一例声门上型喉癌全喉切除及双侧颈部淋巴结清扫的诊治经验分享
73岁男性,因声音嘶哑8个月就诊。喉镜检查提示右侧室带、声带占位;活检病理报大部分为鳞状细胞原位癌,部分区域有浸润。如何进一步诊治?
【病例简介】
患者男性,73岁。因声音嘶哑8个月于2017年3月24日收入本院头颈外科。2016年8月患者无明显诱因出现声音嘶哑,逐渐加重,当地医院给予对症治疗,效果不佳,即到北京同仁医院诊治,喉镜检查提示右侧室带、声带占位;活检病理报大部分为鳞状细胞原位癌,部分区域有浸润,为进一步诊治来本院。本院门诊检查,电子鼻咽喉镜提示喉部会厌及左侧劈裂结构基本正常,右侧室带明显增厚,右侧劈裂略显肿胀,病变向下侵及右侧声带,未侵及声门下;左侧声带前端被遮盖,情况不明;左、右半喉活动尚可;颈部CT提示右侧室带、声带肿物,可符合癌,右侧颈部Ⅱ区淋巴结转移。为进一步治疗收入院。发病以来,精神尚可,食欲尚可,大小便基本正常,体重无明显变化。既往史:母亲子宫内膜癌;吸烟40余年,20支/d;偶尔饮酒。
【影像学及特殊检查】
1.2017年3月17日电子鼻咽喉镜检查
内镜所见:鼻腔进镜顺利。鼻咽部结构完整,黏膜光滑,未见明显异常。口咽双侧扁桃体未见肿大。舌根部淋巴滤泡增生。下咽部表面基本平整,未见明显异常。喉部会厌及左侧劈裂结构基本正常,右侧室带明显增厚,右侧劈裂略显肿胀,病变向下侵及右侧声带,未侵及声门下(图1)。左侧声带前端被遮盖,情况不明。左右半喉活动尚可。

图1右侧声门上新生物
引自:头颈部肿瘤多学科诊疗病例精选.第1版.ISBN:978-7-117-27929-1.主编:李正江
内镜诊断:喉癌。
2.2017年3月15日颈胸部CT
检查所见:右侧室带、声带区肿物影,最大截面约1.8cm×3.5cm,病变侵犯右侧喉旁间隙,宽基底贴邻甲状软骨,凸向喉腔,推压对侧声带及室带,向前累及前联合(图2)。右颈部Ⅱ区类圆形肿大淋巴结,约1.0cm(图3),左颈部Ⅱ区、右侧气管食管沟淋巴结,大者短径约0.4cm。余纵隔散在小淋巴结。右肺中叶、下叶多发斑片、斑点状影,余肺未见明确结节及实变。

图2右侧室带、声带区肿物影、侵犯右侧喉旁间隙
引自:头颈部肿瘤多学科诊疗病例精选.第1版.ISBN:978-7-117-27929-1.主编:李正江

图3右颈部Ⅱ区类圆形肿大淋巴结
引自:头颈部肿瘤多学科诊疗病例精选.第1版.ISBN:978-7-117-27929-1.主编:李正江
影像学诊断:
(1)右侧室带、声带肿物,符合癌。
(2)右侧颈部Ⅱ区转移淋巴结;左颈部Ⅱ区、右侧气管食管沟淋巴结,随诊观察。
(3)右肺中叶、下叶炎症。
3.2017年3月17日喉MRI
检查所见:右侧室带、声带区可见不规则肿物,最大横截面约3.6cm×1.8cm,T1WI等信号,T2WI/FS中高信号,DWI扩散受限明显,增强扫描呈略不均匀明显强化,病变侵犯右侧喉旁间隙,宽基底贴邻甲状软骨,凸向喉腔,推压对侧声带及室带,喉腔变窄,向前累及前联合(图4)。右侧Ⅱ、Ⅲ区可见多发淋巴结肿大,大者短径约0.9cm(图5)。左颈部Ⅱ区小淋巴结,大者短径约0.5cm。扫描范围内下咽、颌下腺及甲状腺未见明确异常。

图4肿物向前累及前联合
引自:头颈部肿瘤多学科诊疗病例精选.第1版.ISBN:978-7-117-27929-1.主编:李正江

图5右颈部Ⅱ、Ⅲ区可见多发淋巴结
引自:头颈部肿瘤多学科诊疗病例精选.第1版.ISBN:978-7-117-27929-1.主编:李正江
影像学诊断:
(1)右侧室带、声带肿物,符合癌。
(2)右侧Ⅱ、Ⅲ区淋巴结转移可能大;左颈部Ⅱ区小淋巴结,请随诊。
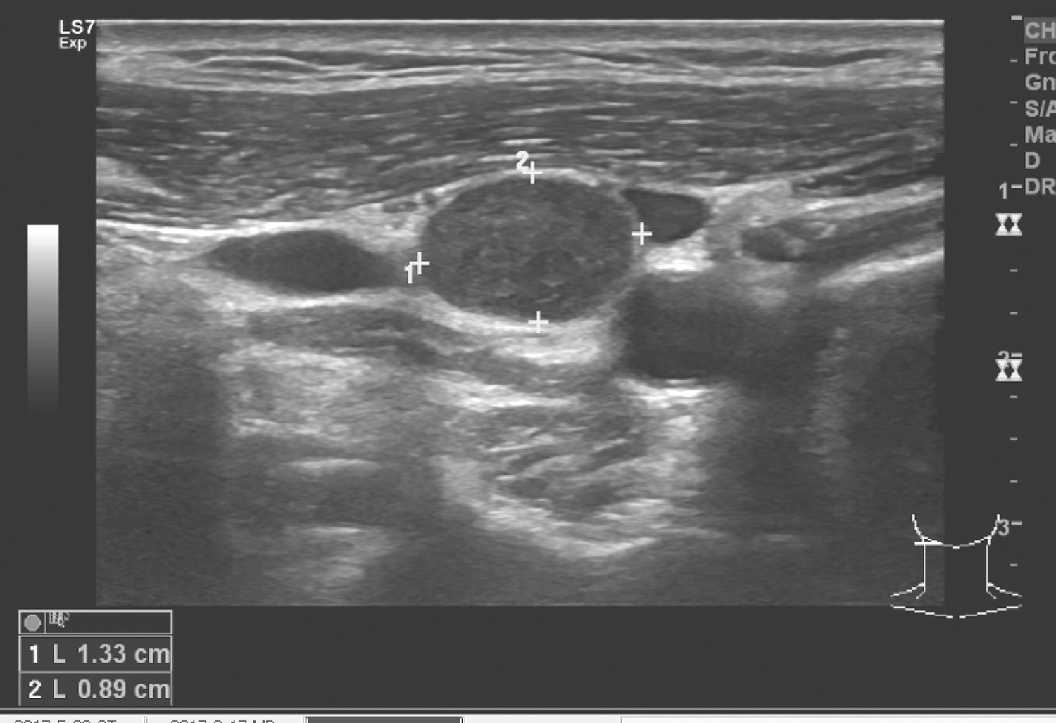
4.2017年3月16日颈部B超
右颈Ⅱ区可见一低回声结节,约1.3cm×0.9cm,边界清楚,未见血流信号(图6)。余颈部及锁骨上未见明确肿大淋巴结。

图6右颈部Ⅱ区见低回声结节
引自:头颈部肿瘤多学科诊疗病例精选.第1版.ISBN:978-7-117-27929-1.主编:李正江
超声诊断:右颈Ⅱ区淋巴结转移。
【入院诊断】
喉癌(声门上型T3N1M0)。
【多学科查房讨论】
参加科室:头颈外科,放疗科,内科,影像诊断科。
主管医师:汇报病史和检查结果,提出小组查房意见。
手术医师:目前结合病史和检查,诊断喉癌右颈淋巴结转移基本成立;而声门上型喉癌目前主要的治疗措施是手术治疗。从该患者的检查资料看,可以考虑3/4部分喉切除或环状软骨上部分喉切除(CHP),但患者高龄,部分喉术后患者难以克服呛咳;且影像资料显示肿瘤范围较广泛,不排除甲状软骨受侵,术中难以确保安全界,建议全喉切除;颈部建议右侧行Ⅱ~Ⅳ区清扫,由于肿瘤可能过中线,左侧可行Ⅱ、Ⅲ区清扫;术后根据病理情况再考虑放疗或同步放化疗。
头颈外科主任:同意手术医师的处理意见,至于是否行放化疗待术后病理再决定。
放疗科医师:由于患者高龄,同步放化疗不良反应较大,如果需要,术后可放疗,以降低复发率。
【治疗经过】
2017年3月27日全身麻醉下做全喉切除、双颈淋巴结清扫、气管造瘘术。
常规碘伏消毒皮肤,取T形皮肤切口,切开皮肤及皮下组织及颈阔肌;首先行双颈淋巴结清扫,右侧Ⅱ~Ⅳ区清扫,左侧Ⅱ、Ⅲ区清扫;清扫完毕后,切断舌骨上下肌群,去除舌骨;切开颈白线,将带状肌翻向外侧;切断双侧咽缩肌,游离喉体;切断甲状腺峡部,将甲状腺自气管游离翻向外侧;于第2、3气管环间横断气管,将气管断端于气管食管间分离至气管环后上方;自气管喉腔将会厌尖下拉,以闭合器闭合切除全喉,而后给予加固;创面彻底止血后放置引流,分层缝合切口,气管造瘘。患者清醒后,安返病房。
【术后处理】
1.密切监测生命体征。
2.观察伤口及引流情况,引流量每日少于10ml左右可拔除引流管。
3.可预防性使用抗生素,避免伤口感染。
4.保持胃管通畅,确保胃肠营养,术后依据患者的恢复情况,适时拔除胃管。
5.气管造瘘护理,保持气道通畅。
【术后病理】
全喉:右室带中-低分化鳞状细胞癌,肿瘤最大径3.5cm,侵透黏膜固有层,侵及横纹肌组织,肿瘤累及甲状软骨、会厌前间隙、右侧声带及前联合,未累及环状软骨及左侧声、室带。
淋巴结可见转移癌(1/57):
(1)(右颈Ⅱ区淋巴结清扫)1/5
(2)(右颈Ⅲ区淋巴结清扫)0/22
(3)(右颈Ⅳ区淋巴结清扫)0/9
(4)(左颈Ⅲ区淋巴结清扫)0/14
(5)(左颈Ⅱ区淋巴结清扫)0/7
pTNM分期:pT3N1
【术后随诊】
1.2017年5月25日电子鼻咽喉镜检查 内镜所见:“喉癌术后1月余”,鼻腔内镜勉强通过。鼻咽部结构完整,黏膜光滑,未见明显异常。口咽双侧扁桃体未见肿大。舌根部淋巴滤泡增生。喉腔全切除,下咽部黏膜充血,未见明显肿瘤征象(图7)。

图7全喉切除术后
引自:头颈部肿瘤多学科诊疗病例精选.第1版.ISBN:978-7-117-27929-1.主编:李正江
内镜诊断:喉癌术后,全喉切除术后改变,未见明显肿瘤征象。
2.2017年5月26日颈部下咽喉MRI增强扫描 检查所见:
(1)扫描范围内气管造瘘术后,喉部呈术后改变,局部软组织增厚、肿胀,喉腔消失,增强扫描尚均匀强化,未见明显肿物。
(2)双侧颈部呈术后改变,颏下可见淋巴结,短径约0.6cm,建议随诊。
3.2017年6月19日至2017年8月3日行术后放疗,放疗范围为瘤床及淋巴引流区放疗,66Gy/2Gy/33f。
4.2017年10月17日放疗后2月余复查,影像检查未见异常。
【专家点评】
依据AJCC肿瘤分期第8版,该患者为声门上型喉癌T3N1M0。NCCN指南2018年第1版,对声门上型T1~2N+和选择性T3N1病变患者,推荐同步放化疗或放疗;或水平部分喉切除加颈部淋巴结清扫,术后依据不同的不良因素,如转移淋巴结被膜外侵犯、切缘阳性、T4病变、N2或N3病变、周围神经侵犯及脉管瘤栓形成,选择放疗、化疗和放化疗等综合治疗。或诱导化疗,化疗2周期后影像评估,原发灶完全缓解,给予放疗;原发灶部分缓解,给予放疗,或继续化疗后放疗;原发灶部分缓解不明显,推荐手术,术后无不良因素,给予放疗;术后如出现不良因素,依据不同情况给予放疗、化疗和放化疗等综合治疗。或选择不同方式的临床试验。声门上型喉癌的手术方式大致归纳为水平部分喉切除、3/4部分喉切除(水平垂直部分喉切除)、CHP和全喉切除,不同的手术方式有各自的手术适应证,结合患者的自身条件,合理地选择手术方式,可以获得较好的治疗效果。该患者从理论上讲可以行水平部分喉切除,但患者高龄,担心术后呛咳难以克服,导致严重的肺炎,经头颈多学科查房讨论同意全喉切除,因此,在临床工作中,手术方式的选择不是一成不变的,要因人而异,个体化选择,综合各种因素,以提高患者生存、改善患者生活质量为目的。该例手术方式不同于传统的全喉切除,采用了胃肠的直线闭合切割器,以避免咽瘘的发生。中国医学科学院肿瘤医院比较在喉癌全喉切除术中闭合器使用与手工缝合的优缺点。结果闭合器组咽瘘发生率为15%(3/20),手工缝合组为16%(8/51),两组11例咽瘘患者皮肤切口均采用T形切口,各项临床参数差异均无统计学意义(P>0.05),喉癌全喉切除术中采用直线闭合器与采用手工缝合两组咽瘘发生率无明显差异,所以在临床中可根据患者具体情况进行选择。但使用直线闭合器存在一个缺点,术中无法单独切取切缘,所以,在使用直线闭合器时,务必确保肿瘤局限于喉内。
声门上型喉癌易于发生颈部淋巴结转移,喉癌外科治疗和综合治疗专家共识推荐,对cN1患者建议同侧颈部Ⅱ~Ⅳ区、对侧颈部Ⅱa~Ⅲ区。该患者接受病变侧颈部Ⅱ~Ⅳ区淋巴结清扫、对侧颈部Ⅱ~Ⅲ区淋巴结清扫。术后病理仅一枚淋巴结出现转移,无其他不良因素出现,依据NCCN指南,该患者可以随诊观察,或放疗;依据“喉癌外科治疗和综合治疗专家共识”,如果有一个阳性淋巴结但无危险因素,可以选择术后放疗。该患者年龄较大,术后恢复较慢,再加上其他不可预测的因素,患者术后2个月后才接受术后放疗。术后放疗的最佳时间,一般要求术后6周内,这段时间伤口基本愈合,局部纤维化尚未形成,此时放疗既不会影响伤口愈合,又可获得较好的放疗效果。术后放疗剂量一般为60Gy,即可获得有效的肿瘤复发控制。
参考文献
[1] AMIN M B, EDGE S B, GREENE F L, et al. AJCC cancer staging manual[M]. 8th ed. New York: Springer, 2016.
[2] PFISTER D G, SPENCER S, ADELSTEIN D, et al. NCCN clinical practice guidelines in oncology: head and neck cancers, version 1.2018[J]. J Natl Compr Canc Netw, 2018, 16(5): 479-490.
[3] 中华耳鼻咽喉头颈外科杂志编委会头颈外科组, 中华医学会耳鼻咽喉头颈外科学分会头颈组. 喉癌外科治疗和综合治疗专家共识[J]. 中华耳鼻咽喉头颈外科杂志, 2014, 49(8): 620-626.
[4] PFISTER D G, SPENCER S, ADELSTEIN D, et al. NCCN clinical practice guidelines in oncology: head and neck cancers, version 2.2017[J]. J Natl Compr Canc Netw, 2017, 15(6): 761-770.
[5] 刘文胜, 唐平章, 祁永发, 等. 喉声门上型低分化鳞状细胞癌57例临床观察[J]. 中华耳鼻咽喉科杂志, 2004, 39(9): 562-564.
[6] 黄志刚, 韩德民. 喉显微外科激光技术治疗喉癌[J]. 中华耳鼻咽喉头颈外科杂志, 2008, 43(10): 798-800.
[7] PEARSON B W, WOODS R D 2nd, HARTMAN D E. Extended hemilaryngectomy for T3 glottis carcinoma with preservation of speech and swallowing[J]. Laryngoscope, 1980, 90(12): 1950-1961.
[8] 高禹舜, 汪良骏, 张德超, 等. 36例喉癌并发原发肺癌的临床分析[J]. 中华肿瘤杂志, 2001, 23(4): 341-343.
[9] 何雨沁, 张彬, 刘文胜, 等. 直线闭合器在喉癌全喉切除术中应用的临床分析[J]. 中国耳鼻咽喉颅底外科杂志, 2016, 22(4): 261-264.
[10] 刘杰, 张宗敏, 徐震纲, 等. 累及声门的声门上型喉癌功能保留术式探讨[J]. 山东医药, 2013, 53(12): 77-79.
[11] 李红武, 刘业海, 臧艳, 等. 声门上型喉癌术后改良修复法在老年患者中的应用[J]. 中华解剖与临床杂志, 2016, 21(4): 342-345.
知识来源
人卫知识数字服务体系
- 评价此内容
- 我要打分
近期推荐
热门关键词
最新会议
- 2013循证医学和实效研究方法学研讨会
- 欧洲心脏病学会年会
- 世界帕金森病和相关疾病2013年会议
- 英国介入放射学学会2013年第25届年会
- 美国血液学会2013年年会
- 美国癫痫学会2013年第67届年会
- 肥胖学会 2013年年会
- 2013年第9届欧洲抗体会议
- 国际精神病学协会 2013年会议
- 妇科肿瘤2013年第18届大会
- 国际创伤压力研究学会2013年第29届…
- 2013年第4届亚太地区骨质疏松症会议
- 皮肤病协会国际2013年会议
- 世界糖尿病2013年大会
- 2013年国际成瘾性药年会
- 彭晓霞---诊断试验的Meta分析
- 武姗姗---累积Meta分析和TSA分析
- 孙凤---Network Meta分析
- 杨智荣---Cochrane综述实战经验分享
- 杨祖耀---疾病频率资料的Meta分析
合作伙伴
Copyright g-medon.com All Rights Reserved 环球医学资讯 未经授权请勿转载!
网络实名:环球医学:京ICP备08004413号-2
关于我们|
我们的服务|版权及责任声明|联系我们
互联网药品信息服务资格证书(京)-经营性-2017-0027
互联网医疗保健信息服务复核同意书 京卫计网审[2015]第0344号




会员登录

