一例声门上型喉癌扩大水平部分喉切除及双侧颈清扫,复发后放射治疗经验分享
54岁男性,因咽部疼痛2月余入院。喉镜检查发现喉内肿物,活检为鳞状细胞癌。如何治疗?
【病例简介】
患者男性,54岁。因咽部疼痛2月余于2014年11月6日收住院。2个月前患者无明显诱因出现喉部疼痛,当地医院对症治疗,效果不佳,喉镜检查发现喉内肿物,活检为鳞状细胞癌,建议上级医院治疗。2014年10月来本院进一步诊治,门诊鼻咽喉镜提示左侧会厌谷及会厌舌面可见溃疡型肿物,左侧会厌咽皱襞受累及,邻近舌根部可疑侵及;病理会诊:中分化鳞状细胞癌;CT提示喉癌,声门上型,左上颈部淋巴结转移。患者无声音嘶哑、呛咳、憋气、耳痛等症状,为进一步治疗收入本院。
个人史:生于原籍,无疫区接触史;吸烟40年,30支/天,未戒烟;偶尔饮酒。
家族史:否认家族肿瘤遗传病史。
【影像学及特殊检查】
1.2014年10月30日颈胸部CT
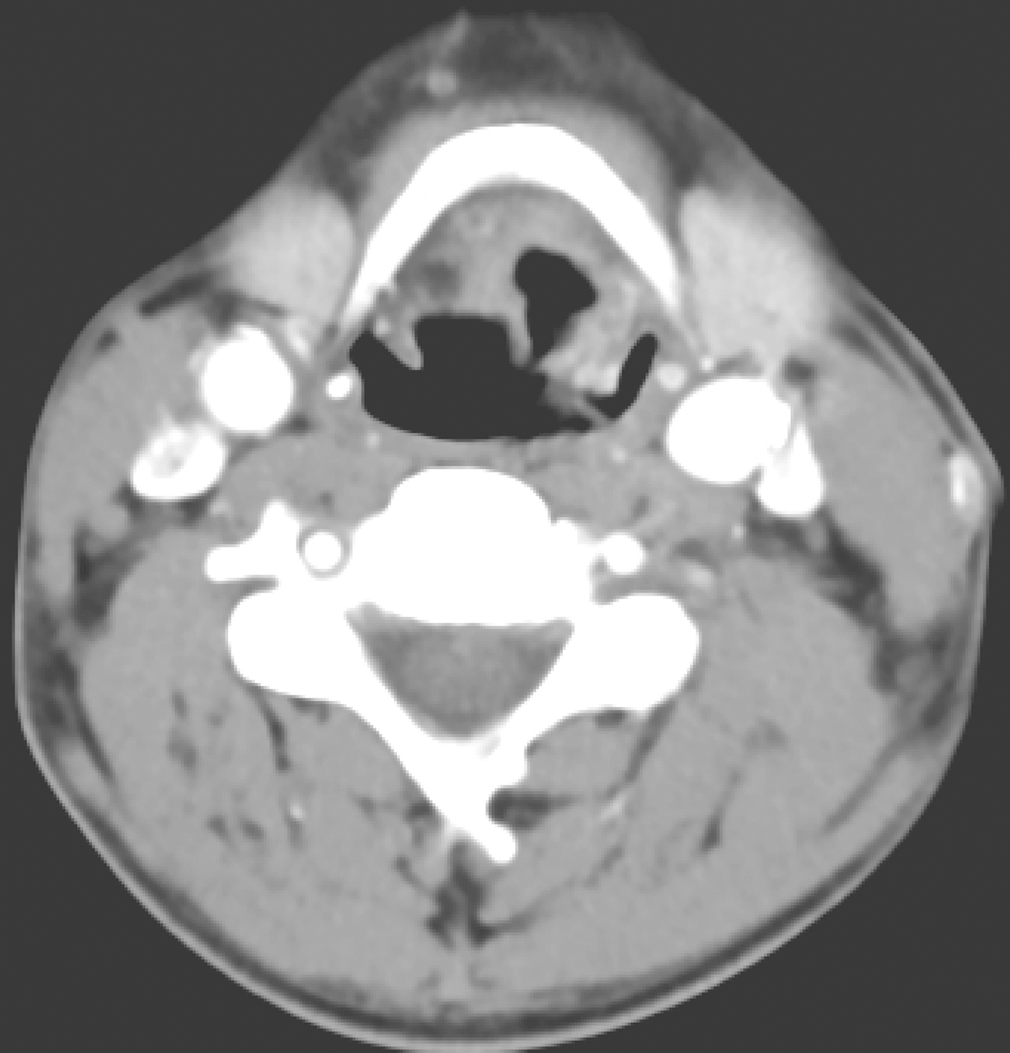
检查所见:会厌舌面软组织影不规则增厚,呈较明显强化,以左侧份为著,表面不规则,似见较深溃疡,病变向前累及左侧舌会厌谷、会厌前间隙,可疑累及左侧舌根部,左侧舌根部软组织影增厚(图1)。相邻左侧勺状会厌皱襞略增厚。

图1 会厌舌面新生物,可疑累及左侧舌根
引自:头颈部肿瘤多学科诊疗病例精选.第1版.ISBN:978-7-117-27929-1.主编:李正江
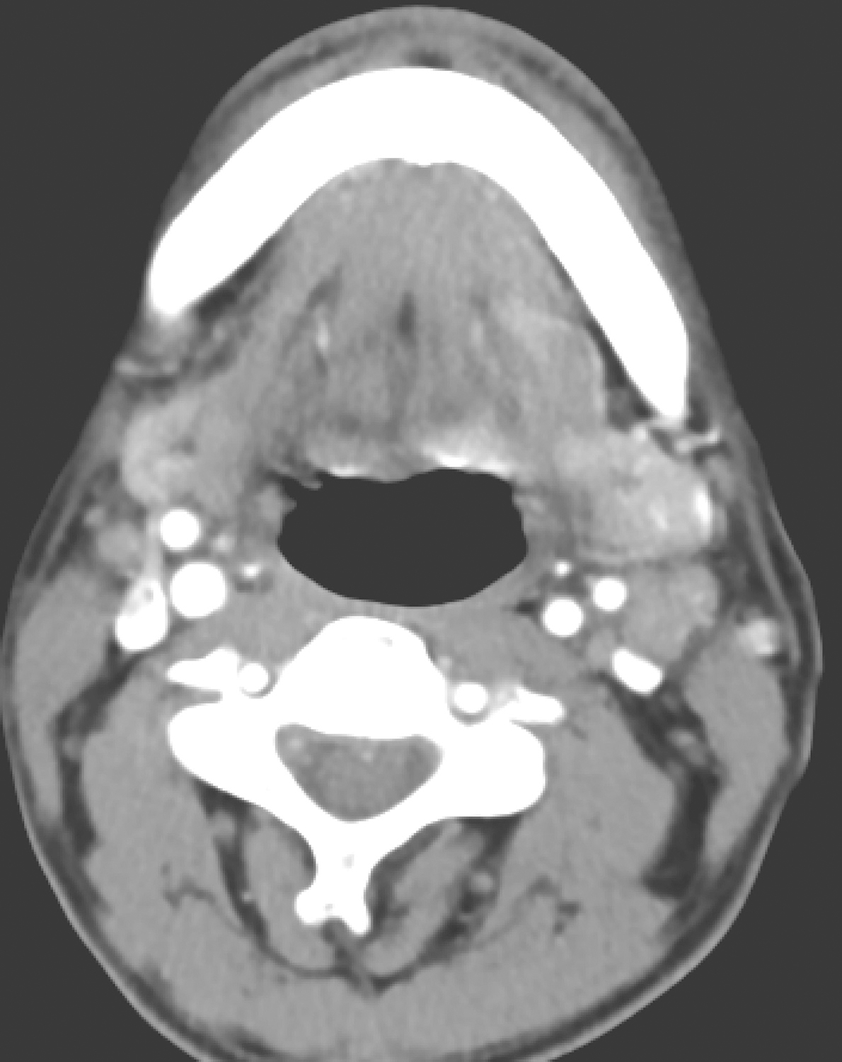
左侧颈深上组可见肿大淋巴结,约1.4cm×1.6cm(图2)。

图2 左颈Ⅱ区肿大淋巴结
引自:头颈部肿瘤多学科诊疗病例精选.第1版.ISBN:978-7-117-27929-1.主编:李正江
余双颈部、双侧肺门、纵隔未见明确肿大淋巴结。
鼻窦、口咽、梨状窝、双侧喉室及甲状腺未见异常。
双侧肺气肿。右上肺胸膜下条索影及钙化点。左上肺散在多发斑点、结节影,密度较高。
双侧胸腔、心包未见积液。
影像学诊断:
(1)喉癌,声门上型,侵犯范围如上所述。
(2)左上颈部淋巴结转移。
(3)双侧肺气肿。双上肺陈旧病变可能性大。
2.2014年11月2日电子鼻咽喉镜检查
鼻腔进镜顺利。鼻咽部表面光滑,略充血,未见明显异常。口咽双侧扁桃体未见肿大。左侧会厌谷及会厌舌面可见溃疡型肿物,左侧咽会厌皱襞受累及,邻近舌根部可疑侵及,向右侧侵犯超过中线位置,会厌左侧喉面及游离缘肿胀、明显增厚(图3)。左侧梨状窝未见明显侵及。下咽部基本平整。喉部双侧披裂对称,未见侵及。双侧声带和室带光滑,未见侵及。双侧声带活动正常。
内镜诊断:
左侧会厌谷及会厌舌面可见溃疡型肿物,符合恶性。

图3 左侧会厌谷及会厌舌面溃疡型肿物
引自:头颈部肿瘤多学科诊疗病例精选.第1版.ISBN:978-7-117-27929-1.主编:李正江
【入院诊断】
喉癌(声门上型,T4aN1M0)。
【治疗经过】
2014年11月14日全麻下行扩大水平部分喉切除、双颈清扫、甲状腺峡部切除、气管切开。
手术经过:
常规术区消毒铺巾,局麻下气管切开,麻醉插管后给予全麻。取T形切口切开皮肤、皮下及部分颈阔肌,颈阔肌下分离皮瓣;切断舌骨上下肌群,去除舌骨,将舌骨下肌群下翻至甲状软骨中部;剥离甲状软骨上半部分外软骨膜,将上半部分甲状软骨剪除;于右咽侧壁切开进入咽腔,切开右侧会厌咽皱襞和杓会厌皱襞;沿右室带剪开至前联合,见肿物位于会厌舌面,呈溃疡型,侵及舌根。明视下距肿瘤约1.0cm切开舌根左咽侧壁,剪开左会厌咽皱襞和杓会皱襞,沿左室带剪开将标本切除,创面止血后切取周边切缘,冰冻病理检查切缘均未见癌。即缝合咽侧壁,将舌根和残喉拉拢缝合,予以加固后将舌骨上下肌群自身缝合。冲洗创面后置负压引流,分层缝合切口;患者清醒后更换气管套管,安全返回病房。
在等冰冻病理检查期间完成双侧颈部淋巴结清扫。首先切断左侧胸锁乳突肌,解剖颈鞘,保留颈内静脉,切断副神经,将左侧颈部Ⅱ~Ⅴ区淋巴脂肪组织连同胸锁乳突肌和副神经一并切除;而后游离右侧胸锁乳突肌,解剖颈鞘和副神经,将右侧颈部Ⅱ~Ⅳ区淋巴脂肪组织清除。
【术后处理】
1.密切监测生命体征。
2.注意伤口及引流情况。
3.对症及支持治疗。
4.保持胃管通畅,加强胃肠道营养,适时拔除胃管,恢复经口进食。
5.气管切开护理,保持气管套管通畅,适时拔除气管套管。
【术后病理】
(部分喉):
会厌舌面低分化鳞状细胞癌,肿瘤大小3cm×2cm×1.5cm,累及会厌软骨和舌根横纹肌组织。(右舌根切缘)冰、(左舌根切缘)冰、(左咽侧壁切缘)冰、(左室带切缘)冰、(右室带切缘)冰均未见癌。
淋巴结转移性癌(5/129),未明确侵犯淋巴结被膜外组织。
左颈深上淋巴结 1/55
左颈深下淋巴结 2/21
左锁骨上0/6
(右颈Ⅱ区淋巴结)2/22
(右颈Ⅲ区淋巴结)0/11
(右颈Ⅳ区淋巴结)0/14
pTNM分期:
pT4N2。
【术后随诊】
1.2015年1月5日电子鼻咽喉镜检查 检查所见:右侧鼻腔置有胃管,左侧鼻腔进镜顺利。鼻咽部表面光滑,未见明显异常。口咽双侧扁桃体未见肿大。舌根部淋巴滤泡略增生。下咽部未充分显露。喉部呈术后改变,会厌切除,会厌谷呈瘢痕样表现,双侧披裂黏膜水肿明显。双侧声带完整,黏膜充血,双侧声带活动正常,声门开放好(图4)。

图4 喉术后1个月改变,未见复发征象
引自:头颈部肿瘤多学科诊疗病例精选.第1版.ISBN:978-7-117-27929-1.主编:李正江
内镜诊断:喉癌术后,会厌切除,残喉黏膜水肿,未见肿瘤征象。
2.2015年1月5日颈胸部CT 参阅2014年10月30日CT检查所见如下:
(1)舌骨、会厌、水平半喉切除、双颈淋巴结清扫、气管造瘘术后改变,局部未见明确肿瘤残留征象,食管内有鼻饲管置入,请随诊。
(2)右上肺新发类结节,形态不规则,边界清楚,密度不均匀,约1.4cm×1.8cm×3.0cm(图5),右上叶后段、左下叶基底段肺新发少许极浅淡片影,倾向炎症,请结合临床考虑,并注意随诊。

图5 右上肺新发类结节,形态不规则,边界清楚
引自:头颈部肿瘤多学科诊疗病例精选.第1版.ISBN:978-7-117-27929-1.主编:李正江
(3)双上肺另见多发小结节及钙化,同前相仿,倾向陈旧性病灶,请随诊。
(4)双肺弥漫泡性肺气肿,同前相仿。
(5)双侧颈部、腋窝、胸内未见异常肿大淋巴结。
(6)未见胸腔积液或心包积液。
3.2015年1月8日门诊复查,建议患者术后放疗,患者因戴模具出现呼吸困难,未行术后放疗。
4.2015年5月15日电子鼻咽喉镜检查 检查所见:“喉癌术后6个月”,鼻腔进镜顺利,未见明显异常。鼻咽部表面光滑,未见明显异常。口咽双侧扁桃体未见肿大。舌根部淋巴滤泡略增生。下咽部表面光滑,未见明显异常。喉部呈术后改变,会厌切除,双侧披裂对称,黏膜略水肿。双侧声带完整,活动正常,声门开放好(图6)。

图6 喉术后6个月
引自:头颈部肿瘤多学科诊疗病例精选.第1版.ISBN:978-7-117-27929-1.主编:李正江
内镜诊断:喉癌术后,会厌切除,残喉黏膜略水肿,声门开放好,未见肿瘤复发征象。
5.2015年5月15日门诊复查 患者内镜检查无肿瘤复发和转移,且鼻饲管已拔除,建议定期随诊。
6.2017年3月30日颈部超声 右侧锁骨上见数个低回声,大者约1.0cm×0.7cm,边界清楚,内回声欠均匀,周边内部探及血流信号。左侧气管食管沟见低回声,其一约0.4cm,边界清楚,未见血流。余颈部及锁骨上未见异常肿大淋巴结。
印象:右侧锁骨上淋巴结肿大,倾向转移,建议穿刺活检。
左侧气管食管沟小淋巴结,建议随诊。
7.2017年4月6日右侧锁骨上淋巴结超声引导下穿刺细胞学 多量淋巴细胞。
8.2017年4月1日电子鼻咽喉镜检查 检查所见:“喉癌术后2年”,鼻腔进镜顺利。鼻咽部结构完整,黏膜光滑,未见明显异常。口咽双侧扁桃体未见肿大。舌根部淋巴滤泡增生。下咽部右侧梨状窝内侧壁和右侧环后区黏膜欠光滑(活检3块),余下咽部基本平整。喉部右侧披裂黏膜水肿,警惕侵及(图7)。左侧披裂结构基本正常。会厌切除,双侧声带基本完整,活动正常。

图7 喉术后2年,左梨状窝新生物
引自:头颈部肿瘤多学科诊疗病例精选.第1版.ISBN:978-7-117-27929-1.主编:李正江
内镜诊断:喉癌术后,右侧梨状窝出现浅表病变(性质待病理检查),可疑为早期癌。
9.2017年4月6日右侧梨状窝活检病理 鳞状上皮原位癌,小灶不除外间质浸润。
10.2017年4月11日头颈多学科联合会诊(MDT) 由于2年前喉癌术后患者未接受放疗,目前诊断明确,尽管活检为下咽原位癌,但不除外间质浸润,建议放疗。因本院床位问题,患者到外院放射治疗,剂量为60Gy。
【专家点评】
结合术前内镜和影像检查,依据AJCC肿瘤分期第8版,该患者临床分期应为声门上型喉癌T4aN1M0。
NCCN指南2018年第1版,对声门上型T4aN1病变患者,推荐喉和甲状腺切除,有清扫指征时行同侧或双侧颈部淋巴结清扫;术后病理如出现转移淋巴结被膜外侵犯或切缘阳性,术后给予化疗、放疗;术后病理如出现N2或N3、周围神经侵犯和脉管瘤栓形成,术后应给予放疗或放化疗。或推荐同步放化疗或诱导化疗或临床试验,治疗后根据疗效评价来选择放疗还是手术。诱导化疗2周期后影像评估,原发灶完全缓解,给予放疗;原发灶部分缓解,给予放疗,或继续化疗后放疗;原发灶部分缓解部明显,推荐手术。该患者经头颈多学科查房讨论,患者年轻,从病变范围可以行部分喉切除,保留喉功能,必要时术后给予放疗。患者术前影像检查肿瘤可疑累及左侧舌根部,手术需切除部分舌根,因此实施扩大的水平部分喉切除、双颈淋巴结清扫。由于术前影像检查仅仅左上颈淋巴结,且考虑到术后放疗,为避免放疗后胸锁乳突肌挛缩,左颈行全颈根治性颈清扫,为减轻面部水肿,保留颈内静脉;由于肿瘤局部病变较晚,且肿瘤已过中线,尽管术前影像检查右颈无明确转移肿大的淋巴结,右颈完成Ⅱ~Ⅳ区的侧颈清扫。术后病理肿瘤累及舌根横纹肌组织,且双颈淋巴结转移,依据AJCC肿瘤分期第8版,该患者临床分期应为声门上型喉癌pT4aN2cM0。无论NCCN指南,还是喉癌外科治疗和综合治疗专家共识,术后均应放疗,以降低局部复发。喉癌外科治疗和综合治疗专家共识对T4aN0~3M0首选手术,术后进行放疗,存在危险因素者则需放化疗;若患者拒绝手术,可选择同步放化疗或诱导化疗方案。诱导化疗后需根据患者的反应情况决定下一步治疗:如果原发灶完全缓解或部分缓解,可以选择根治性放疗或同步放化疗;如果原发灶无缓解或治疗后残留,则行手术治疗;颈淋巴结转移癌依据治疗结果决定是否行颈淋巴结清扫术。该患者按术前讨论的治疗方案和术后病理结果,均应接受术后放射治疗,不幸的是患者戴上放疗模具后出现呼吸困难,被迫终止放疗,定期随诊观察。
肿瘤治疗失败的原因一是局部复发,二是远处转移。局部复发常常在手术后2~3年,在这段时间应加强随诊,尤其高危患者,早期发现,早期治疗,尽可能保留患者喉功能,提高生活质量。该患者手术后半年复查两次,未见复发,以为万事大吉,直到术后2年半才来院复查,结果内镜检查,局部复发,且病理证实。幸运的是病变局限,结合既往病理是低分化鳞状细胞癌,且未接受过放射治疗,头颈多学科查房讨论决定给予放疗。从病变范围看,激光手术和开放性手术均有可能保留喉功能,获得较为满意的治疗效果。一个治疗方案的选择依赖于患者因素、医院的条件和方案制定者的优势等,所以应综合多种因素,选择个体化、合理的治疗方案,尽可能保留患者的生理功能,改善患者的生活质量,延长患者的生存时间,提高生存率。
知识来源
人卫知识数字服务体系
- 评价此内容
- 我要打分
近期推荐
热门关键词
最新会议
- 2013循证医学和实效研究方法学研讨会
- 欧洲心脏病学会年会
- 世界帕金森病和相关疾病2013年会议
- 英国介入放射学学会2013年第25届年会
- 美国血液学会2013年年会
- 美国癫痫学会2013年第67届年会
- 肥胖学会 2013年年会
- 2013年第9届欧洲抗体会议
- 国际精神病学协会 2013年会议
- 妇科肿瘤2013年第18届大会
- 国际创伤压力研究学会2013年第29届…
- 2013年第4届亚太地区骨质疏松症会议
- 皮肤病协会国际2013年会议
- 世界糖尿病2013年大会
- 2013年国际成瘾性药年会
- 彭晓霞---诊断试验的Meta分析
- 武姗姗---累积Meta分析和TSA分析
- 孙凤---Network Meta分析
- 杨智荣---Cochrane综述实战经验分享
- 杨祖耀---疾病频率资料的Meta分析
合作伙伴
Copyright g-medon.com All Rights Reserved 环球医学资讯 未经授权请勿转载!
网络实名:环球医学:京ICP备08004413号-2
关于我们|
我们的服务|版权及责任声明|联系我们
互联网药品信息服务资格证书(京)-经营性-2017-0027
互联网医疗保健信息服务复核同意书 京卫计网审[2015]第0344号




会员登录

