一例下咽癌右颈淋巴结转移诊治经验分享
51岁男性,半年前出现咽部不适感,近2个月来加重并声音嘶哑。曾以“咽炎”口服中成药治疗,效果不佳。如何诊治?
[病例简介]
患者男性,51岁。因咽部不适感半年,加重并声音嘶哑2月余住院治疗。患者半年前即有咽部不适感,无明显疼痛,无吞咽阻挡感,未予在意。近2个月来咽部异物感加重,吞咽时有轻度疼痛,同时伴有声音嘶哑,声嘶呈持续性。无咳嗽、痰中带血,无饮水呛咳、吞咽困难、呼吸困难等症状。近2个月曾以“咽炎”在当地口服中成药治疗,效果不佳。本院门诊行电子喉镜检查见右侧梨状窝内侧壁灰白色粗糙新生物,右杓会厌皱襞及右室带肿胀,右声带固定。以“下咽肿瘤”收入院治疗。患者既往高血压病史10余年,口服降压药物,控制可;糖尿病病史3年,饮食控制;吸烟30年,30~40支/日;饮酒30年,经常饮白酒,约150g/日;无家族遗传史。
[影像学及特殊检查]
1.2014年1月10日电子喉镜检查
鼻咽部黏膜光滑,未见明显异常。口咽双侧扁桃体无肿大。舌根部淋巴滤泡略增生。右侧梨状窝内侧壁灰白粗糙新生物,形态不规则,累及右侧梨状窝外侧壁、会厌右侧缘和右侧杓会厌皱襞,右侧披裂黏膜及右侧室带肿胀,右侧声带固定,左侧声带活动正常,杓间区及环后区黏膜光滑(图1~图3)。

图1右侧梨状窝内侧壁灰白粗糙新生物

图2肿物累及右侧梨状窝外侧壁、会厌右侧缘和右侧杓会厌皱襞

图3右侧披裂黏膜及右侧室带肿胀,右侧声带固定
内镜诊断:下咽癌(梨状窝区T3)。
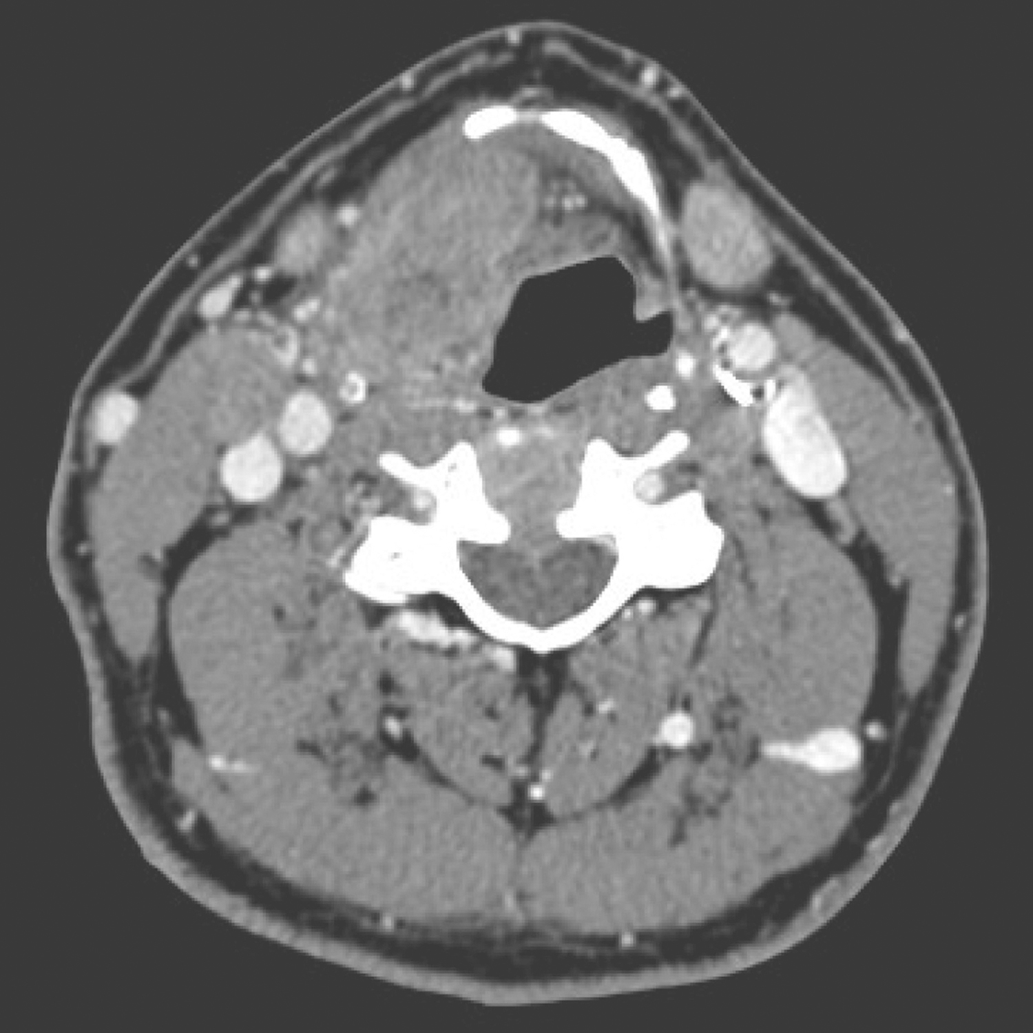
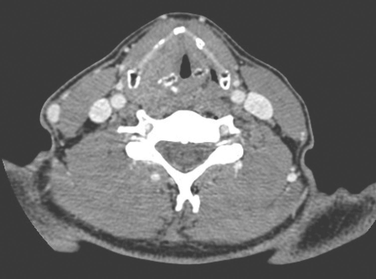
2.2014年1月10日颈胸部强化CT
右侧梨状窝内侧壁、右侧杓会厌皱襞局部软组织增厚,约4cm×3cm,形态不规则,累及右侧声门旁间隙和会厌前间隙,可见强化。右侧Ⅱ区胸锁乳突肌内侧可见数枚肿大淋巴结,约2cm×1.5cm大小,可见环形强化,边界不清(图4~图6),纵隔、双肺门未见肿大淋巴结。CT诊断:下咽恶性肿瘤并颈部淋巴结转移表现。

图4右侧Ⅱ区胸锁乳突肌内侧可见数枚肿大淋巴结

图5右侧梨状窝内侧壁、右侧杓会厌皱襞局部软组织增厚

图6累及右侧声门旁间隙
3.2014年1月11日支撑喉镜下右梨状窝肿瘤活检病理
(右梨状窝)鳞状细胞癌。
[入院诊断]
下咽癌右颈淋巴结转移(梨状窝区cT3N2bM0)。
[病程记录]
2014年1月16日主任医师查房记录:患者一般情况可,考虑患者为中年男性,心肺功能等术前检查无手术禁忌。术前胃镜未见食管及胃部异常病变,结合术前影像检查,下咽肿瘤累及右侧半喉,但环后区及食管未受累及,左侧披裂活动好。可行保留喉功能的手术治疗。可行双侧颈清扫+下咽癌切除部分喉切除术(CHP)。术前充分向患者及家属交代病情及手术风险,并签署知情同意书。
[治疗经过]
2017年1月17日全麻下行气管切开、右侧改良根治性颈清扫、左侧侧颈清扫、下咽癌切除部分喉切除术(CHP):患者取仰卧位,经口气管插管,静脉给药全麻。肩下垫枕,置头圈,头后仰,置胃管,导尿。术区皮肤消毒,铺无菌巾,取颈部大U形切口,依次切开皮肤、皮下组织及颈阔肌,于颈深筋膜浅层分离皮瓣,护皮固定。
1.右侧改良根治性清扫
解剖颈外静脉,沿胸锁乳突肌内侧面分离,于其中上1/3处解剖副神经,分离胸锁乳突肌支及斜方肌支。沿带状肌外侧缘及颌下腺包膜表面切开颈深筋膜浅层,牵拉颌下腺向上,沿二腹肌表面切开,锐性剥离颈鞘。向后分离至椎前筋膜,保留部分颈丛分支。由上向下,由前向后清扫左侧Ⅱ~Ⅴ区淋巴结及脂肪结缔组织,后至斜方肌前缘,下至锁骨,深面至椎前筋膜浅层,保留左侧副神经、颈内静脉、胸锁乳突肌及部分颈丛。术中见右侧Ⅱ区颈动脉分叉水平2~3枚肿大、质硬淋巴结,大者约2cm,与颈鞘略粘连,可分离。同法左侧行Ⅱ~Ⅳ区侧颈淋巴结清扫术。探查并清扫双侧咽后淋巴结。清扫双侧气管食管沟及上纵隔淋巴结,未见明显阳性征象。
2.肿瘤切除
沿正中白线切开,分离双侧舌骨下肌群,行低位气管切开,更换气管套管。切断舌骨上、下肌群的附着,切除舌骨。将甲状舌骨肌向外分离,显露甲状软骨板上部,切断部分下咽缩肌,分离梨状窝前壁,结扎右侧甲状腺上动静脉及喉上动静脉。环甲膜入路,楔形切除甲状软骨板前2/3。直视下切开左侧喉前壁,保留左侧声带及杓状软骨,向上沿左侧杓会厌皱襞及会厌谷切开,将喉体掀向右侧。直视下于右侧声门下切开,向后切除右侧杓状软骨,距肿瘤边缘约2cm处切开环后黏膜,下至梨状窝尖,向上一并沿咽侧壁切开,至扁桃体下极。将右侧梨状窝、咽侧壁,部分咽后壁,右侧半喉及会厌、会厌前间隙一并切除。仅保留左侧披裂及环状软骨。将环后黏膜向前与右侧声门下切缘对位缝合。导入胃管,头前倾位,以1号可吸收线将残喉上吊于舌根,对位缝合咽侧壁黏膜,外层加固。
严密止血,清点器材、敷料,冲洗术野。双侧颈部放置负压引流管2根,逐层缝合切口,加压包扎。全麻清醒后,更换10号金属气管套管。
[术后处理]
1.监测生命体征6小时。
2.保持低头前倾位。
3.术后预防感染、抗反流及补液对症处理。
4.气管切开护理,雾化吸入。
5.术后48~72小时根据引流量拔除负压引流管。
6.术后第2天鼻饲流质饮食,术后10天练习经口进半流质饮食。无明显呛咳后拔除胃管。
7.术后4周内行辅助放射治疗。
[术后病理]
(右梨状窝)鳞状细胞癌Ⅱ级,切面3.6cm×1.3cm,右颈部淋巴结3/21见转移癌,左颈部淋巴结19枚及右咽后淋巴结4枚未见癌。切缘未见癌。
[术后随诊]
1.患者2周后复查,经口进食明显改善,可进流质饮食。给予拔除胃管。
2.患者术后3周转放疗科行辅助放疗,DT:56Gy/28F,放疗过程中行同步化疗2周期,方案:顺铂(DDP)20mg,第1~5天;氟尿嘧啶(5-FU)1.0g,第1~5天。同时给予保肝、止吐、抑酸处理,无明显化疗不良反应。
3.2014年9月(术后8个月)复查,电子喉镜提示残喉黏膜光滑,左侧披裂活动好,声门开大可,未见明显新生物(图7、图8)。颈胸部强化CT检查无异常。给予拔除气管套管,缝合气管瘘口。
4.目前患者已随访4年,健在。

图7喉术后8个月

图8左侧披裂活动好,声门开大可,未见明显新生物
[专家点评]
1.对于原发于下咽部梨状窝区的T1~2病变最适合行保留喉功能的下咽癌切除术。对于局部晚期的T3病变,术前应结合颈部强化CT及MRI对肿瘤侵犯的深部范围进行充分评估,同时考虑患者年龄及心肺功能,制定个体化手术方案,部分患者仍可选择行保留喉功能的下咽癌切除术。
2.下咽癌具有易深部浸润侵犯的生物学特点,局部晚期梨状窝T3病变常累及患侧杓会厌皱襞、声门旁间隙或环杓关节,造成声带固定。由于杓会厌皱襞、会厌侧缘受侵犯,术中往往需将会厌及会厌前间隙作为同一解剖区域结构一并切除。环状软骨上次全喉切除-环舌吻合术(CHP)为此类病变较好的术式选择,可在彻底切除肿瘤,获得良好深部切缘的基础上,最大限度地保留喉的功能。理论上讲,只要保留环状软骨及一侧环杓关节结构及功能的完整性,即可行该术式。
3.对于梨状窝癌累及环后区,向下累及梨状窝尖部或深部侵犯咽缩肌范围较广者,多需行全喉切除术。对于年龄>70岁,肺功能较差者选择CHP术式应慎重。
4.对于颈部淋巴结转移存在明显包膜外侵犯、肿瘤侵犯周围神经、脉管内存在癌栓及切缘阳性等高危患者,根据患者身体状况,可考虑在术后辅助放疗的同时,给予同步化疗。
知识来源
人卫知识数字服务体系
- 评价此内容
- 我要打分
近期推荐
热门关键词
最新会议
- 2013循证医学和实效研究方法学研讨会
- 欧洲心脏病学会年会
- 世界帕金森病和相关疾病2013年会议
- 英国介入放射学学会2013年第25届年会
- 美国血液学会2013年年会
- 美国癫痫学会2013年第67届年会
- 肥胖学会 2013年年会
- 2013年第9届欧洲抗体会议
- 国际精神病学协会 2013年会议
- 妇科肿瘤2013年第18届大会
- 国际创伤压力研究学会2013年第29届…
- 2013年第4届亚太地区骨质疏松症会议
- 皮肤病协会国际2013年会议
- 世界糖尿病2013年大会
- 2013年国际成瘾性药年会
- 彭晓霞---诊断试验的Meta分析
- 武姗姗---累积Meta分析和TSA分析
- 孙凤---Network Meta分析
- 杨智荣---Cochrane综述实战经验分享
- 杨祖耀---疾病频率资料的Meta分析
合作伙伴
Copyright g-medon.com All Rights Reserved 环球医学资讯 未经授权请勿转载!
网络实名:环球医学:京ICP备08004413号-2
关于我们|
我们的服务|版权及责任声明|联系我们
互联网药品信息服务资格证书(京)-经营性-2017-0027
互联网医疗保健信息服务复核同意书 京卫计网审[2015]第0344号




会员登录

