一例下咽癌左颈淋巴结转移的诊治经验分享
51岁男性,6个月前无明显诱因出现咽部异物感,1个月前出现咽部疼痛,呈钝痛,吞咽时加重。门诊行电子喉镜检查见左侧梨状窝粗糙新生物,如何诊治?
【病例简介】
患者男性,51岁。因咽部异物感6月余,咽痛1月余住院治疗。患者6个月前无明显诱因出现咽部异物感,无刺激性咳嗽、无咳痰、咳血、无声音嘶哑、无饮水呛咳及吞咽困难等症状,当时未予重视,未行治疗。1个月前患者出现咽部疼痛,呈钝痛,吞咽时加重,遂来本院就诊。门诊行电子喉镜检查见左侧梨状窝粗糙新生物,累及内侧壁及杓会厌皱襞,局部黏膜肿胀。为进一步治疗收入院。患者父亲、母亲均因肺癌去世,否认其他遗传性疾病家族史。吸烟史20年,约10支/日;饮酒史20年,约5两/日。
【影像学及特殊检查】
1.2014年12月1日电子喉镜检查 鼻咽部黏膜光滑,未见明显异常。口咽双侧扁桃体未见肿大。舌根部淋巴滤泡略增生。左侧梨状窝内侧壁灰白色粗糙新生物,杓会厌皱襞肿胀,黏膜光滑,向下未累及梨状窝尖。环后区及杓间区黏膜光滑,喉内结构正常,黏膜光滑,双侧声带活动正常(图1)。

图1左侧梨状窝内侧壁灰白色粗糙新生物
内镜诊断:下咽癌(梨状窝区T2)。
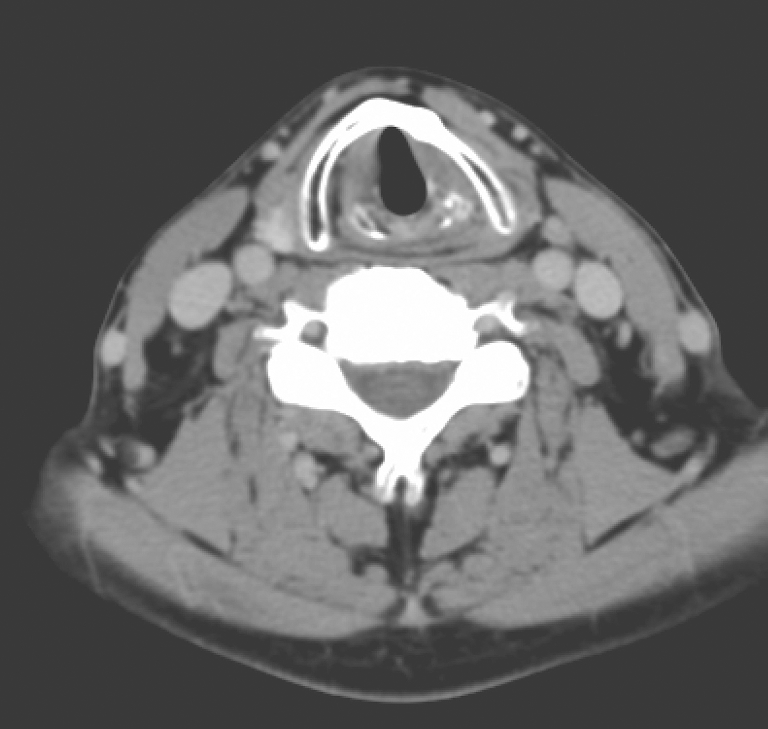
2.2014年12月1日颈胸部强化CT:左侧梨状窝内侧壁、左侧杓会厌皱襞局部软组织增厚,约2cm×2cm,形态不规则,可见强化(图2)。左侧Ⅲ区颈鞘前方可见肿大淋巴结一枚,约2cm大小,轻度强化(图3),余颈部、纵隔未见肿大淋巴结,肺部未见占位病变。

图2下咽左侧梨状窝肿物

图3左颈部Ⅲ区肿大淋巴结
影像学诊断:
(1)下咽左侧梨状窝肿物,结合临床恶性肿瘤不除外。
(2)左颈部Ⅲ区肿大淋巴结,转移可能。
3.2014年12月3日电子胃镜检查 浅表性胃炎,食管及胃部未见占位病变。
4.2014年12月5日活检病理 (左梨状窝)鳞状细胞癌。
【入院诊断】
下咽癌左颈淋巴结转移(T1N1M0)。
【病程记录】
2014年12月8日主任医师查房记录:患者一般情况可,术前辅助检查正常,心肺功能无手术禁忌。结合影像检查结果,肿瘤局部T1病变,声带活动好,可行保留喉功能的下咽癌切除术,同时行左侧改良根治性颈淋巴结清扫+右侧择区性清扫。定于明日手术。完善术前常规准备,充分向患者及家属交代病情及手术风险,签署知情同意书。
【治疗经过】
2014年12月9日行气管切开+左侧改良根治颈清扫右侧侧颈清扫+梨状窝癌切除术。
患者取仰卧位,经口插管全麻。肩下垫枕,置头圈,头后仰,置入胃管,导尿。术区皮肤消毒,铺无菌巾。取颈部U形切口,依次切开皮肤、皮下组织及颈阔肌,于颈深筋膜浅层分离皮瓣,上至舌骨,下至锁骨,左侧后至胸锁乳突肌后缘,护皮固定。
双侧颈清扫:解剖左侧颈外静脉,沿游离胸锁乳突肌前缘切开封套筋膜,与其内侧面游离,在中上1/3处解剖副神经,分离保留胸锁乳突肌支及斜方肌支。沿带状肌外侧缘及颌下腺包膜表面切开颈深筋膜浅层,牵拉颌下腺向上,沿二腹肌表面切开,解剖颈内静脉分支,保留舌下神经降支,锐性剥离颈鞘。向后至椎前筋膜表面,切断部分颈丛,保留颈丛与副神经交通支。由上向下,由前向后清扫左侧Ⅱ~Ⅴ区淋巴结及脂肪结缔组织,后至斜方肌前缘,下至锁骨,深面至椎前筋膜浅层。保留左侧副神经、颈内静脉、胸锁乳突肌及部分颈丛。同法行右侧Ⅱ~Ⅳ区侧颈淋巴结清扫。术中见左侧颈鞘前方多枚肿大淋巴结,大者位于Ⅲ区肩胛舌骨肌中间腱前方,直径约2cm,质硬,边界清楚,与周围组织粘连不重,与颈鞘可分离。
肿瘤切除:做低位气管切开,更换气管套管。切断舌骨左侧上、下肌群的附着,切除左侧半舌骨,分离带状肌向内下掀起,显露甲状软骨板上部,切断部分下咽缩肌附着,分离梨状窝前壁,切除甲状软骨板后上部,舌骨水平切开咽腔,明视下于肿瘤外2cm切开下咽黏膜,完整切除肿瘤,一并切除左侧声门旁间隙组织。将下咽黏膜拉拢缝合,关闭咽腔。外侧下咽缩肌及带状肌加固。严密止血,冲洗,清点器材、敷料。双侧颈部各放置负压引流管2根,逐层缝合切口,绷带包扎。全麻清醒后,更换10号金属气管套管。
【术后处理】
1.监测生命体征,补液对症处理。
2.注意伤口及引流情况;术后48~72小时,引流量每日少于15ml可拔除引流管。
3.气管切开护理,保持气道通畅。
4.术后第2天鼻饲饮食,术后10天经口进食半流质,无明显呛咳后拔除胃管。
5.术后4周内行放射治疗。
6.放疗后适时堵塞气管套管,无憋气即可拔除套管,缝合封闭气管瘘口。
【术后病理】
(左梨状窝)鳞状细胞癌Ⅱ~Ⅲ级,切面1.8cm×0.6cm,左颈部淋巴结1/26见转移癌,右颈部淋巴结18枚未见癌。切缘未见癌。
【术后随诊】
1.患者术后第4周行适形调强辅助放疗,DT:50Gy/25F,未予化疗。
2.患者术后4个月复查,电子喉镜提示残喉黏膜光滑,左侧梨状窝术后改变,右侧披裂活动好,声门开大可,未见明显新生物(图4、图5)。

图4术后4个月

图5右侧披裂活动好,声门开大可,未见明显新生物
3.患者术后4个月拔除气管套管,行气管瘘口缝合术。
【专家点评】
1.下咽癌因发病位置隐蔽,早期可无特异性症状,仅表现为咽部不适感或咽痛。也可因早期发现颈部转移性淋巴结肿大而就诊。对有上述症状,尤其有长期烟酒病史的患者,应常规行电子喉镜检查。捏鼻鼓气法可充分显露梨状窝及环后区,有利于发现早期病变及判断肿瘤侵犯范围。同时结合NBI检查有利于发现局部黏膜区域性癌变可能。
2.梨状窝内侧壁为下咽癌最常见的发生部位,早期T1~2的梨状窝癌,可行保留喉功能的下咽癌切除术。术前强化CT及MRI可评估肿瘤深部(杓状软骨、声门旁间隙、咽缩肌等)的侵犯范围,根据病变范围行单纯梨状窝切除或合并部分喉切除术。
3.下咽癌发生颈部隐匿性转移的比例较高,对于N1病变建议行Ⅱ~Ⅴ区的改良根治性颈清扫,对侧N0病变建议行Ⅱ~Ⅲ区或Ⅱ~Ⅳ的择区性颈清扫。
4.术后辅助放疗时间以术后4~6周内最佳。
知识来源
人卫知识数字服务体系
- 评价此内容
- 我要打分
近期推荐
热门关键词
最新会议
- 2013循证医学和实效研究方法学研讨会
- 欧洲心脏病学会年会
- 世界帕金森病和相关疾病2013年会议
- 英国介入放射学学会2013年第25届年会
- 美国血液学会2013年年会
- 美国癫痫学会2013年第67届年会
- 肥胖学会 2013年年会
- 2013年第9届欧洲抗体会议
- 国际精神病学协会 2013年会议
- 妇科肿瘤2013年第18届大会
- 国际创伤压力研究学会2013年第29届…
- 2013年第4届亚太地区骨质疏松症会议
- 皮肤病协会国际2013年会议
- 世界糖尿病2013年大会
- 2013年国际成瘾性药年会
- 彭晓霞---诊断试验的Meta分析
- 武姗姗---累积Meta分析和TSA分析
- 孙凤---Network Meta分析
- 杨智荣---Cochrane综述实战经验分享
- 杨祖耀---疾病频率资料的Meta分析
合作伙伴
Copyright g-medon.com All Rights Reserved 环球医学资讯 未经授权请勿转载!
网络实名:环球医学:京ICP备08004413号-2
关于我们|
我们的服务|版权及责任声明|联系我们
互联网药品信息服务资格证书(京)-经营性-2017-0027
互联网医疗保健信息服务复核同意书 京卫计网审[2015]第0344号




会员登录

