOT检查,淋巴细胞培养+干扰素测定(A+B)结果均为阳性,即肺部结节确诊为结核,在当地医院给予抗结核治疗。
5.2017年3月15日门诊复查见,胸部CT右肺上叶结节,胸科会诊建议手术或抗结核治疗1个月后复查。
6.2017年11月1日门诊复查电子内镜检查见,喉癌术后10个月,喉部呈术后改变,术区表面基本平整,右侧声带略肿胀,肿瘤征象不明显(图4),请继续随诊。

图4 电子喉镜:术后10个月
引自:头颈部肿瘤多学科诊疗病例精选.第1版.ISBN:978-7-117-27929-1.主编:李正江
7.2017年11月1日喉癌术后颈胸CT复查,参阅术前2016年11月28日CT图像,所见如下:
(1)喉呈术后改变,局部未见明确肿物,请结合喉镜。
(2)甲状腺多个低密度结节,大者约1.2cm,边界较清楚,同前相仿。
(3)鼻咽、口咽及涎腺未见明确肿物。
(4)双颈未见明确肿大淋巴结。
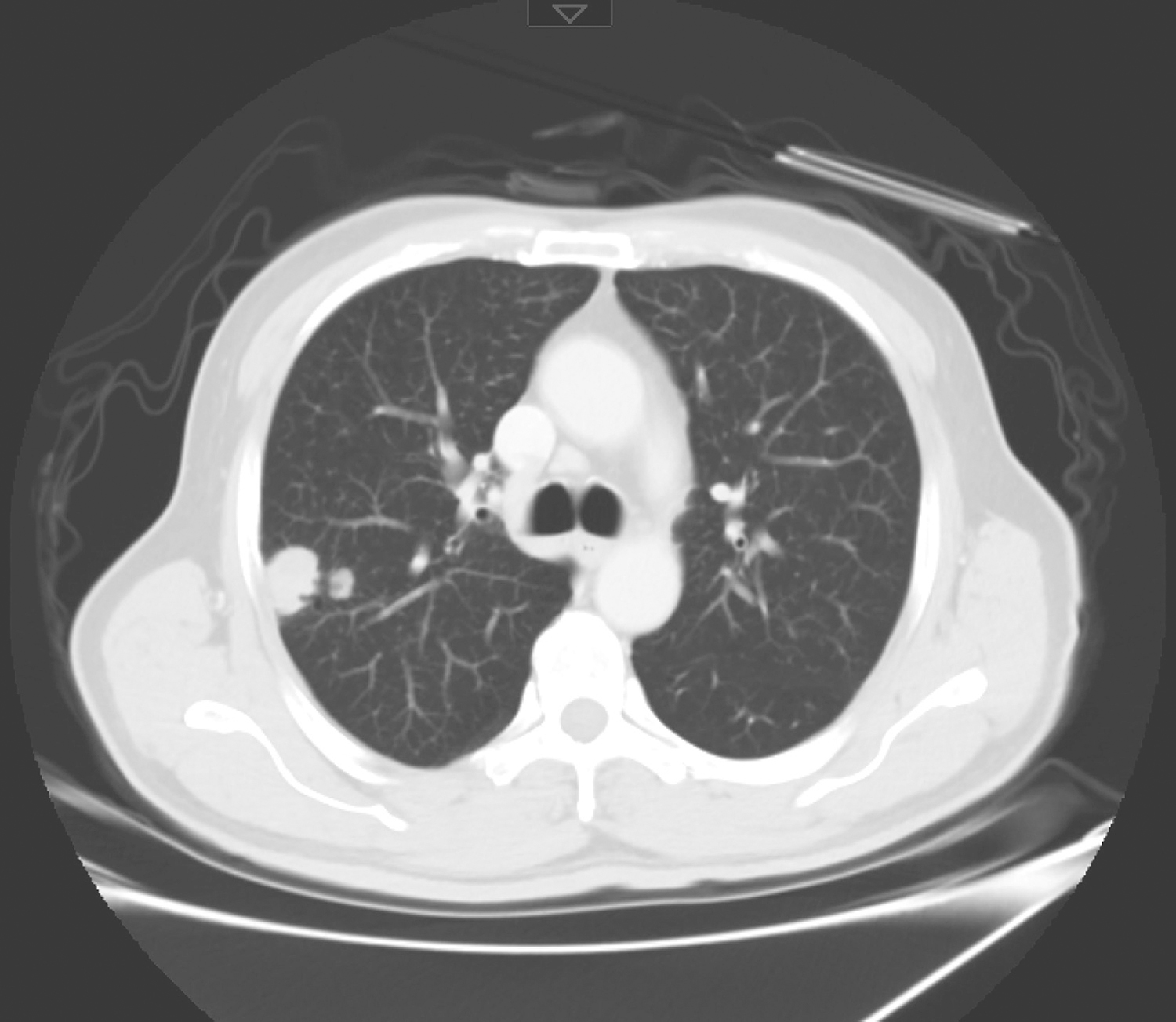
(5)右肺上叶后段多个结节较前增多、增大,部分融合成团,现大者最大截面约2.4cm×1.8cm(图5),需高度警惕恶性,转移瘤或原发肺癌待鉴别,请结合临床,建议活检。余双肺可见多发小结节,部分为新出现,大者约0.4cm,转移瘤可能性大。

图5 右肺上叶后段多个结节较前增多、增大
引自:头颈部肿瘤多学科诊疗病例精选.第1版.ISBN:978-7-117-27929-1.主编:李正江
(6)纵隔见多个淋巴结,较大者约0.9cm。
(7)双侧胸腔及心包未见积液。
8.2017年11月11日脑MR,脑部未见明确异常信号。
9.2017年11月14日CT引导下肺结节穿刺活检,病理检查结果:
(1)2017年11月16日右肺穿刺物:肺组织中见分化差的癌浸润伴坏死,形态提示为鳞状细胞癌,必要时可行免疫组化检测辅助诊断。
(2)2017年12月3日补充报告(右肺穿刺物):肺组织中见低分化鳞状细胞癌浸润伴坏死,建议结合临床情况进一步鉴别原发或转移。免疫组化结果显示:AE1/AE3(+++),CK5/6(+++),P40(+++),P63(+++),CK7(-),NapsinA(-),TTF-1(-)。
10.2017年12月20日至2017年12月28日治疗
紫杉醇脂质体300mg d1+顺铂50mg d1,40mg d2~3/q 21d。
11.2018年1月11日颈胸CT,喉癌术后、化疗后复查,与2017年11月1日颈胸部CT图像比较:
(1)喉呈术后改变,局部未见明确肿物,同前相仿,请结合喉镜复查。
(2)甲状腺多个低密度结节,同前相仿,请结合超声检查。鼻咽、口咽及涎腺未见明确肿物。
(3)双侧颈部及锁骨上未见明确肿大淋巴结。
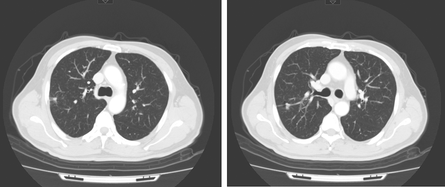
(4)右肺上叶后段多个结节较前缩小,现大者约1.5cm×0.8cm(图6),请结合临床并随诊。余双肺可见多发小结节,较前缩小,大部分已显示不清,现大者约0.2cm,建议随诊。

图6 右肺上叶后段多个结节较前缩小
引自:头颈部肿瘤多学科诊疗病例精选.第1版.ISBN:978-7-117-27929-1.主编:李正江
(5)纵隔及左肺门多发淋巴结,部分较前缩小,部分同前相仿,现大者仍约0.9cm,建议随诊。
(6)双侧胸腔及心包未见积液。
12.2018年2月24日颈胸部CT,“喉癌术后、右肺鳞癌化疗后”复查,与2018年1月11日颈胸部CT图像比较。
(1)喉呈术后改变,局部未见明确肿物,同前相仿,请结合喉镜复查。
(2)右肺上叶后段不规则结节,余双肺多发微结节(图7),均同前大致相仿,建议继续随诊。

图7 右肺上叶后段不规则结节
引自:头颈部肿瘤多学科诊疗病例精选.第1版.ISBN:978-7-117-27929-1.主编:李正江
(3)左肺上叶及下叶背段新见多发小淡片影,余双肺多发斑片、索条影,同前相仿,以上均考虑为炎性病变,请随诊。双肺小叶间隔增厚,同前相仿。
(4)纵隔及左肺门多发淋巴结,同前相仿,现大者仍约0.9cm,建议随诊。双颈部未见明确肿大淋巴结。
(5)甲状腺右叶多个低密度结节,同前相仿,请结合超声检查。扫描范围内鼻旁窦、鼻咽、口咽及涎腺未见明确肿物。
(6)双侧胸腔及心包未见积液。
【专家点评】
依据AJCC肿瘤分期第8版,该患者临床分期应为声门上型喉癌T2N0M0。NCCN指南2018年第1版,对声门上型T1~2N0和选择性T3病变患者,推荐内镜下切除或开放性水平部分喉切除,颈部淋巴结清扫,或放射治疗。术后病理如果淋巴结阴性,给予观察;术后病理出现一个淋巴结阳性、或切缘阳性、或其他不良因素,推荐重新手术或放疗或化疗和放疗;术后病理转移淋巴结出现被膜外侵犯,推荐化疗和放疗;术后病理如果出现T3~T4a,推荐放疗或同步放化疗。我国喉癌外科治疗和综合治疗专家共识对声门上型喉癌T1~3期病变局限于会厌、喉前庭或杓会厌皱襞,未累及杓状软骨、喉室底及前联合者,可选择喉水平部分切除。该例患者由于肿瘤较局限,仅仅局限于会厌根部,右室带前端可疑受侵,所以在麻醉过程中,选择快速诱导下的经口腔插管,麻醉成功后再做气管切开,更换麻醉管,这样可以避免清醒下气管切开引起的患者紧张和痛苦,但可能会带来一些学者的疑虑,担心是否会导致肿瘤的种植。因此,为避免肿瘤的种植,在麻醉过程中,建议麻醉师,一是选择稍细的麻醉插管,二是在操作过程中避免“暴力”操作。在手术方式的选择上,一开始极力建议患者去做内镜下切除,可以更大限度地保留喉功能,由于患者的女儿是综合医院的一位临床大夫,极力要求开放性手术,所以选择了水平部分喉切除。为了更好地保留患者的喉功能,手术中保留了左侧部分室带,这样有利于患者术后吞咽功能的恢复。因此,在手术方式上,不是固定不变的,应依据患者的一般情况、肿瘤具体情况和术者的临床经验制订合理的个体化方案,目的是彻底切除肿瘤,最大限度的保留喉功能。
颈部淋巴结的处理,2017年NCCN指南并没有推荐必须做颈部淋巴结清扫,而2018年NCCN指南则推荐颈部淋巴结清扫。我国喉癌外科治疗和综合治疗专家共识,对早期(T1~2期)声门上型喉癌是否采用双侧颈清扫取决于原发灶是否跨过中线,如果肿瘤仅偏一侧,建议采用单侧颈部淋巴结清扫。该例患者喉镜检查,病变局限,影像检查也无深部浸润,因此,颈部未行淋巴结清扫。对颈部的处理与原发灶一样,应依据患者的一般情况、肿瘤具体情况和术者的临床经验制订合理的个体化治疗。
声门型喉癌水平部分喉切除术后,应注意以下几点:①头垫高,减轻伤口张力,避免头后仰导致伤口裂开;②避免气管套管深部吸痰,减少患者咳嗽导致的头后仰的机会;③锻炼经口进食时,告诉患者精力集中,耐心寻找合适的体位;④定期复查,做到早期发现,早期治疗。
重复癌又称为多原发癌,是指同一个体的单个或多个器官,同时或先后发生2个或2个以上相互独立的原发性恶性肿瘤。根据肿瘤是否同时发生,又可分为同时性多原发癌、异时性多原发癌,同时性多原发癌发生间隔时间在6个月内。异时性多原发癌的发生,必须间隔半年以上。由于喉和肺同为呼吸系统器官,在胚胎发育和生理功能上可能存在一定的联系,在外因上受到相同的影响,导致肺癌是喉癌常见第二原发癌。中国医学科学院肿瘤医院高禹顺等曾总结1958年10月至1999年10月间本院收治的2182例喉癌患者,80例出现第二原发癌,其中肺癌36例,食管癌20例,甲状腺癌5例,其他癌19例。肺癌是常见的第二原发癌,占喉癌患者总例数的1.7%(36/2182),占喉癌第二原发癌的45.0%(36/80)。该例患者其实为同时重复癌,由于本院影像和外院实验室检查的误导,延误了患者肺癌的诊断,失去了最佳治疗时机。患者初诊时,本院影像检查右肺上叶后段病灶考虑结核较肿瘤可能大,但实验室检查血清结核抗体试验(anti-TB)为阴性,此时,如果不抗炎观察,而是积极地进行穿刺细胞学检查,可能结果就完全不一样了。因此,喉癌患者应强调胸部CT检查,一旦发现肺内病灶,应积极采取诊断措施,以便早期诊断、早期治疗,避免延误治疗时机。
知识来源
人卫知识数字服务体系
- 评价此内容
- 我要打分
近期推荐
热门关键词
最新会议
- 2013循证医学和实效研究方法学研讨会
- 欧洲心脏病学会年会
- 世界帕金森病和相关疾病2013年会议
- 英国介入放射学学会2013年第25届年会
- 美国血液学会2013年年会
- 美国癫痫学会2013年第67届年会
- 肥胖学会 2013年年会
- 2013年第9届欧洲抗体会议
- 国际精神病学协会 2013年会议
- 妇科肿瘤2013年第18届大会
- 国际创伤压力研究学会2013年第29届…
- 2013年第4届亚太地区骨质疏松症会议
- 皮肤病协会国际2013年会议
- 世界糖尿病2013年大会
- 2013年国际成瘾性药年会
- 彭晓霞---诊断试验的Meta分析
- 武姗姗---累积Meta分析和TSA分析
- 孙凤---Network Meta分析
- 杨智荣---Cochrane综述实战经验分享
- 杨祖耀---疾病频率资料的Meta分析
合作伙伴
Copyright g-medon.com All Rights Reserved 环球医学资讯 未经授权请勿转载!
网络实名:环球医学:京ICP备08004413号-2
关于我们|
我们的服务|版权及责任声明|联系我们
互联网药品信息服务资格证书(京)-经营性-2017-0027
互联网医疗保健信息服务复核同意书 京卫计网审[2015]第0344号




会员登录

